Sau khi phục hình răng sứ, một số khách hàng gặp phải tình trạng bọc sứ bị lệch khớp cắn, khiến việc ăn nhai trở nên khó khăn và gây cảm giác mỏi hàm, đau đầu. Đây là biến chứng không mong muốn, thường xuất phát từ sai lệch trong quá trình thiết kế hoặc lắp răng sứ. Nếu không được phát hiện và xử lý sớm, bọc sứ bị lệch khớp cắn có thể ảnh hưởng lâu dài đến khớp thái dương hàm và sức khỏe răng miệng. Bài viết dưới đây của Blossom – Nha khoa công nghệ cao Hàn Quốc sẽ giúp bạn hiểu rõ nguyên nhân, hậu quả và cách khắc phục an toàn.
1. Bọc sứ bị lệch khớp cắn, bị cộm là gì?
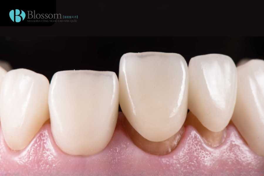
Bọc sứ bị lệch khớp cắn, bị cộm là tình trạng mão răng sứ sau khi gắn không nằm đúng vị trí sinh lý trên cung hàm, khiến răng sứ cao hơn, dày hơn hoặc không sát khít so với răng thật xung quanh. Khi đó, hai hàm không thể khép lại một cách tự nhiên, tạo cảm giác vướng, cộm khi ngậm miệng hoặc ăn nhai. Ngoài ra, nếu mão sứ không ôm khít cùi răng còn có thể hình thành khe hở, khiến thức ăn dễ giắt vào và gây khó chịu kéo dài. Đây là biến chứng thường gặp sau bọc răng sứ nếu quy trình thực hiện không chuẩn xác.

Bọc sứ bị lệch khớp cắn, bị cộm là tình trạng mão răng sứ sau khi gắn không nằm đúng vị trí
2. Dấu hiệu nhận biết bọc răng sứ bị lệch khớp cắn
Dấu hiệu điển hình nhất của bọc răng sứ bị lệch khớp cắn là cảm giác kênh, cộm, đau nhức hoặc mỏi hàm khi ăn nhai, đặc biệt rõ rệt khi ăn đồ cứng hoặc dai.
- Người bệnh có thể nhận thấy khó khép kín hai hàm, cắn không đều hoặc thường xuyên cắn phải má, lưỡi do răng sứ bị lệch ra ngoài hoặc vào trong.
- Một số trường hợp còn quan sát thấy khe hở giữa mão sứ và nướu, thức ăn dễ bị kẹt, kèm theo mùi hôi miệng.
- Nếu tình trạng kéo dài, răng sứ có thể bị lung lay, gây đau đầu, đau khớp thái dương hàm và thậm chí làm khuôn mặt mất cân đối nhẹ.

Người bệnh có thể nhận thấy khó khép kín hai hàm, cắn không đều
3. Nguyên nhân khiến bọc sứ bị lệch khớp cắn
Tình trạng bọc răng sứ bị lệch khớp cắn thường xuất phát từ nhiều nguyên nhân khác nhau, trong đó phổ biến nhất là yếu tố kỹ thuật và tay nghề bác sĩ:
- Tay nghề bác sĩ chưa chuẩn: Mài răng sai tỷ lệ, tính toán khớp cắn không chính xác
- Lấy dấu hàm không chính xác: Khiến mão sứ chế tác sai kích thước, quá cao hoặc quá dày
- Lắp mão sứ sai kỹ thuật: Răng sứ không sát khít, bị kênh hoặc hở
- Chất lượng răng sứ kém: Vật liệu không rõ nguồn gốc, dễ biến dạng, kém tương thích sinh học
- Không làm sạch răng kỹ trước khi bọc sứ: Cao răng, vi khuẩn còn sót lại gây cản trở độ khít
- Yếu tố từ người bệnh: Nghiến răng khi ngủ, thói quen nhai một bên, mất răng lâu năm chưa phục hình
Chính vì vậy, việc lựa chọn nha khoa uy tín, bác sĩ giàu kinh nghiệm và công nghệ phục hình chính xác đóng vai trò quyết định trong việc tránh biến chứng lệch khớp cắn sau bọc sứ.

Tay nghề bác sĩ chưa chuẩn, khi mài răng sai tỷ lệ, tính toán khớp cắn không chính xác
4. Bọc sứ bị lệch khớp cắn gây ảnh hưởng gì? Bọc sứ bị lệch khớp cắn có nguy hiểm không?
Bọc răng sứ bị lệch khớp cắn (kênh, cộm) là biến chứng nghiêm trọng, không chỉ gây khó chịu khi ăn nhai mà còn ảnh hưởng lâu dài đến sức khỏe răng miệng và cấu trúc hàm mặt nếu không xử lý kịp thời.
- Ảnh hưởng chức năng ăn nhai: Răng sứ bị cao hoặc lệch khiến hai hàm không khớp nhau, gây cộm, đau khi cắn nhai, ăn không ngon miệng, lâu ngày làm giảm hiệu quả nghiền nát thức ăn và ảnh hưởng đến hệ tiêu hóa.
- Gây mỏi hàm và rối loạn khớp thái dương hàm: Lực nhai phân bố không đều làm cơ hàm phải hoạt động quá mức, dẫn đến mỏi hàm, đau đầu, đau vùng thái dương và có thể xuất hiện tiếng kêu lục cục khi há – ngậm miệng.
- Tăng nguy cơ viêm nhiễm răng miệng: Khe hở giữa mão sứ và răng thật tạo điều kiện cho thức ăn giắt lại, tích tụ mảng bám, gây viêm nướu, hôi miệng và sâu răng thứ phát.
- Nguy hiểm cho răng thật bên trong: Khớp cắn sai làm lực dồn quá mức lên răng trụ, có thể gây nứt vỡ mão sứ, tổn thương cùi răng thật, viêm tủy hoặc thậm chí mất răng nếu kéo dài.
- Ảnh hưởng thẩm mỹ khuôn mặt: Lệch khớp cắn lâu ngày có thể làm khuôn mặt mất cân đối, lệch mặt nhẹ, nụ cười kém hài hòa và già hơn so với tuổi thật.

Bọc sứ bị lệch khớp cắn gây ảnh hưởng đến sức khỏe răng miệng và cấu trúc hàm
5. Giải pháp khắc phục bọc sứ bị lệch khớp cắn hiệu quả
Khi phát hiện răng sứ bị cộm hoặc đau nhức khi nhai, người bệnh cần đến nha khoa uy tín để bác sĩ kiểm tra và xử lý đúng nguyên nhân.
- Mài chỉnh khớp cắn: Với trường hợp lệch nhẹ, bác sĩ sẽ mài chỉnh một phần rất nhỏ trên mặt nhai răng sứ nhằm cân bằng lại khớp cắn, giúp ăn nhai dễ chịu hơn mà không cần tháo mão sứ.
- Tháo bỏ và làm lại mão sứ mới: Nếu mão sứ bị sai kích thước, sai khớp cắn nghiêm trọng hoặc không sát khít, bác sĩ sẽ tháo mão cũ, lấy lại dấu hàm chính xác và chế tác mão sứ mới phù hợp hơn.
- Điều trị tủy răng (nếu cần): Trường hợp răng sứ bị cộm kéo dài gây viêm, đau tủy răng thật, bác sĩ sẽ chỉ định điều trị tủy trước khi phục hình lại để tránh tái phát đau nhức.

Giải pháp khắc phục bọc sứ bị lệch khớp cắn hiệu quả
6. Quy trình bọc răng sứ chuẩn giúp tránh lệch khớp cắn
Một quy trình bọc răng sứ chuẩn, được thực hiện tại nha khoa uy tín, là yếu tố quan trọng giúp hạn chế tối đa nguy cơ lệch khớp cắn sau khi phục hình.
Thăm khám và kiểm tra khớp cắn tổng thể: Bác sĩ đánh giá tình trạng răng miệng, khớp cắn, thói quen ăn nhai và các yếu tố nguy cơ như nghiến răng trước khi chỉ định bọc sứ.
- Mài răng đúng tỷ lệ và lấy dấu hàm chính xác: Răng được mài theo tỷ lệ chuẩn, không xâm lấn quá mức, kết hợp lấy dấu hàm bằng công nghệ hiện đại (scan 3D/CAD-CAM) để mão sứ vừa khít từng micromet.
- Thử mão sứ và điều chỉnh khớp cắn: Trước khi gắn cố định, bác sĩ cho bệnh nhân cắn thử nhiều lần để kiểm tra độ cao, độ khít và điều chỉnh đến khi ăn nhai hoàn toàn thoải mái.
- Gắn răng sứ cố định và theo dõi sau điều trị: Mão sứ chỉ được gắn vĩnh viễn khi không còn cảm giác cộm, kênh, sau đó bệnh nhân được hẹn tái khám định kỳ để kiểm tra và điều chỉnh kịp thời nếu cần.

Gắn răng sứ cố định và theo dõi sau điều trị
Tình trạng bọc sứ bị lệch khớp cắn không chỉ ảnh hưởng đến cảm giác ăn nhai mà còn tiềm ẩn nhiều rủi ro cho khớp hàm nếu kéo dài. Nếu bạn cần tư vấn hoặc muốn tìm hiểu thêm các dịch vụ tại Nha khoa Blossom, hãy liên hệ ngay qua số HOTLINE 028.2210.3280 để được hỗ trợ tận tình và nhanh chóng!
Bài viết liên quan
Trong lĩnh vực cấy ghép Implant, máng hướng dẫn phẫu thuật 3D đang trở thành công cụ hỗ trợ tiên tiến, giúp bác sĩ xác định chính xác vị trí, góc và chiều sâu của Implant, từ đó nâng cao hiệu quả điều trị và giảm thiểu rủi ro. Công nghệ này không chỉ đảm […]
Ngày: 21/11/2025 Nhiều người quan tâm khi quyết định làm răng thẩm mỹ đều đặt câu hỏi: dán sứ không mài Lamifilm giữ được bao lâu? Đối với công nghệ dán sứ không mài Lamifilm độc quyền tại Blossom – Nha khoa công nghệ cao Hàn Quốc, đây là giải pháp dán sứ mỏng chỉ từ 0.1mm, […]
Ngày: 23/12/2025 Răng bị mòn mặt nhai là tình trạng khá phổ biến nhưng thường bị bỏ qua, dẫn đến nhiều ảnh hưởng nghiêm trọng về thẩm mỹ và sức khỏe răng miệng. Trong bài viết dưới đây, Blossom – Nha khoa công nghệ cao Hàn Quốc sẽ giúp bạn hiểu rõ nguyên nhân, tác hại của […]
Ngày: 01/07/2025 Một hàm răng nhỏ dễ dàng tố cáo khuyết điểm khuôn miệng khi cười nói. Chính vì vậy, nhiều người thường cảm thấy rất tự ti, e ngại trong giao tiếp khi sở hữu đặc điểm này. Trong nha khoa, răng nhỏ cũng là một trong những tình trạng răng cần sớm được cải thiện. […]
Ngày: 07/03/2025