Hiện nay, chụp CT Cone Beam đang trở thành công cụ hình ảnh 3D không thể thiếu trong nha khoa hiện đại. Khác với X-quang truyền thống, phương pháp này giúp bác sĩ nhìn thấy toàn bộ cấu trúc răng, xương hàm và các mô quanh răng một cách chính xác. Nhờ đó, việc lập kế hoạch điều trị Implant, chỉnh nha hay phát hiện các bệnh lý răng miệng trở nên nhanh chóng và an toàn hơn. Hãy cùng Blossom – Nha khoa công nghệ cao Hàn Quốc tìm hiểu chi tiết về chụp CT Cone Beam và lý do tại sao phương pháp này lại được ưa chuộng đến vậy.
1. Chụp CT Cone Beam là gì? So sánh CT Cone Beam với X-quang 2D và CT y tế
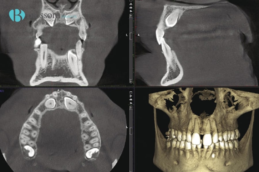
CT Cone Beam, viết tắt là CBCT (Cone Beam Computed Tomography), là kỹ thuật chụp hình ảnh 3D tiên tiến trong nha khoa. Máy sử dụng tia X hình nón quay 360 độ quanh đầu bệnh nhân để thu thập nhiều hình ảnh từ các góc khác nhau, sau đó tái tạo thành hình ảnh 3 chiều chi tiết của răng, xương hàm, mô mềm và ống thần kinh.
Khác với X-quang 2D truyền thống, CBCT cho phép quan sát toàn bộ cấu trúc hàm răng dưới nhiều góc độ, giúp bác sĩ đánh giá mật độ xương, vị trí dây thần kinh, xác định hướng đặt trụ Implant và lập kế hoạch điều trị chính xác. Quá trình chụp nhanh, không xâm lấn và ít tia bức xạ, mang lại sự an toàn và thoải mái cho bệnh nhân.

CT Cone Beam là kỹ thuật chụp hình ảnh 3D tiên tiến trong nha khoa
1.1. CT Cone Beam với X-quang 2D
| Tiêu chí | CT Cone Beam | X-quang 2D |
| Hình ảnh | 3D chi tiết, đa chiều | 2D phẳng, chỉ thấy cấu trúc lớn |
| Phạm vi | Vùng hàm mặt (răng, xương, xoang, dây thần kinh) | Vùng chụp nhỏ, cụ thể |
| Độ phân giải | Rất cao, phát hiện chi tiết nhỏ | Thấp hơn, bỏ sót chi tiết nhỏ |
| Thời gian chụp | 10–20 giây | Khoảng 1 phút + thời gian xử lý |
| Liều bức xạ | Thấp, tập trung vùng hàm |
Thấp hơn, nhưng thông tin hạn chế |
| Ứng dụng | Cấy Implant, niềng răng, nhổ răng khôn, nội nha | Chẩn đoán cơ bản, hình ảnh phẳng |
1.2. CT Cone Beam với CT y tế
| Tiêu chí | CT Cone Beam |
CT y tế |
| Hình ảnh | 3D chi tiết vùng răng, xương hàm, mô mềm |
3D toàn cơ thể hoặc vùng lớn |
| Phạm vi | Vùng hàm mặt (răng, xương, xoang, dây thần kinh) |
Toàn bộ cơ thể hoặc vùng lớn |
|
Độ phân giải |
Rất cao, phát hiện chi tiết nhỏ | Rất cao nhưng không tối ưu cho vùng hàm mặt |
| Thời gian chụp | 10–20 giây | Lâu hơn, cần chuẩn bị nhiều |
| Liều bức xạ | Thấp, tập trung vùng hàm | Cao hơn, chiếu toàn vùng hoặc cơ thể |
| Ứng dụng | Cấy Implant, niềng răng, nhổ răng khôn, nội nha |
Chẩn đoán tổn thương nội tạng, chấn thương, gãy xương phức tạp |
2. Chụp CT Cone Beam có an toàn không?
Chụp CT Cone Beam (CBCT) được đánh giá là an toàn và không xâm lấn, nhờ những ưu điểm sau:
- CBCT sử dụng tia X hình nón để tạo hình ảnh chi tiết của răng, xương hàm và mô mềm.
- Giúp bác sĩ lập kế hoạch điều trị chính xác, đặc biệt trong cấy Implant, chỉnh nha và các thủ thuật nha khoa phức tạp.
- An toàn, không xâm lấn, với liều bức xạ thấp hơn CT y tế và tương đương hoặc thấp hơn X-quang toàn cảnh.
- Liều bức xạ cho thai nhi khi chụp chỉ từ 0,09–7,79 mSv, kết hợp với áo chì bảo vệ và giới hạn vùng quét nhỏ nhất.
- Quá trình chụp nhanh, bệnh nhân chỉ cần ngồi hoặc nằm yên, không gây đau.
- Cần thận trọng với phụ nữ mang thai, trẻ em dưới 16 tuổi và người có tình trạng sức khỏe đặc biệt.
- CBCT mang lại hình ảnh chính xác cao, hỗ trợ quyết định điều trị hiệu quả và an toàn.

Chụp CT Cone Beam được đánh giá là an toàn
3. Chụp CT Cone Beam được áp dụng trong những trường hợp nào?
3.1. Cấy ghép Implant
CT Cone Beam giúp đánh giá chính xác chất lượng và khối lượng xương hàm, vị trí dây thần kinh và mạch máu, từ đó lập kế hoạch cấy ghép Implant an toàn. Hình ảnh 3D cho phép chọn đường kính Implant phù hợp, dự đoán có cần ghép xương và tránh chèn ép các cấu trúc quan trọng như xoang hàm trên hay dây thần kinh hàm dưới, đảm bảo tuổi thọ lâu dài của trụ Implant.
3.2. Chỉnh nha – niềng răng
CBCT hỗ trợ xác định vị trí, hướng mọc và mối quan hệ giữa các răng, xương hàm và các mô mềm. Thông tin này giúp bác sĩ lập kế hoạch chỉnh nha chính xác, xác định răng cần nhổ hoặc di chuyển, và dự đoán hiệu quả của quá trình niềng răng.
3.3. Tiểu phẫu răng khôn
Phim CBCT cho thấy mối tương quan giữa dây thần kinh và chân răng khôn, giúp định vị chính xác vị trí nhổ, tránh tổn thương dây thần kinh và các răng lân cận. Đây là công cụ quan trọng để thực hiện các ca nhổ răng phức tạp an toàn, hạn chế biến chứng.
3.4. Chẩn đoán bệnh lý hàm mặt
CBCT cung cấp hình ảnh 3D chi tiết về xương hàm, răng và mô mềm, hỗ trợ phát hiện các bệnh lý ẩn như u, nang, viêm nhiễm, rối loạn khớp thái dương hàm và các vấn đề xoang hàm. Kỹ thuật này giúp bác sĩ đưa ra chẩn đoán chính xác và lập kế hoạch điều trị hiệu quả.

Chụp CT Cone Beam được áp dụng trong 4 trường hợp
4. Chụp CT Cone Beam mang lại những ưu điểm gì?
Trong nha khoa hiện đại, CT Cone Beam (CBCT) đã trở thành công cụ quan trọng nhờ khả năng cung cấp hình ảnh 3D chi tiết, hỗ trợ bác sĩ chẩn đoán và lập kế hoạch điều trị chính xác hơn. Một số ưu điểm nổi bật của CBCT bao gồm:
- Hình ảnh 3D chi tiết và chính xác: Cung cấp hình ảnh ba chiều rõ nét về xương hàm, răng, dây thần kinh và mô mềm, giúp phát hiện sớm các vấn đề tiềm ẩn mà X-quang 2D khó nhận biết.
- Lập kế hoạch điều trị chính xác: Hình ảnh 3D toàn diện giúp bác sĩ đánh giá mật độ xương, vị trí răng, đường đi dây thần kinh, từ đó lên kế hoạch cấy ghép Implant, chỉnh nha hoặc nhổ răng khôn an toàn.
- Giảm thiểu rủi ro phẫu thuật: Cho phép xác định chính xác các cấu trúc giải phẫu quan trọng, hạn chế tối đa biến chứng trong các ca tiểu phẫu và phẫu thuật nha khoa.
- Thời gian chụp nhanh: Chỉ mất 20–60 giây cho toàn bộ quá trình, tiết kiệm thời gian cho bác sĩ và bệnh nhân.
- Liều bức xạ thấp và an toàn: So với CT y tế, liều bức xạ thấp hơn đến 80%, không xâm lấn, phù hợp cho hầu hết bệnh nhân, kể cả trẻ em và người nhạy cảm.
- Ứng dụng đa dạng trong nha khoa: Hỗ trợ cấy ghép Implant, chỉnh nha, nhổ răng khôn, điều trị nội nha và chẩn đoán bệnh lý hàm mặt, đồng thời nâng cao hiệu quả thẩm mỹ và chức năng sau điều trị.
- Quan sát toàn bộ hàm răng trong một lần quét: Cung cấp cái nhìn tổng thể, giúp phát hiện các vấn đề tiềm ẩn mà các phương pháp khác có thể bỏ sót.

Chụp CT Cone Beam hỗ trợ bác sĩ chẩn đoán và lập kế hoạch điều trị chính xác
5. Chụp CT Cone Beam giá bao nhiêu và cần lưu ý gì trước khi chụp?
5.1. Bảng giá tham khảo và yếu tố ảnh hưởng
Chi phí chụp CT Cone Beam tại Việt Nam thường dao động từ khoảng 250.000 đến 500.000 VNĐ mỗi lần, tùy thuộc vào phạm vi quét như vùng nhỏ, nửa hàm hoặc toàn hàm. Một số nha khoa cao cấp, trang bị máy CBCT đời mới, có thể áp dụng mức giá cao hơn, từ 450.000 đến 600.000 VNĐ cho một lần scan. Giá cả còn phụ thuộc vào công nghệ liều thấp, vị trí phòng khám và các dịch vụ đi kèm như phân tích hình ảnh hay tư vấn chi tiết.
5.2. Những điều cần chuẩn bị trước khi chụp
Trước khi chụp CT Cone Beam, bệnh nhân cần thông báo cho bác sĩ nếu đang mang thai hoặc nghi ngờ có thai, dù liều bức xạ ở CBCT thấp nhưng vẫn cần cân nhắc kỹ.
Ngoài ra, nên tháo bỏ các vật kim loại như trang sức, răng giả tháo lắp hoặc mắt kính để tránh ảnh hưởng đến chất lượng hình ảnh.
Việc lựa chọn cơ sở nha khoa uy tín, có máy CBCT hiện đại và nhân viên kỹ thuật giàu kinh nghiệm cũng rất quan trọng để đảm bảo an toàn và độ chính xác của kết quả chụp.

Chụp CT Cone Beam cần thông báo cho bác sĩ nếu đang mang thai hoặc nghi ngờ có thai
Chụp CT Cone Beam không chỉ giúp bác sĩ chẩn đoán chính xác mà còn mang đến sự an tâm cho bệnh nhân khi lên kế hoạch điều trị. Nếu bạn cần tư vấn hoặc muốn tìm hiểu thêm về các dịch vụ tại Nha khoa Blossom, hãy liên hệ ngay qua số HOTLINE 028.2210.3280 để được hỗ trợ tận tình và nhanh chóng!
Bài viết liên quan
Mặc dù không trực tiếp gây ra cảm giác đau đớn cho răng miệng. Tuy nhiên, bệnh mòn cổ chân răng lại là nguyên nhân chính làm mất đi tính thẩm mỹ của hàm răng. Về lâu dài, bệnh lý này có thể gây ra tình trạng răng lung lay, làm gãy răng, thậm chí […]
Ngày: 07/03/2025 Mất răng là vấn đề phổ biến ở người cao tuổi, ảnh hưởng đến khả năng ăn nhai, thẩm mỹ và sức khỏe tổng thể. Hiện nay, các cơ sở nha khoa đã có nhiều phương pháp trồng răng cho người lớn tuổi, giúp lấy lại nụ cười tự tin và tận hưởng cuộc sống […]
Ngày: 07/03/2025 Implant giá rẻ ngày càng được nhiều người quan tâm vì chi phí thấp hơn so với mặt bằng chung. Tuy nhiên, đằng sau mức giá hấp dẫn này là những rủi ro tiềm ẩn về chất lượng vật liệu, tay nghề bác sĩ và độ an toàn khi phẫu thuật. Nếu lựa chọn sai […]
Ngày: 21/08/2025 Abutment implant là gì? Ưu điểm của Abutment Implant là gì? Abutment Implant là một phần quan trọng không thể thiếu trong quá trình trồng răng Implant, mang lại nhiều ưu điểm và đạt hiệu quả cao. Hãy cùng Nha Khoa Blossom tìm hiểu thông tin chi tiết về Abutment implant qua nội dung sau […]
Ngày: 07/03/2025