“Dán sứ không mài là gì?” là câu hỏi được rất nhiều khách hàng quan tâm khi tìm kiếm một giải pháp cải thiện thẩm mỹ răng mà không muốn xâm lấn hay tổn hại men răng thật. Trong bối cảnh xu hướng nha khoa hiện đại ưu tiên bảo tồn mô răng tự nhiên, phương pháp dán sứ không mài nổi lên như một lựa chọn an toàn, ít tác động và vẫn đảm bảo hiệu quả thẩm mỹ cao. Vậy thực chất dán sứ không mài là gì, cơ chế hoạt động ra sao và phù hợp với những trường hợp nào? Hãy cùng Blossom – Nha khoa công nghệ cao Hàn Quốc tìm hiểu chi tiết ngay sau đây.
1. Dán sứ không mài là gì?
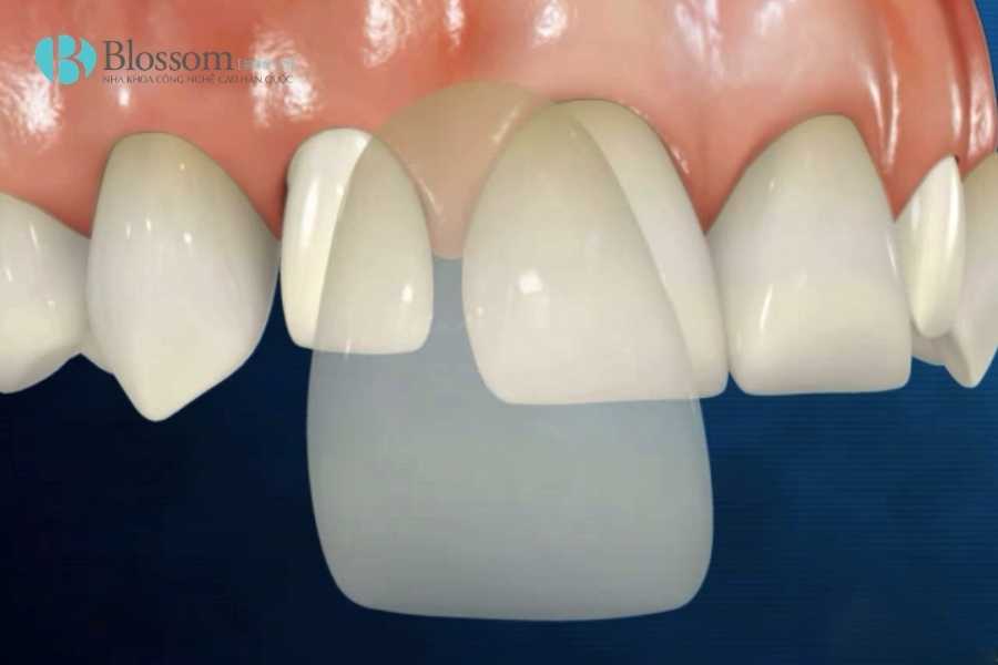
Dán sứ không mài là kỹ thuật phục hình thẩm mỹ sử dụng mặt sứ siêu mỏng khoảng 0,1 mm, dán trực tiếp lên bề mặt ngoài của răng thật mà hầu như không cần mài nhỏ thân răng. Trong phần lớn trường hợp, bác sĩ chỉ cần xử lý làm nhám nhẹ lớp men để tăng độ bám dính, không xâm lấn vào ngà răng hay tủy răng.
Với dòng Lamifilm, độ dày có thể chỉ khoảng 0,1 mm nhưng vẫn đảm bảo độ cứng và khả năng chịu lực tốt. Nhờ đặc tính siêu mỏng này, phương pháp giúp bảo tồn tối đa cấu trúc răng gốc, hạn chế ê buốt và không gây đau trong quá trình thực hiện.
Bản chất của dán sứ không mài là giải pháp thẩm mỹ bảo tồn: cải thiện màu sắc, hình dáng và các khe hở nhỏ của răng mà vẫn giữ nguyên nền tảng răng thật khỏe mạnh.

Dán sứ không mài là kỹ thuật phục hình thẩm mỹ sử dụng mặt sứ siêu mỏng khoảng 0,1 mm
2. Dán sứ không mài có thật sự tốt không? Ưu & nhược điểm cần biết
Dán sứ không mài được đánh giá là phương pháp an toàn và hiệu quả khi áp dụng đúng chỉ định. Tuy nhiên, không phải trường hợp nào cũng phù hợp.
2.1. Ưu điểm
- Bảo tồn răng thật tối đa: Gần như không mài răng, giữ nguyên men và tủy răng.
- Không đau, không ê buốt: Do không can thiệp sâu vào cấu trúc răng.
- Thẩm mỹ tự nhiên: Mặt sứ có độ trong, độ phản quang tốt, màu sắc hài hòa với răng thật.
- Độ bền cao: Dù mỏng nhưng có khả năng chịu lực tốt, bền màu nếu chăm sóc đúng cách.
- Thời gian thực hiện nhanh: Thường hoàn tất sau khoảng 2 lần hẹn.
2.2. Nhược điểm
- Kén trường hợp: Phù hợp với răng thưa nhẹ (khe < 3 mm), răng ố màu nhẹ, sứt mẻ nhỏ, răng có hình thể chưa hài hòa.
- Không xử lý được sai lệch nặng: Không phù hợp với răng khấp khểnh nhiều, sai khớp cắn hoặc khe thưa lớn.
- Yêu cầu tay nghề cao: Miếng sứ siêu mỏng đòi hỏi kỹ thuật gắn chính xác để tránh hở viền, viêm nướu hoặc bong tróc.
- Chi phí cao: Thường cao hơn so với các phương pháp dán sứ thông thường.

Dán sứ không mài được đánh giá là phương pháp an toàn và hiệu quả
3. Những trường hợp nên và không nên dán sứ không mài
Dán sứ không mài là giải pháp thẩm mỹ mang tính bảo tồn cao, tuy nhiên chỉ thực sự hiệu quả khi áp dụng đúng chỉ định lâm sàng.
3.1. Những trường hợp nên dán sứ không mài
- Răng thưa nhẹ, khe hở nhỏ (thường dưới 3 mm).
- Răng ố vàng, nhiễm màu nhẹ và không đáp ứng tốt với tẩy trắng.
- Răng sứt mẻ, nứt nhẹ, mòn men ở mức độ nhỏ.
- Men răng yếu nhưng cấu trúc thân răng còn vững chắc.
- Răng có hình dáng nhỏ, không đều, cần cải thiện tính thẩm mỹ tổng thể.
Trong các trường hợp này, mặt sứ siêu mỏng giúp cải thiện màu sắc và hình thể răng mà vẫn giữ gần như nguyên vẹn cấu trúc răng thật.
3.2. Những trường hợp không nên dán sứ không mài
- Răng hô, móm nặng do sai lệch xương hàm.
- Răng khấp khểnh, lệch lạc nhiều.
- Khớp cắn sai lệch nghiêm trọng.
- Răng sâu lớn, mô răng mất nhiều hoặc đã điều trị tủy.
- Răng chịu lực quá mạnh (nghiến răng nặng).
Ở các tình huống này, dán sứ không mài không thể khắc phục triệt để về chức năng và có nguy cơ giảm độ bền lâu dài. Bác sĩ cần đánh giá khớp cắn, cấu trúc răng và nền tảng nha chu trước khi chỉ định.

Dán sứ không mài là giải pháp thẩm mỹ mang tính bảo tồn cao
4. Dán sứ không mài giá bao nhiêu? Có đắt hơn bọc răng sứ không?
Chi phí dán sứ không mài Lamifilm thường dao động khoảng 6.000.000 – 12.000.000 VNĐ/răng, tùy vào loại vật liệu sứ, tay nghề bác sĩ, hệ thống trang thiết bị và chính sách bảo hành của từng nha khoa.
So với bọc răng sứ truyền thống (như sứ kim loại hoặc Zirconia cơ bản), phương pháp này thường có giá cao hơn do yêu cầu công nghệ chế tác mặt sứ siêu mỏng với độ chính xác cao, kỹ thuật gắn đòi hỏi thao tác tinh vi và quy trình cá nhân hóa màu sắc, hình thể răng. Mức chi phí cao phản ánh lợi thế lớn về khả năng bảo tồn răng thật và tính thẩm mỹ tự nhiên lâu dài.

Mức chi phí cao phản ánh lợi thế lớn về khả năng bảo tồn răng thật
5. Vì sao dán sứ không mài Lamifilm được đánh giá cao hiện nay?
Dán sứ không mài Lamifilm được đánh giá cao nhờ khả năng cân bằng giữa yếu tố bảo tồn răng thật và thẩm mỹ hiện đại. Những ưu điểm nổi bật của phương pháp này gồm:
- Bảo tồn tối đa cấu trúc răng: Hầu như không mài hoặc chỉ tác động rất ít lên men răng, không xâm lấn tủy, hạn chế ê buốt và nguy cơ biến chứng lâu dài.
- Thẩm mỹ tự nhiên: Mặt sứ siêu mỏng có độ trong và độ phản quang tương đồng răng thật, không gây đen viền nướu, giúp nụ cười hài hòa.
- Độ bền cao: Khả năng chịu lực tốt, tuổi thọ có thể đạt 10 – 20 năm nếu thực hiện đúng kỹ thuật và chăm sóc phù hợp.
- Thời gian thực hiện nhanh: Thông thường hoàn tất sau khoảng 2 lần hẹn.
Tuy nhiên, kết quả phụ thuộc nhiều vào tay nghề bác sĩ và chất lượng vật liệu, do đó việc lựa chọn nha khoa uy tín và thăm khám kỹ lưỡng là yếu tố quyết định hiệu quả lâu dài.

Dán sứ không mài Lamifilm được đánh giá cao nhờ bảo tồn răng thật và thẩm mỹ hiện đại
Dán sứ Lamifilm là giải pháp thẩm mỹ hiện đại theo tiêu chuẩn Hàn Quốc, nổi bật với kỹ thuật không mài răng gốc, giúp bảo tồn tối đa cấu trúc răng thật và hạn chế ê buốt. Mặt sứ siêu mỏng có màu sắc tự nhiên, độ trong mờ hài hòa như men răng thật, mang lại nụ cười thanh thoát và tinh tế. Quy trình ứng dụng công nghệ Smile Preview, cho phép khách hàng xem trước nụ cười trực tiếp trên răng thật trước khi thực hiện, đảm bảo tính cá nhân hóa cao. Đặc biệt, sứ được chế tác thủ công bởi nghệ nhân người Hàn và thực hiện bởi bác sĩ chuyên môn cao, giúp kiểm soát chính xác từng chi tiết về hình dáng, màu sắc theo mong muốn riêng của từng khách hàng.

Hình ảnh khách hàng dán sứ không mài Lamifilm
Qua những phân tích trên, có thể thấy rõ dán sứ không mài là gì và vì sao phương pháp này được đánh giá cao trong nha khoa thẩm mỹ hiện đại. Nếu bạn cần tư vấn hoặc muốn tìm hiểu thêm các dịch vụ tại Nha khoa Blossom, hãy liên hệ ngay qua số HOTLINE 028.2210.3280 để được hỗ trợ tận tình và nhanh chóng!
Bài viết liên quan
Răng lệch hàm là một trong những vấn đề về răng miệng phổ biến nhất hiện nay. Tình trạng này không chỉ gây ra những khó khăn khi ăn uống mà còn ảnh hưởng khá lớn đến tính thẩm mỹ của gương mặt. Nắm rõ nguyên nhân, dấu hiệu và cách khắc phục của bệnh […]
Ngày: 07/03/2025 Niềng răng 1 hàm có được không? Đây là câu hỏi được rất nhiều khách hàng quan tâm khi gặp các vấn đề răng lệch lạc nhẹ, mong muốn tiết kiệm chi phí nhưng vẫn đảm bảo hiệu quả thẩm mỹ. Trên thực tế, không phải ai cũng phù hợp để chỉnh nha 1 hàm. […]
Ngày: 08/08/2025 Bọc răng sứ là phương pháp thẩm mỹ nha khoa phổ biến, giúp cải thiện nụ cười hiệu quả. Tuy nhiên, nhiều người lo ngại về việc phải mài đi một phần răng thật. Bài viết này sẽ giải đáp thắc mắc xung quanh về việc mài răng bọc sứ. Liệu kỹ thuật này có […]
Ngày: 07/03/2025 Đau hàm bên phải là hiện tượng không hiếm gặp trong nha khoa. Đây là tình trạng phần hàm bên phải bị đau nhức, khiến khuôn miệng bị cứng lại, khó mở ra. Đây có thể là dấu hiệu cho thấy bạn đang mắc phải nhiều bệnh lý nguy hiểm liên quan tới răng miệng […]
Ngày: 07/03/2025