Dán sứ không mài ở đâu tốt nhất là băn khoăn chung của rất nhiều khách hàng khi mong muốn cải thiện nụ cười thẩm mỹ nhưng vẫn bảo tồn răng thật tối đa. Giữa hàng loạt nha khoa tại TP.HCM, không ít người lo lắng liệu chất lượng dán sứ có đảm bảo, có bền lâu và an toàn cho răng hay không. Vậy đâu là những tiêu chí quan trọng để lựa chọn đúng địa chỉ uy tín? Trong bài viết này, bác sĩ tại Blossom – Nha khoa công nghệ cao Hàn Quốc sẽ giúp bạn giải đáp chi tiết và gợi ý những nha khoa dán sứ không mài đáng tin cậy, giúp bạn an tâm đưa ra quyết định phù hợp cho nụ cười của mình.
1. Dán sứ không mài có tốt không?
Dán sứ không mài là giải pháp thẩm mỹ hiện đại được đánh giá cao nhờ khả năng cải thiện vẻ đẹp răng một cách an toàn và nhẹ nhàng. Phương pháp này sử dụng mặt dán sứ siêu mỏng gắn trực tiếp lên bề mặt răng, hầu như không can thiệp hoặc chỉ tác động rất ít đến men răng, giúp giữ nguyên cấu trúc răng thật và hạn chế tối đa cảm giác đau hay ê buốt. Sau khi hoàn thiện, răng có màu sắc tự nhiên, hình dáng hài hòa và cảm giác ăn nhai gần như răng thật.

Dán sứ không mài đánh giá cao nhờ khả năng cải thiện răng an toàn và nhẹ nhàng
2. Tiêu chí lựa chọn nha khoa dán sứ không mài tốt nhất
Khi tìm hiểu dán sứ không mài ở đâu tốt nhất, bạn nên dựa vào những tiêu chí quan trọng sau để đảm bảo kết quả thẩm mỹ, độ bền và an toàn lâu dài:
- Đội ngũ bác sĩ chuyên môn cao: Bác sĩ giàu kinh nghiệm, được đào tạo bài bản và am hiểu sâu về kỹ thuật dán sứ không mài sẽ giúp đánh giá chính xác tình trạng răng, tư vấn đúng chỉ định và thực hiện quy trình chính xác, hạn chế rủi ro.
- Công nghệ & trang thiết bị hiện đại: Nên ưu tiên chọn nha khoa có trang bị các công nghệ hiện đại trong thăm khám, thiết kế và chế tác răng sứ. Việc ứng dụng công nghệ tiên tiến giúp cá nhân hóa hình dáng, màu sắc mặt dán sứ theo từng khuôn răng, nâng cao độ chính xác khi gắn, đảm bảo tính thẩm mỹ hài hòa và độ ổn định lâu dài sau điều trị.
- Chất liệu sứ cao cấp: Lựa chọn nha khoa sử dụng vật liệu sứ chất lượng cao, có nguồn gốc rõ ràng, màu sắc tự nhiên, độ bền tốt, giúp duy trì hiệu quả thẩm mỹ dài lâu và an toàn cho răng thật.
- Quy trình điều trị chuẩn y khoa: Nên chọn cơ sở có quy trình khép kín, tư vấn rõ ràng từ thăm khám, thiết kế, thử sứ đến gắn cố định, đảm bảo từng bước đều được thực hiện cẩn thận và minh bạch.
- Đánh giá & phản hồi khách hàng: Tham khảo review, đánh giá thực tế từ khách hàng trước đó giúp bạn có cái nhìn khách quan về chất lượng dịch vụ, thái độ phục vụ và kết quả sau khi dán sứ.
- Chế độ chăm sóc & bảo hành: Nha khoa tốt luôn có chương trình hậu mãi, tư vấn chăm sóc sau dán sứ và bảo hành rõ ràng để bạn yên tâm sử dụng lâu dài.
Áp dụng các tiêu chí này sẽ giúp bạn tìm đúng địa chỉ dán sứ không mài ở đâu tốt nhất, đạt được kết quả như mong muốn và bảo vệ sức khỏe răng miệng một cách toàn diện.

Nha khoa Blossom ứng dụng công nghệ tiên tiến cho kết quả tự nhiên, chính xác và ổn định
3. Dán sứ không mài ở đâu tốt nhất? Top 5 nha khoa uy tín TPHCM
3.1. Nha khoa công nghệ cao Blossom
Blossom là lựa chọn nổi bật trong lĩnh vực dán sứ không mài với hơn 13 năm kinh nghiệm thẩm mỹ nha khoa và là thương hiệu uy tín hàng đầu tại Seoul, Hàn Quốc. Nha khoa sở hữu công nghệ dán sứ không mài độc quyền Lamifilm, không mài răng gốc, thẩm mỹ tự nhiên theo tiêu chuẩn Hàn Quốc.

Blossom sở hữu công nghệ dán sứ không mài Lamifilm độc quyền, không mài răng gốc
Đặc biệt, công nghệ Smile Preview cho phép khách hàng xem trước nụ cười sau khi dán sứ trực tiếp trên răng thật. Mặt sứ được chế tác thủ công bởi nghệ nhân Hàn Quốc, kết hợp cùng đội ngũ bác sĩ chuyên môn cao tại Hàn Quốc và Việt Nam, giúp cá nhân hóa hình dáng, màu sắc răng theo mong muốn và đảm bảo kết quả bền đẹp lâu dài.

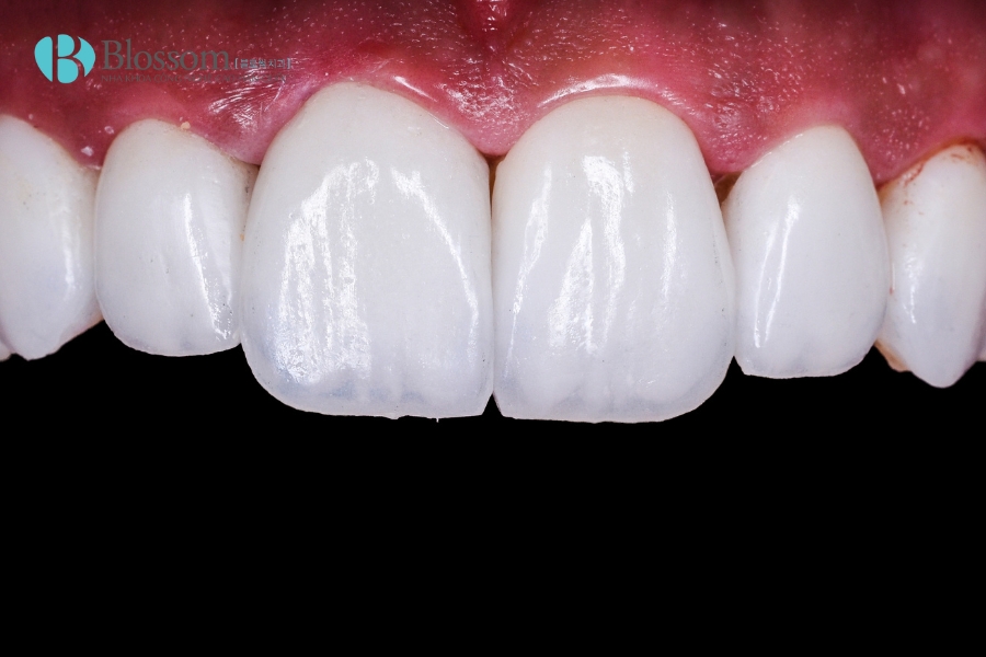
Hình ảnh khách hàng dán sứ không mài Lamifilm tại nha khoa Blossom
3.2. Bệnh viện Răng Hàm Mặt Trung ương TP HCM
Là bệnh viện chuyên khoa đầu ngành, nơi quy tụ nhiều bác sĩ giàu kinh nghiệm và trang thiết bị hiện đại. Đây là địa chỉ uy tín cho các ca điều trị răng miệng chuyên sâu, trong đó có các dịch vụ phục hình răng thẩm mỹ.
3.3. Bệnh viện Đại học Y Dược TP HCM
Bệnh viện có đội ngũ bác sĩ là giảng viên, chuyên gia đầu ngành, quy trình điều trị bài bản và khoa học. Phù hợp với khách hàng ưu tiên yếu tố chuyên môn và điều trị theo phác đồ chuẩn y khoa.
3.4. Bệnh viện Răng Hàm Mặt Sài Gòn
Là địa chỉ quen thuộc với nhiều khách hàng tại TP.HCM, cung cấp đa dạng dịch vụ nha khoa từ cơ bản đến thẩm mỹ, đáp ứng nhu cầu điều trị và phục hình răng trong môi trường y tế chuyên nghiệp.

Bệnh viện Răng Hàm Mặt Sài Gòn là địa chỉ quen thuộc với nhiều khách hàng tại TP.HCM
4. Dán sứ không mài giá bao nhiêu tại TPHCM?
Chi phí dán sứ không mài tại TP.HCM hiện nay dao động tùy theo chất liệu sứ, công nghệ áp dụng và tay nghề bác sĩ. Mặt bằng chung, giá thường rơi vào khoảng từ 5–12 triệu đồng/răng, với các dòng sứ cao cấp, siêu mỏng, cá nhân hóa và ứng dụng công nghệ hiện đại thì mức giá có thể cao hơn.
Đây là phương pháp đòi hỏi kỹ thuật chính xác cao nên chi phí không chỉ phản ánh vật liệu sứ mà còn bao gồm quy trình thiết kế nụ cười, độ bền lâu dài và tính an toàn cho răng thật. Vì vậy, để biết mức giá chính xác, bạn nên thăm khám trực tiếp để bác sĩ đánh giá tình trạng răng và tư vấn phương án phù hợp nhất.

Hình ảnh khách hàng dán sứ không mài Lamifilm tại nha khoa Blossom
5. Câu hỏi thường gặp khi lựa chọn địa chỉ dán sứ không mài
5.1. Dán sứ không mài có bền không?
Dán sứ không mài có độ bền cao nếu được thực hiện đúng kỹ thuật, sử dụng vật liệu sứ chất lượng và chăm sóc răng miệng đúng cách. Trung bình, mặt dán sứ không mài có thể duy trì 15–20 năm, thậm chí lâu hơn khi được tái khám định kỳ và vệ sinh răng miệng khoa học.
5.2. Dán sứ không mài có bị ê buốt hay đau không?
Phương pháp dán sứ không mài hầu như không gây đau hay ê buốt do không xâm lấn hoặc chỉ tác động rất nhẹ lên bề mặt men răng. Quá trình thực hiện nhẹ nhàng, không ảnh hưởng đến tủy răng nên khách hàng có thể yên tâm trong suốt và sau khi điều trị.
5.3. Dán sứ không mài có phù hợp với răng lệch, thưa nhẹ không?
Dán sứ không mài phù hợp với các trường hợp răng lệch nhẹ, thưa nhẹ hoặc hình dáng chưa đẹp. Phương pháp này giúp cải thiện thẩm mỹ nhanh chóng mà không cần niềng răng. Tuy nhiên, với răng lệch nhiều hoặc sai khớp cắn nặng, bác sĩ thường khuyến nghị chỉnh nha trước để đảm bảo hiệu quả lâu dài.
5.4. Quy trình dán sứ không mài diễn ra trong bao lâu?
Thông thường, quy trình dán sứ không mài hoàn thành trong 2–3 lần hẹn, kéo dài khoảng 3–5 ngày, tùy tình trạng răng và công nghệ áp dụng. So với niềng răng, đây là giải pháp thẩm mỹ nhanh chóng, phù hợp với những người muốn cải thiện nụ cười trong thời gian ngắn.

Dán sứ không mài phù hợp với các trường hợp răng lệch, thưa nhẹ hoặc hình dáng chưa đẹp
Hy vọng danh sách gợi ý trên đã giúp bạn giải đáp phần nào thắc mắc dán sứ không mài ở đâu tốt nhất và dễ dàng hơn trong việc đưa ra lựa chọn phù hợp. Nếu bạn cần tư vấn hoặc muốn tìm hiểu thêm các dịch vụ tại Nha khoa Blossom, hãy liên hệ ngay qua số HOTLINE 028.2210.3280 để được hỗ trợ tận tình và nhanh chóng!
Bài viết liên quan
Nhiễm tetracycline là tình trạng răng bị đổi màu do ảnh hưởng của kháng sinh tetracycline trong giai đoạn hình thành răng. Những người gặp phải tình trạng này thường có răng xỉn màu, ngả vàng, xám hoặc nâu, khiến nụ cười kém thẩm mỹ và khó cải thiện bằng các phương pháp làm trắng […]
Ngày: 20/03/2026 Một người trưởng thành có bao nhiêu răng, là câu hỏi đầy thú vị được rất nhiều người quan tâm. Theo kiến thức nha khoa, mỗi người khi trưởng thành đều có 32 chiếc răng bao gồm: 4 răng cửa trên, 4 răng cửa dưới, 4 răng nanh, 8 răng hàm nhỏ và 12 răng […]
Ngày: 07/03/2025 “Không mài răng có dán sứ được không?” là câu hỏi phổ biến của nhiều khách hàng khi tìm kiếm giải pháp thẩm mỹ răng an toàn, bảo tồn tối đa răng thật. Bên cạnh đó, việc lựa chọn địa chỉ thực hiện uy tín cũng là yếu tố quan trọng quyết định kết quả […]
Ngày: 08/04/2026 Dán răng sứ là phương pháp thẩm mỹ nha khoa được nhiều người ưa chuộng bởi hiệu quả nhanh chóng, đẹp tự nhiên. Tuy vậy, dán răng sứ được bao lâu luôn là mối quan tâm hàng đầu của khách hàng. Nội dung sau đây sẽ giải đáp thắc mắc này và chia sẻ bí […]
Ngày: 07/03/2025