Mọc thừa răng là tình trạng xuất hiện thêm một hoặc nhiều răng ngoài số lượng răng bình thường, gây ảnh hưởng đến cấu trúc hàm, khớp cắn và thẩm mỹ nụ cười. Dù không phải là vấn đề hiếm gặp, nhưng nhiều người thường chủ quan, chỉ phát hiện khi răng mọc lệch, chen chúc hoặc gây đau nhức. Việc hiểu rõ mọc thừa răng là gì, nguyên nhân và cách khắc phục sẽ giúp bạn chủ động hơn trong việc bảo vệ sức khỏe răng miệng và phòng ngừa các biến chứng không mong muốn. Hãy cùng Blossom – Nha khoa công nghệ cao Hàn Quốc tìm hiểu trong bài viết dưới đây nhé!
1. Mọc thừa răng là gì? Triệu chứng và dấu hiệu nhận biết mọc thừa răng
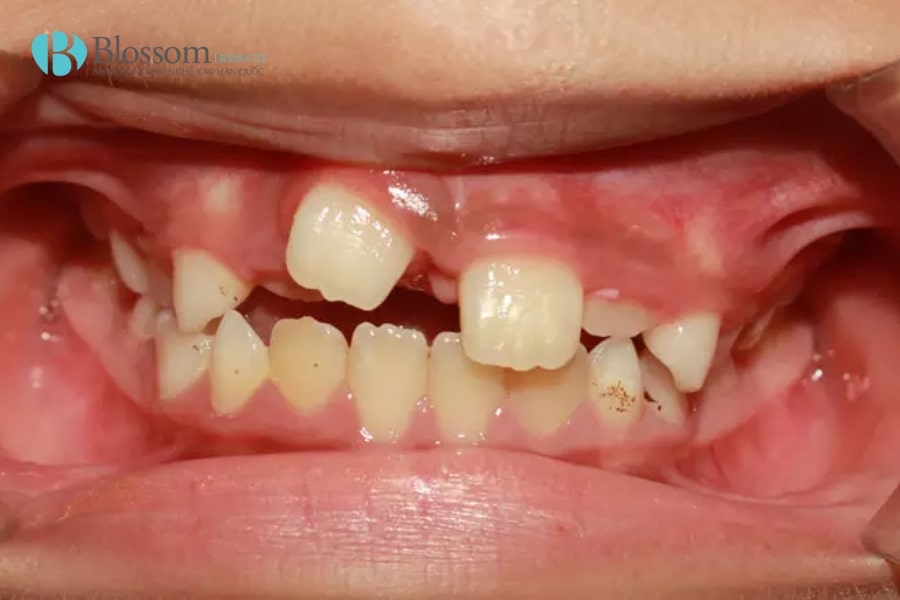
Mọc thừa răng (răng dư, răng kẹ, hyperdontia) là tình trạng có nhiều hơn số răng bình thường và vượt quá 20 răng sữa hoặc 32 răng vĩnh viễn. Răng thừa có thể mọc ở bất kỳ vị trí nào trên cung hàm, phổ biến nhất là vùng răng cửa hàm trên. Chúng thường nhỏ, dị dạng, mọc lệch hoặc ngầm, không có chức năng ăn nhai và có thể ảnh hưởng đến thẩm mỹ, sức khỏe răng miệng.
- Răng mọc thừa có thể gây ra nhiều thay đổi trong khoang miệng. Một số dấu hiệu phổ biến gồm:
- Răng mọc lệch, chen chúc, gây khấp khểnh, sai khớp cắn.
- Răng vĩnh viễn mọc chậm hoặc không mọc, do răng thừa cản trở.
- Đau, sưng nướu, khó vệ sinh răng miệng, dễ sâu răng và viêm lợi.
- Ảnh hưởng thẩm mỹ và khả năng nhai.
- Một số trường hợp không có triệu chứng, chỉ phát hiện khi chụp X-quang

Mọc thừa răng là tình trạng có nhiều hơn số răng bình thường
2. Những vị trí mọc thừa răng thường gặp
2.1. Mọc thừa răng ở hàm trên
Đây là vị trí thường gặp nhất. Răng thừa ở hàm trên có thể mọc ở phía sau răng cửa, giữa hai răng cửa hoặc lệch ra ngoài cung hàm. Một số trường hợp, răng thừa còn mọc ở vùng hàm ếch, gây khó khăn khi phát hiện và vệ sinh răng miệng.
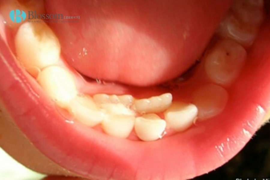
2.2. Mọc thừa răng ở hàm dưới
Răng thừa ở hàm dưới thường mọc bên cạnh các răng cửa hoặc răng hàm nhỏ, đôi khi chen chúc với răng vĩnh viễn. Dù ít gặp hơn hàm trên, nhưng nếu không xử lý sớm có thể gây lệch khớp cắn và ảnh hưởng thẩm mỹ.
2.3. Mọc thừa răng giữa hai răng cửa
Loại này còn gọi là răng Mesiodens, thường xuất hiện ở giữa hai răng cửa hàm trên. Răng này không có chức năng nhai, dễ gây răng thưa, lệch răng hoặc sai khớp cắn, ảnh hưởng đến thẩm mỹ khuôn mặt.
2.4. Mọc thừa răng ngầm
Răng thừa mọc ngầm nằm ẩn trong xương hàm, không thể nhìn thấy bằng mắt thường mà chỉ phát hiện qua chụp X-quang. Nếu không điều trị, răng ngầm có thể gây áp lực lên răng bên cạnh, dẫn đến tiêu xương, u nang hoặc đau nhức kéo dài.

Răng thừa ở hàm dưới thường mọc bên cạnh các răng cửa hoặc răng hàm nhỏ
3. Nguyên nhân khiến mọc thừa răng
3.1. Yếu tố di truyền
Di truyền là nguyên nhân phổ biến nhất gây mọc thừa răng. Nếu trong gia đình (bố mẹ, anh chị em) có người từng gặp tình trạng này, nguy cơ trẻ bị răng thừa sẽ cao hơn bình thường.
3.2. Bất thường bẩm sinh: sứt môi, hở hàm ếch
Di truyền là nguyên nhân phổ biến nhất gây mọc thừa răng. Nếu trong gia đình (bố mẹ, anh chị em) có người từng gặp tình trạng này, nguy cơ trẻ bị răng thừa sẽ cao hơn bình thường.
3.3. Mầm răng phát triển quá mức
Trong quá trình hình thành, mầm răng có thể bị phân đôi hoặc hoạt động quá mức, tạo ra thêm một hoặc nhiều mầm răng phụ. Đây là nguyên nhân trực tiếp khiến răng mọc thừa, thường gặp ở vùng răng cửa hàm trên.
3.4. Một số hội chứng liên quan
Răng mọc thừa còn xuất hiện trong một số hội chứng di truyền hiếm gặp như:
- Hội chứng Gardner: Gây u xương hàm và tăng nguy cơ ung thư đại tràng.
- Loạn sản xương sọ – đòn: Ảnh hưởng đến sự phát triển của xương và răng, dễ xuất hiện nhiều răng thừa.
- Hội chứng Ehlers–Danlos: Rối loạn mô liên kết khiến cấu trúc răng bất thường.
- Các hội chứng khác: Như Ellis–van Creveld, Down, Rubinstein–Taybi,… cũng có thể kèm theo tình trạng mọc thừa răng.

Nguyên nhân khiến mọc thừa răng
4. Mọc thừa răng có nguy hiểm không?
4.1. Gây sai khớp cắn, lệch cung hàm
Răng thừa chiếm chỗ trong cung hàm, khiến các răng còn lại bị đẩy lệch, chen chúc hoặc xoay sai hướng. Lâu dần, điều này gây mất cân đối khớp cắn, ảnh hưởng đến khả năng nhai và phát âm.
4.2. Ảnh hưởng đến quá trình mọc răng vĩnh viễn
Răng thừa có thể cản trở răng vĩnh viễn mọc đúng vị trí, khiến răng mọc chậm, mọc lệch hoặc bị kẹt trong xương hàm. Nếu không xử lý sớm, có thể gây sai lệch toàn bộ cung răng.
4.3. Tăng nguy cơ sâu răng, viêm nướu
Khi răng mọc chen chúc hoặc nằm ở vị trí khó vệ sinh, thức ăn và vi khuẩn dễ tích tụ, gây sâu răng, viêm lợi, viêm nha chu và hôi miệng.
4.4. Hình thành u răng hoặc nang chân răng
Một số răng thừa mọc ngầm có thể tạo thành nang hoặc u quanh chân răng. Những tổn thương này gây tiêu chân răng lân cận, làm yếu xương hàm và ảnh hưởng nghiêm trọng đến cấu trúc răng.
4.5. Mất thẩm mỹ và ảnh hưởng tâm lý
Răng thừa, đặc biệt ở vùng răng cửa, làm răng mất cân đối, ảnh hưởng đến nụ cười và gương mặt. Tình trạng này có thể khiến người bệnh tự ti khi giao tiếp hoặc ngại cười nói.

Răng thừa khiến các răng còn lại bị đẩy lệch, chen chúc hoặc xoay sai hướng
5. Cách khắc phục và điều trị mọc thừa răng
5.1. Nhổ bỏ răng thừa
Đây là phương pháp điều trị phổ biến nhất, được chỉ định khi răng thừa gây chen chúc, lệch khớp cắn, cản trở răng vĩnh viễn mọc hoặc ảnh hưởng thẩm mỹ. Trước khi nhổ, bác sĩ sẽ gây tê để giảm đau và sử dụng dụng cụ chuyên dụng để lấy răng ra khỏi xương hàm. Sau nhổ, người bệnh cần chăm sóc vết thương đúng cách, ăn thức ăn mềm, tránh súc miệng mạnh và giữ vệ sinh răng miệng sạch sẽ.
5.2. Theo dõi răng thừa không triệu chứng
Nếu răng thừa mọc ổn định, không ảnh hưởng đến răng lân cận, ăn nhai hay thẩm mỹ, bác sĩ có thể chỉ định theo dõi định kỳ thay vì nhổ bỏ. Người bệnh cần kiểm tra răng miệng 6 tháng/lần, chụp X-quang khi cần thiết để phát hiện sớm các biến chứng tiềm ẩn như nang răng hay lệch khớp cắn.
5.3. Điều trị chỉnh nha sau khi nhổ răng thừa
Trong trường hợp răng thừa gây lệch lạc, khoảng trống hoặc sai khớp cắn sau khi nhổ, bác sĩ sẽ chỉ định chỉnh nha (niềng răng) để sắp xếp lại răng về vị trí đúng. Phương pháp này giúp phục hồi khớp cắn, cải thiện thẩm mỹ và đảm bảo răng ổn định lâu dài. Các kỹ thuật niềng có thể bao gồm mắc cài kim loại, sứ hoặc khay trong suốt tùy theo nhu cầu và điều kiện của người bệnh.

Cách khắc phục và điều trị mọc thừa răng
Tình trạng mọc thừa răng nếu không được phát hiện và điều trị sớm có thể dẫn đến nhiều hậu quả như lệch khớp cắn, sai vị trí răng, viêm nướu hoặc tiêu xương hàm. Nếu bạn cần tư vấn hoặc muốn tìm hiểu thêm về các dịch vụ tại Nha khoa Blossom, hãy liên hệ ngay qua số HOTLINE 028.2210.3280 để được hỗ trợ tận tình và nhanh chóng!
Bài viết liên quan
Răng khểnh từ lâu đã được xem như một nét duyên thầm, tạo điểm nhấn cho nụ cười thêm rạng rỡ. Tuy nhiên, không phải ai cũng may mắn sở hữu chiếc răng khểnh tự nhiên. Bài viết này sẽ cung cấp cho bạn những thông tin hữu ích về trồng răng khểnh, bao gồm […]

Bệnh viêm nướu tuy không quá nguy hiểm, nhưng nếu không được điều trị kịp thời, viêm nướu có thể dẫn đến những biến chứng nghiêm trọng như áp xe nướu, viêm nha chu,.. Vậy Viêm nướu là bệnh gì? Cách chữa viêm nướu như thế nào? Nha Khoa Blossom sẽ giải đáp cho bạn […]

Đắp răng sứ là gì và có đau không là một trong những câu hỏi mà nhiều người thắc mắc. Bệnh nhân có thể an tâm vì đắp răng sứ không gây cảm giác ê buốt, khó chịu và đau nhức nào. Trước quá trình mài răng, bác sĩ sẽ tiến hành gây tê để […]

Đau hàm bên phải là hiện tượng không hiếm gặp trong nha khoa. Đây là tình trạng phần hàm bên phải bị đau nhức, khiến khuôn miệng bị cứng lại, khó mở ra. Đây có thể là dấu hiệu cho thấy bạn đang mắc phải nhiều bệnh lý nguy hiểm liên quan tới răng miệng […]

