Nhiều người nghe đến răng 9630 nhưng chưa hiểu rõ đây là gì và liệu tình trạng này có nguy hiểm không. Răng 9630 là hiện tượng răng mọc lệch, răng thừa hoặc răng có vấn đề đặc biệt, có thể ảnh hưởng trực tiếp đến chức năng nhai và thẩm mỹ nụ cười. Nếu không được phát hiện và xử lý kịp thời, răng 9630 có thể dẫn đến các vấn đề về sức khỏe răng miệng, viêm nướu hoặc sai lệch khớp cắn. Bài viết này từ Blossom – Nha khoa công nghệ cao Hàn Quốc sẽ giúp bạn hiểu rõ răng 9630 có nguy hiểm không và những ảnh hưởng của nó đến sức khỏe và thẩm mỹ.
1. Răng 9630 là gì? Giải thích ý nghĩa và cách nhận biết
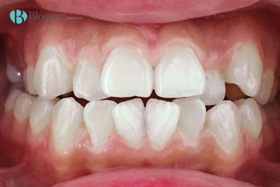
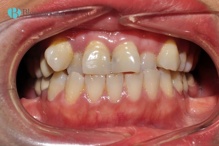
Răng 9630 là thuật ngữ dùng để chỉ tình trạng răng mọc lệch lạc, khấp khểnh, chen chúc và không theo trật tự trên cung hàm. Tên gọi “răng 9630” xuất phát từ hình ảnh so sánh hàm răng lộn xộn với sự sắp xếp của các con số 9, 6, 3 và 0 trên mặt đồng hồ, nhấn mạnh sự không đều đặn, xô lệch của các răng.
Tình trạng răng 9630 không chỉ ảnh hưởng đến thẩm mỹ nụ cười mà còn có thể gây khó khăn trong việc ăn nhai, vệ sinh răng miệng, tạo điều kiện thuận lợi cho sâu răng, viêm nướu và các vấn đề sức khỏe răng miệng khác. Bạn có thể nhận biết răng 9630 qua một số đặc điểm sau:
- Các răng không đều nhau, có răng mọc chen chúc hoặc lệch ra ngoài/hướng vào trong.
- Khoảng cách giữa các răng không đồng đều, có răng chồng lên nhau hoặc có khe hở bất thường.
- Hàm răng tổng thể không thẳng hàng, tạo cảm giác lộn xộn khi cười hoặc khi nhìn từ trên xuống.

Răng 9630 chỉ tình trạng răng mọc lệch, khấp khểnh, chen chúc và không theo trật tự
2. Nguyên nhân gây ra tình trạng răng 9630
Tình trạng răng 9630, hay răng mọc lệch lạc, khấp khểnh, không đều trên cung hàm, có thể xuất phát từ nhiều nguyên nhân khác nhau, bao gồm cả yếu tố bẩm sinh và thói quen hằng ngày:
- Do di truyền: Hình dạng, kích thước và vị trí răng thường chịu ảnh hưởng mạnh từ yếu tố di truyền. Nếu bố mẹ hoặc người thân trong gia đình có răng khấp khểnh, trẻ cũng có nguy cơ cao gặp phải tình trạng răng 9630.
- Cung hàm hẹp: Khi cung hàm quá nhỏ, không đủ chỗ để răng mọc đều, các răng sẽ chen chúc, xô lệch, gây nên hàm răng lộn xộn.
- Mất răng sữa sớm: Trẻ mất răng sữa trước thời điểm bình thường sẽ khiến các răng xung quanh dịch chuyển vào khoảng trống, dẫn đến răng vĩnh viễn mọc lệch lạc và chen chúc.
- Thói quen xấu: Các thói quen như mút tay, ngậm núm vú giả quá lâu, đẩy lưỡi khi nuốt, thở bằng miệng hay cắn móng tay đều có thể tác động tiêu cực đến sự phát triển của cung hàm và vị trí răng, làm răng mọc lệch.
- Do chấn thương hoặc tác động ngoại lực: Những va đập mạnh vào vùng hàm hoặc miệng có thể khiến răng bị gãy, xô lệch hoặc mọc sai vị trí, dẫn đến tình trạng răng khấp khểnh.
- Thiếu hụt dinh dưỡng: Thiếu các khoáng chất cần thiết như canxi, fluor trong quá trình phát triển răng có thể ảnh hưởng đến độ chắc khỏe và hướng mọc của răng, làm răng dễ mọc lệch.
Nhận biết và hiểu rõ nguyên nhân gây răng 9630 là bước quan trọng để có giải pháp chỉnh nha phù hợp, cải thiện thẩm mỹ nụ cười và chức năng ăn nhai hiệu quả. Những người gặp phải tình trạng này nên thăm khám bác sĩ nha khoa sớm để được tư vấn và can thiệp kịp thời.

Tình trạng răng 9630 xuất phát từ nhiều nguyên nhân khác nhau
3. Răng 9630 có nguy hiểm không? Ảnh hưởng đến thẩm mỹ và sức khỏe răng miệng
Răng 9630, với tình trạng mọc lệch, khấp khểnh và không theo trật tự rõ ràng trên cung hàm, thường không gây nguy hiểm trực tiếp nếu không kèm theo các vấn đề răng miệng nghiêm trọng. Tuy nhiên, về lâu dài, tình trạng này có thể ảnh hưởng đáng kể đến thẩm mỹ, chức năng ăn nhai và sức khỏe răng miệng:
- Khó khăn trong ăn nhai: Răng mọc chen chúc khiến việc cắn và nghiền thức ăn không hiệu quả, gây cảm giác khó chịu khi ăn và lâu dài có thể dẫn đến các vấn đề tiêu hóa như đầy bụng, khó tiêu. Ngoài ra, lực nhai phân bố không đều cũng có thể gây đau nhức hoặc mỏi hàm.
- Khó vệ sinh răng miệng: Những khe răng hẹp, răng mọc lệch khiến việc chải răng và dùng chỉ nha khoa trở nên khó khăn. Mảng bám và thức ăn thừa tích tụ lâu ngày sẽ hình thành cao răng, tạo điều kiện cho vi khuẩn phát triển, gây viêm nướu, viêm nha chu, hôi miệng, thậm chí mất răng nếu không được chăm sóc và điều trị kịp thời.
- Ảnh hưởng đến thẩm mỹ và sự tự tin: Răng 9630 làm nụ cười kém đều, mất cân đối và ảnh hưởng đến tổng thể khuôn mặt. Người mắc phải tình trạng này thường cảm thấy tự ti, ngại giao tiếp, hạn chế cười hoặc nói chuyện, từ đó tác động tiêu cực đến cuộc sống xã hội và tinh thần.
- Tăng nguy cơ sâu răng và tụt nướu: Răng mọc lệch tạo các góc cạnh khó vệ sinh, thức ăn dễ bám vào kẽ răng, dẫn đến sâu răng và viêm nướu. Khi viêm nặng, nướu có thể tụt xuống, lộ chân răng, làm răng nhạy cảm và dễ tổn thương. Nếu không điều trị kịp thời, tình trạng này có thể tiến triển thành viêm nha chu, ảnh hưởng đến cấu trúc nâng đỡ răng và gây mất răng.
- Ảnh hưởng đến phát âm: Răng mọc lệch lạc đôi khi khiến việc đặt lưỡi và phát âm gặp khó khăn, gây cản trở trong việc phát âm một số từ hoặc âm.

Răng 9630 ảnh hưởng đáng kể đến thẩm mỹ, chức năng ăn nhai và sức khỏe răng miệng
4. Ý nghĩa của răng 9630 trong nhân tướng học và phong thủy
Răng 9630 không chỉ là vấn đề thẩm mỹ hay chức năng ăn nhai mà theo quan niệm nhân tướng học và phong thủy, còn ẩn chứa những ý nghĩa về tính cách, vận mệnh và các mối quan hệ của người sở hữu. Kiểu răng này, với các răng mọc lệch, khấp khểnh, không thẳng hàng và các hướng khác nhau như các số 9, 6, 3, 0 trên đồng hồ, thường được xem là “tướng răng xấu”.
Theo nhân tướng học:
- Tính cách: Người có răng 9630 thường được nhận xét là nóng tính, hay đố kỵ và có xu hướng chỉ quan tâm đến lợi ích bản thân. Họ dễ bộc lộ sự ngang bướng, cứng đầu và ít biết cách nhẫn nhịn trong các mối quan hệ.
- Quan hệ hôn nhân: Trong chuyện tình cảm và hôn nhân, kiểu răng này được cho là biểu hiện của cuộc sống vợ chồng không hòa thuận, dễ xảy ra xích mích, thậm chí dẫn đến ly tán. Đặc biệt, đàn ông có răng 9630 được quan niệm là có tính gia trưởng, thậm chí có xu hướng bạo lực nếu răng cửa quá to hoặc răng ngả vàng.
- Phong thủy và vận mệnh: Người có răng 9630 được cho là gặp nhiều trắc trở trong cuộc sống, khó gặp quý nhân phù trợ, dễ lận đận và gặp nhiều chuyện xui xẻo. Họ có thể gặp khó khăn trong việc giữ gìn cơ hội và tiền bạc, đồng thời ít được lòng mọi người xung quanh.
Tuy nhiên, những phân tích trên mang tính chất tham khảo và dựa trên quan niệm phong thủy, nhân tướng học. Thực tế, nhiều người đã lựa chọn thẩm mỹ nha khoa, điều chỉnh răng mọc lệch, không chỉ cải thiện thẩm mỹ nụ cười mà còn mang lại cảm giác tự tin hơn trong giao tiếp và cuộc sống. Việc chỉnh sửa hàm răng 9630 hiện nay vừa là giải pháp làm đẹp, vừa được xem là cách giúp tinh thần và vận mệnh được “cải thiện” theo quan niệm phong thủy.

Răng 9630 còn ẩn chứa những ý nghĩa về tính cách, vận mệnh và các mối quan hệ
5. Biện pháp khắc phục răng 9630 hiệu quả hiện nay
5.1. Bọc răng sứ
Bọc răng sứ là giải pháp thẩm mỹ nhanh chóng và hiệu quả, phù hợp với những trường hợp răng 9630 nhẹ. Phương pháp này sử dụng mão sứ được thiết kế riêng, lắp trực tiếp lên răng thật sau khi mài cùi, giúp răng trở nên đều đẹp và trắng sáng. Đồng thời, bọc răng sứ che đi các khuyết điểm như răng ố vàng, sứt mẻ hoặc nứt nẻ, đồng thời bảo vệ răng thật khỏi vi khuẩn và axit trong khoang miệng. Thời gian thực hiện nhanh, chỉ từ 2 – 4 ngày, nhưng nhược điểm là phải mài một phần răng thật và không phải là giải pháp tối ưu cho những trường hợp răng mọc chen chúc nặng hoặc sai khớp cắn nghiêm trọng.
5.2. Niềng răng
Niềng răng là phương pháp chỉnh nha an toàn và hiệu quả với mọi mức độ răng lệch lạc, giúp khắc phục triệt để răng mọc chen chúc, khấp khểnh, sai khớp cắn và mang lại nụ cười tự nhiên. Hiện nay, có ba loại niềng răng phổ biến: niềng răng mắc cài kim loại, niềng răng mắc cài sứ và niềng răng khay trong suốt Invisalign. Niềng răng mắc cài kim loại có chi phí thấp, hiệu quả cao nhưng ảnh hưởng thẩm mỹ khi đeo niềng.
Niềng răng mắc cài sứ thẩm mỹ hơn, gần như hòa lẫn với màu răng tự nhiên và ít gây kích ứng nướu. Niềng răng khay trong suốt Invisalign lại tối ưu về thẩm mỹ, có thể tháo lắp dễ dàng, thuận tiện cho vệ sinh răng miệng và ăn uống, phù hợp với người bận rộn hoặc quan tâm ngoại hình. Nhược điểm của niềng răng là thời gian điều trị dài, từ 1 – 3 năm, đồng thời có thể gây ê buốt, khó chịu trong quá trình niềng, đặc biệt sau mỗi lần siết răng.
5.3. Phẫu thuật chỉnh hàm
Trong những trường hợp răng 9630 nghiêm trọng, lệch lạc do cấu trúc xương hàm hoặc sai khớp cắn nặng, bác sĩ có thể chỉ định phẫu thuật chỉnh hàm. Phương pháp này giúp điều chỉnh sai lệch xương hàm, khắc phục tình trạng hô, móm hoặc khớp cắn ngược, đồng thời tạo điều kiện thuận lợi để răng sắp xếp đúng vị trí, mang lại nụ cười cân đối và thẩm mỹ. Tuy nhiên, phẫu thuật chỉnh hàm là kỹ thuật phức tạp, đòi hỏi bác sĩ tay nghề cao và chi phí cao hơn so với các phương pháp chỉnh nha thông thường.

Biện pháp khắc phục răng 9630 hiệu quả hiện nay
Tình trạng răng 9630 nếu không được theo dõi và điều trị đúng cách có thể gây ra nhiều hậu quả lâu dài, từ đau nhức, viêm nướu cho đến ảnh hưởng thẩm mỹ và khớp cắn. Nếu bạn cần tư vấn hoặc muốn tìm hiểu thêm về các dịch vụ tại Nha khoa Blossom, hãy liên hệ ngay qua số HOTLINE 028.2210.3280 để được hỗ trợ tận tình và nhanh chóng!
Bài viết liên quan
Gần đây có nhiều thông tin xoay quanh việc dán sứ veneer gây hôi miệng, khiến không ít khách hàng lo lắng trước khi quyết định làm răng thẩm mỹ. Veneer vốn được biết đến là giải pháp phục hình thẩm mỹ hiệu quả, nhưng vì sao lại có trường hợp bị hôi miệng sau […]
Ngày: 23/12/2025 Implant nha khoa hay còn gọi là răng cấy ghép, là giải pháp nha khoa tiên tiến giúp phục hồi răng đã mất một cách hiệu quả và thẩm mỹ. Tuy nhiên, để có được kết quả tốt nhất, quy trình cắm Implant cần được thực hiện bài bản và tuân thủ nghiêm ngặt theo các […]
Ngày: 07/03/2025 Nhiều người nghe đến răng 9630 nhưng chưa hiểu rõ đây là gì và liệu tình trạng này có nguy hiểm không. Răng 9630 là hiện tượng răng mọc lệch, răng thừa hoặc răng có vấn đề đặc biệt, có thể ảnh hưởng trực tiếp đến chức năng nhai và thẩm mỹ nụ cười. Nếu […]
Ngày: 18/11/2025 Nụ cười rạng rỡ là niềm tự hào của mỗi người, nhưng mất răng có thể ảnh hưởng nghiêm trọng đến thẩm mỹ và chức năng ăn nhai. Hai phương pháp phục hình thông dụng hiện nay là trồng răng sứ và cấy ghép Implant. Vậy nên trồng răng sứ hay Implant để đạt được hiệu […]
Ngày: 07/03/2025