Nhiều người khi tìm kiếm giải pháp cải thiện thẩm mỹ nụ cười thường băn khoăn: bọc răng sứ có hết hô không? Bọc răng sứ là kỹ thuật phục hình thẩm mỹ, giúp răng đều đẹp, sáng bóng và cải thiện hình dáng răng. Tuy nhiên, với các trường hợp hô răng hay hô hàm, hiệu quả của bọc răng sứ cần được đánh giá kỹ lưỡng. Trong bài viết này, Blossom – Nha khoa công nghệ cao Hàn Quốc sẽ giải đáp chi tiết liệu bọc răng sứ có hết hô, ai nên áp dụng và những lưu ý quan trọng để đạt kết quả thẩm mỹ tối ưu.
1. Bọc răng sứ có hết hô? Tại sao và khi nào nên thực hiện
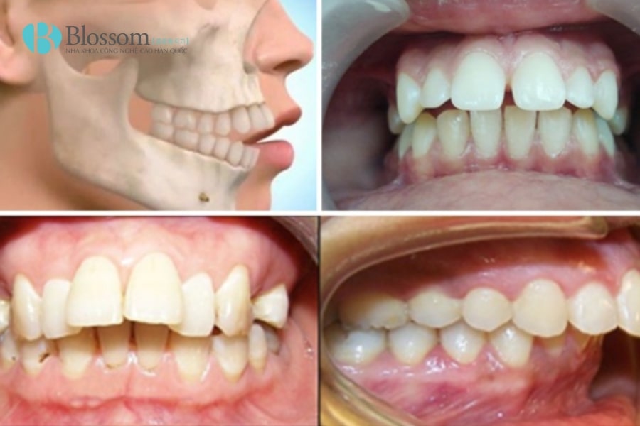
Bọc răng sứ có thể cải thiện răng hô nhẹ nhưng không hiệu quả với hô nặng hoặc hô do xương hàm vì phương pháp chỉ tác động lên thân răng, không điều chỉnh vị trí chân răng hay cấu trúc xương. Phương pháp này phù hợp với răng hô nhẹ, chủ yếu hai răng cửa nhô ra, khớp cắn còn tương đối đều, hoặc kết hợp cải thiện thẩm mỹ răng thưa, sứt mẻ, đổi màu.
Ngược lại, bọc sứ không nên áp dụng cho hô nặng, hô toàn hàm, hô do xương hoặc răng thật yếu vì có thể xâm lấn quá nhiều làm răng bị tổn thương. Đây là giải pháp thẩm mỹ nhanh chóng, giúp răng đều, đẹp và bền hơn nhưng chỉ hiệu quả với các trường hợp hô nhẹ.

Bọc răng sứ có thể cải thiện răng hô nhẹ
2. Những trường hợp nào nên bọc răng sứ?
Khi quyết định bọc răng sứ, bạn nên cân nhắc các tình trạng răng miệng để lựa chọn phương pháp phù hợp. Dưới đây là những trường hợp thường được chỉ định bọc răng sứ:
- Răng bị sâu, vỡ, sứt mẻ hoặc đã điều trị tủy, giúp phục hồi hình dáng, chức năng nhai và bảo vệ răng thật.
- Răng nhiễm màu nặng, không thể tẩy trắng, bọc sứ giúp cải thiện thẩm mỹ và màu sắc răng.
- Răng mọc lệch, thưa, hở kẽ, giúp nắn chỉnh răng đều, đóng các khe hở và cải thiện nụ cười.
- Mất một hoặc nhiều răng, bác sĩ có thể làm cầu răng sứ để phục hình răng đã mất.
- Răng bị mòn men hoặc thiểu sản men bẩm sinh, giúp tăng độ bền, chức năng nhai và tính thẩm mỹ.
Những trường hợp hô nhẹ hoặc khớp cắn tương đối bình thường sẽ đạt hiệu quả giảm hô tương đối, nhưng không quá đáng kể. Ngoài ra, việc bọc sứ cần can thiệp mài răng nhiều nên răng thật có thể yếu đi nếu không được thực hiện đúng kỹ thuật. Phương pháp này chỉ cải thiện hình dáng và thẩm mỹ của răng, không thể điều chỉnh cấu trúc xương hàm hay khớp cắn, vì vậy không phù hợp với các trường hợp hô nặng hoặc hô do xương hàm. Để đạt kết quả tốt, cần thăm khám kỹ lưỡng, lựa chọn loại răng sứ phù hợp và thực hiện bởi bác sĩ giàu kinh nghiệm.

Răng bị sâu, vỡ, sứt mẻ hoặc đã điều trị tủy nên bọc răng sứ
3. Bọc răng sứ hết bao nhiêu tiền? Những lưu ý quan trọng việc bọc răng sứ
Chi phí bọc răng sứ phụ thuộc vào loại răng sứ, số lượng răng cần bọc, kỹ thuật thực hiện và cơ sở nha khoa. Giá tham khảo hiện nay dao động từ 1.000.000 đến 14.000.000 VNĐ/răng.
Những lưu ý quan trọng khi bọc răng sứ:
- Khám và tư vấn kỹ lưỡng: Thăm khám tổng quát, chụp X-quang để bác sĩ đánh giá tình trạng răng và tư vấn loại răng phù hợp.
- Lựa chọn loại răng sứ: Cân nhắc giữa chi phí và tính năng; răng toàn sứ thẩm mỹ và bền hơn, răng kim loại chi phí thấp nhưng dễ sạm viền nướu.
- Chăm sóc răng miệng: Vệ sinh đều đặn bằng bàn chải, chỉ nha khoa và nước súc miệng để bảo vệ răng thật và răng sứ.
- Chọn nha khoa uy tín: Đảm bảo bác sĩ tay nghề cao, cơ sở vật chất hiện đại và chế độ bảo hành rõ ràng.
- Chi phí phát sinh: Nếu răng có bệnh lý như sâu, viêm tủy, cần điều trị trước khi bọc sứ, chi phí sẽ tăng thêm.

Bọc răng sứ giúp răng đều, nhô ra ít hơn, tạo nụ cười hài hòa, cân đối và tự nhiên
4. Phương pháp chỉnh hàm hô hiệu quả mà không cần mài răng bọc sứ
Đối với tình trạng răng hô, bọc răng sứ không phải giải pháp hiệu quả vì phương pháp này chỉ tác động lên thân răng, không thể điều chỉnh cấu trúc xương hàm hay khớp cắn. Việc mài răng nhiều để bọc sứ có thể làm răng thật yếu đi, giảm tuổi thọ răng và không khắc phục triệt để tình trạng hô.
Phương án tốt nhất để cải thiện răng hô là niềng răng, giúp xếp đều răng và cân chỉnh khớp cắn chuẩn. Sau khi răng đã thẳng hàng và khớp cắn ổn định, nếu muốn cải thiện thẩm mỹ về màu sắc, bạn có thể lựa chọn dán sứ không mài Lamifilm tại Nha khoa Blossom, giúp bảo tồn răng thật tối đa, giảm xâm lấn và mang lại nụ cười tự nhiên, bền lâu.
Tại Nha khoa Blossom, sức khỏe răng miệng của khách hàng luôn là giá trị cốt lõi. Chúng tôi ưu tiên xây dựng phác đồ điều trị tối ưu, chú trọng bảo tồn răng tự nhiên, đảm bảo chức năng – sức khỏe – thẩm mỹ được duy trì dài lâu. Mỗi quyết định điều trị đều hướng đến mục tiêu giúp bạn sở hữu một hàm răng khỏe mạnh và một nụ cười hài hòa, tự tin nhất.
Có thể thấy, bọc răng sứ có hết hô hay không phụ thuộc vào mức độ hô, tình trạng răng và khớp cắn của từng người. Nếu bạn cần tư vấn hoặc muốn tìm hiểu thêm về dịch vụ dán sứ không mài Lamifilm, niềng răng cải thiện hô tại Nha khoa Blossom, hãy liên hệ ngay qua số HOTLINE 028.2210.3280 để được hỗ trợ tận tình và nhanh chóng!
Bài viết liên quan
Trong những năm gần đây, các giải pháp phục hình thẩm mỹ ít xâm lấn ngày càng được ưa chuộng, đặc biệt là dán sứ khe thưa không mài răng. Với mong muốn cải thiện răng thưa mà vẫn bảo tồn tối đa men răng thật, nhiều khách hàng quan tâm đến công nghệ dán […]
Ngày: 23/02/2026 Đã làm răng sứ rồi có niềng được không là thắc mắc phổ biến của rất nhiều khách hàng sau khi đã bọc sứ để cải thiện thẩm mỹ răng, nhưng sau đó lại nhận ra khớp cắn chưa chuẩn hoặc răng vẫn chưa đều như mong muốn. Trên thực tế, không ít người lo […]
Ngày: 18/01/2026 Bạn đang tìm kiếm một phương pháp chỉnh nha hiệu quả, thẩm mỹ và ít đau? Hãy để Bác sĩ Kim Dong Hyun niềng Invisalign – chuyên gia chỉnh nha hàng đầu tại Blossom – Nha khoa công nghệ cao Hàn Quốc đồng hành cùng bạn. Với hơn 20 năm kinh nghiệm và đạt danh […]
Ngày: 29/07/2025