Khi muốn cải thiện thẩm mỹ nụ cười, nhiều người băn khoăn: bọc răng sứ không mài có được không? Trên thực tế, bọc răng sứ truyền thống thường yêu cầu mài men răng để tạo độ bám cho mão sứ, nhưng công nghệ hiện đại ngày nay đã cho phép phục hình ít xâm lấn hơn. Việc hiểu đúng về mài răng và các giải pháp bọc răng sứ không mài sẽ giúp bạn đưa ra quyết định phù hợp với nhu cầu thẩm mỹ, bảo vệ răng thật và duy trì nụ cười tự nhiên lâu dài. Hãy cùng Blossom – Nha khoa công nghệ cao Hàn Quốc tìm hiểu trong bài viết dưới đây!
1. Bọc răng sứ không mài có được không? Hiểu đúng khái niệm trước khi quyết định làm răng
Câu trả lời là không! Vì bọc răng sứ truyền thống luôn cần mài răng thật để tạo trụ cho mão sứ ôm sát, đảm bảo vừa khít, thẩm mỹ và chức năng ăn nhai. Việc mài răng giúp mão sứ có đủ không gian, tránh cộm, kênh, đồng thời điều chỉnh hình dáng, kích thước răng nếu răng bị hô, móm hoặc lệch lạc.
Mức độ mài răng tùy thuộc vào từng trường hợp:
- Răng vỡ hoặc mòn nhẹ: Mài ít để giữ tối đa mô răng thật.
- Răng khuyết điểm lớn, nhiễm màu nặng hoặc lệch lạc: Mài nhiều hơn để mão sứ có thể bao phủ toàn diện, tạo nụ cười hài hòa.
- Loại mão sứ, chất liệu răng và thiết kế nụ cười cũng ảnh hưởng đến tỷ lệ mài.
Hiểu đúng khái niệm bọc răng sứ là quan trọng trước khi quyết định làm răng, vì mô răng bị mài là vĩnh viễn không khôi phục lại được. Nếu răng khỏe, không có khuyết điểm nghiêm trọng, bác sĩ thường tư vấn các giải pháp ít xâm lấn hơn, như dán sứ siêu mỏng, để bảo tồn răng thật tối đa.

Bọc răng sứ truyền thống luôn cần mài răng thật
2. Vì sao bọc răng sứ truyền thống thường cần mài răng? Góc nhìn chuyên môn từ bác sĩ
Bọc răng sứ cần mài răng để tạo đủ không gian cho mão sứ ôm sát trụ răng thật, đảm bảo thẩm mỹ và chức năng ăn nhai. Mài răng đúng tỷ lệ giúp mão sứ bám chắc, tránh cộm vướng, đồng thời tạo hình và khớp cắn chuẩn, đặc biệt với những răng khuyết điểm như hô, móm hay lệch lạc.
Tuy nhiên, nếu mài răng quá nhiều hoặc sai kỹ thuật, răng thật có thể bị viêm nhiễm, thậm chí phải điều trị tủy hoặc mất răng về lâu dài. Vì mô răng đã mài không thể phục hồi, nên bọc răng sứ đòi hỏi bác sĩ có chuyên môn cao, tính toán chính xác tỷ lệ mài để đảm bảo an toàn và bền vững cho răng thật.

Bọc răng sứ cần mài răng để tạo đủ không gian cho mão sứ ôm sát trụ răng thật
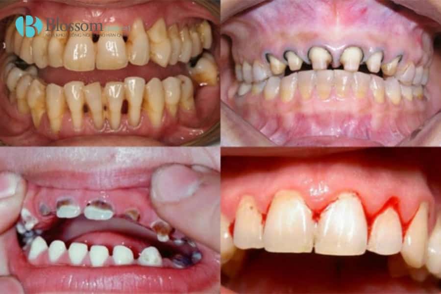
3. Mài răng khi bọc sứ có ảnh hưởng gì đến răng thật về lâu dài? Những trường hợp nên cân nhắc kỹ trước khi mài răng bọc sứ
Theo các bác sĩ nha khoa, mài răng còn giúp tạo “trụ vững chắc” cho mão sứ và bề mặt nhám lý tưởng để gắn kết, ngăn ngừa sâu răng và vi khuẩn tích tụ. Kỹ thuật này đòi hỏi tính toán tỷ lệ chính xác, không làm lộ ngà hay tủy, vì mô răng đã mài là vĩnh viễn và không phục hồi.
Nếu mài răng sai kỹ thuật, có thể gây ê buốt kéo dài, viêm hoặc chết tủy, ảnh hưởng sức khỏe răng miệng lâu dài. Vì vậy, bạn nên cân nhắc kỹ trước khi chỉ định bọc sứ truyền thống, hãy ưu tiên các phương pháp ít xâm lấn như dán sứ nếu răng thật khỏe mạnh và không cần chỉnh hình nhiều.

Mài răng khi bọc sứ gây ê buốt kéo dài, viêm hoặc chết tủy, ảnh hưởng sức khỏe răng miệng
4. Có giải pháp thẩm mỹ răng nào hạn chế mài răng hay không? Dán sứ không mài Lamifilm – Giải pháp bảo tồn răng thật trong thẩm mỹ răng hiện đại
Có, hiện nay có giải pháp thẩm mỹ răng hạn chế mài răng như dán sứ không mài Lamifilm. Đây là phương pháp sử dụng miếng sứ cực mỏng 0.1mm dán trực tiếp lên bề mặt răng, giúp cải thiện màu sắc, hình dáng mà bảo tồn tối đa răng thật. Phương pháp này phù hợp với những răng có khuyết điểm thẩm mỹ như xỉn màu, thưa nhẹ hoặc sứt mẻ, mà vẫn giữ nguyên cấu trúc răng gốc.

Dán sứ không mài Lamifilm sử dụng miếng sứ cực mỏng 0.1mm
Ưu điểm của dán sứ Lamifilm bởi không mài men răng, không gây đau đớn hay ê buốt, thời gian thực hiện nhanh và thẩm mỹ cao. Đây là giải pháp an toàn, ít xâm lấn, đặc biệt phù hợp với người muốn làm đẹp răng nhưng vẫn giữ răng thật nguyên vẹn.
Dán sứ không mài Lamifilm được coi là giải pháp thẩm mỹ răng hiện đại, cho phép cải thiện nụ cười nhanh chóng, tự nhiên, đồng thời bảo vệ răng thật lâu dài so với các phương pháp bọc sứ truyền thống cần mài nhiều răng.

Dán sứ không mài Lamifilm không gây đau hay ê buốt
5. Ai phù hợp với dán sứ không mài Lamifilm và khi nào nên lựa chọn phương pháp này?
Phương pháp này phù hợp với những người có khuyết điểm thẩm mỹ nhẹ, muốn bảo tồn tối đa răng thật:
- Răng bị xỉn màu, ố vàng mà không muốn tẩy trắng.
- Răng thưa, hở kẽ nhỏ, muốn răng đều đặn hơn.
- Răng sứt mẻ nhẹ, muốn che khuyết điểm nhỏ.
- Muốn cải thiện nụ cười tự nhiên mà giữ nguyên răng gốc.
- Không muốn mài răng hoặc lo lắng về ê buốt.
Nên lựa chọn dán sứ Lamifilm khi:
- Khuyết điểm răng chỉ cần cải thiện thẩm mỹ bề mặt.
- Ưu tiên bảo tồn men răng và cấu trúc răng thật.
- Muốn có kết quả nhanh chóng, quy trình đơn giản, không đau.

Dán sứ không mài Lamifilm phù hợp với người muốn bảo tồn tối đa răng thật
Bạn đã có câu trả lời cho câu hỏi bọc răng sứ không mài có được không chưa? Khi bạn lựa chọn bọc răng sứ thì bạn phải chấp nhận việc răng sẽ bị mài mòn không ít. Vì vậy, nếu bạn cần tư vấn hoặc muốn tìm hiểu thêm về dịch vụ dán sứ không mài Lamifilm tại Nha khoa Blossom, hãy liên hệ ngay qua số HOTLINE 028.2210.3280 để được hỗ trợ tận tình và nhanh chóng!
Bài viết liên quan
Mất răng là vấn đề phổ biến ảnh hưởng đến thẩm mỹ và chức năng ăn nhai của nhiều người. Trồng răng giả tháo lắp là giải pháp giúp phục hồi nụ cười và cải thiện chất lượng cuộc sống được nhiều người lựa chọn bởi ưu điểm tiết kiệm chi phí. Vậy thực tếtrồng […]
Ngày: 07/03/2025 Hô hàm dưới là tình trạng sai lệch khớp cắn khi phần hàm dưới phát triển quá mức, chìa ra trước so với hàm trên, khiến khuôn mặt mất cân đối và ảnh hưởng đến chức năng nhai cũng như thẩm mỹ. Nhiều người nhầm lẫn hô hàm dưới với hô răng thông thường nên […]
Ngày: 05/11/2025 Abutment implant là gì? Ưu điểm của Abutment Implant là gì? Abutment Implant là một phần quan trọng không thể thiếu trong quá trình trồng răng Implant, mang lại nhiều ưu điểm và đạt hiệu quả cao. Hãy cùng Nha Khoa Blossom tìm hiểu thông tin chi tiết về Abutment implant qua nội dung sau […]
Ngày: 07/03/2025 Cách trị răng thưa tại nhà được xem là phương pháp điều trị nha khoa tiết kiệm chi phí. Vì vậy, có rất nhiều người bệnh thường lựa chọn áp dụng nhằm cải thiện tình trạng răng thưa. Tuy nhiên, liệu đây có phải là biện pháp hữu hiệu và có thể áp dụng cho […]
Ngày: 07/03/2025