Sau khi phục hình răng sứ, một số khách hàng gặp tình trạng bọc sứ bị chảy máu chân răng, kèm theo cảm giác đau nhức hoặc khó chịu khi ăn nhai. Đây là dấu hiệu khiến nhiều người lo lắng, không biết liệu có phải biến chứng nguy hiểm hay chỉ là phản ứng tạm thời sau điều trị. Thực tế, bọc sứ bị chảy máu chân răng có thể xuất phát từ nhiều nguyên nhân khác nhau, từ kỹ thuật thực hiện đến cách chăm sóc răng miệng sau khi bọc sứ. Bài viết dưới đây của Blossom – Nha khoa công nghệ cao Hàn Quốc sẽ giúp bạn hiểu rõ vấn đề này và cách xử lý đúng chuẩn y khoa.
1. Bọc sứ bị chảy máu chân răng là tình trạng gì? Có đáng lo không?
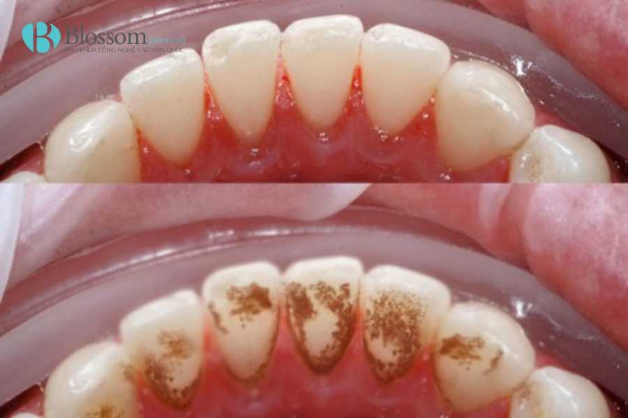
Bọc răng sứ bị chảy máu chân răng là dấu hiệu cho thấy mô nướu xung quanh răng đang bị kích ứng hoặc tổn thương. Tình trạng này thường liên quan đến viêm nướu, kỹ thuật mài răng không chuẩn, mão sứ lắp không khít sát viền nướu hoặc việc vệ sinh răng miệng chưa đúng cách, khiến mảng bám và vi khuẩn tích tụ.
Đây không phải hiện tượng bình thường sau khi bọc sứ và rất đáng lo ngại nếu kéo dài. Nếu không được phát hiện và xử lý sớm, chảy máu chân răng có thể tiến triển thành viêm nhiễm nặng hơn, gây tụt nướu, hôi miệng, hình thành ổ áp xe, tiêu xương hàm, làm suy yếu răng thật và rút ngắn tuổi thọ của răng sứ. Vì vậy, người bọc sứ khi gặp tình trạng này cần sớm thăm khám nha sĩ để xác định nguyên nhân chính xác và can thiệp kịp thời, tuyệt đối không nên chủ quan.

Bọc sứ bị chảy máu chân răng là dấu hiệu mô nướu bị kích ứng hoặc tổn thương
2. Nguyên nhân khiến bọc sứ bị chảy máu chân răng
2.1. Bệnh lý răng miệng chưa được điều trị dứt điểm
Trước khi bọc sứ, nếu các bệnh lý như viêm nướu, viêm nha chu, sâu răng, viêm tủy… chưa được xử lý triệt để, ổ viêm vẫn âm thầm tồn tại dưới mão sứ. Khi răng đã được bọc, vi khuẩn tiếp tục phát triển, gây sưng nướu, viêm nhiễm và chảy máu quanh chân răng sứ.
2.2. Kỹ thuật bọc răng sứ sai cách, xâm lấn nướu
Quá trình mài răng không đúng kỹ thuật, mài quá sâu hoặc xâm phạm “khoảng sinh học”, vùng mô nướu có vai trò bảo vệ răng sẽ khiến nướu bị tổn thương và dễ kích ứng. Ngoài ra, việc lắp mão sứ sai vị trí, viền sứ đặt quá sát hoặc chèn ép nướu cũng làm nướu viêm và chảy máu kéo dài.
2.3. Mão sứ kém chất lượng hoặc không khít sát viền nướu
Quá trình mài răng không đúng kỹ thuật, mài quá sâu hoặc xâm phạm “khoảng sinh học” – vùng mô nướu có vai trò bảo vệ răng – sẽ khiến nướu bị tổn thương và dễ kích ứng. Ngoài ra, việc lắp mão sứ sai vị trí, viền sứ đặt quá sát hoặc chèn ép nướu cũng làm nướu viêm và chảy máu kéo dài.
2.4. Chân răng bị nứt, gãy sau khi bọc sứ
Trong trường hợp răng thật đã yếu, có vết nứt hoặc gãy nhưng không được phát hiện và xử lý kỹ trước khi bọc sứ, lực nhai sẽ khiến tổn thương ngày càng nặng hơn. Điều này làm mô quanh chân răng trở nên nhạy cảm, dễ viêm nhiễm và dẫn đến chảy máu nướu.
2.5. Chăm sóc răng miệng không đúng cách sau khi bọc sứ
Thói quen chải răng quá mạnh, chải theo chiều ngang hoặc sử dụng bàn chải cứng có thể làm tổn thương nướu. Bên cạnh đó, việc vệ sinh răng miệng không đầy đủ, không dùng chỉ nha khoa hay tăm nước khiến mảng bám tích tụ quanh viền nướu, lâu ngày gây viêm và chảy máu chân răng sứ.

Nguyên nhân khiến bọc sứ bị chảy máu chân răng
3. Bọc sứ bị chảy máu chân răng kéo dài gây ra hậu quả gì?
Nếu tình trạng chảy máu chân răng sau khi bọc sứ diễn ra thường xuyên hoặc kéo dài, người bệnh có thể đối mặt với nhiều hậu quả nghiêm trọng, cụ thể như sau:
- Gây viêm nướu, viêm nha chu, tụt lợi, hình thành túi mủ, áp xe chân răng và tiêu xương hàm.
- Làm răng thật bên trong bị viêm nhiễm, viêm tủy, chết tủy và hư hại vĩnh viễn.
- Tăng nguy cơ mất răng vĩnh viễn khi mô nướu và xương hàm không còn khả năng nâng đỡ.
- Gây đau nhức, ê buốt, khó khăn trong ăn nhai, làm suy giảm chức năng nhai.
- Khiến ăn uống kém, nhai không kỹ, làm hệ tiêu hóa hoạt động nặng hơn và dễ rối loạn tiêu hóa.
- Ảnh hưởng tiêu cực đến sức khỏe toàn thân do tồn tại ổ viêm mạn tính trong khoang miệng.
- Gây mất thẩm mỹ răng miệng với biểu hiện tụt lợi, lộ chân răng, viền đen quanh răng sứ và hôi miệng.

Bọc sứ bị chảy máu chân răng gây lộ chân răng, viền đen quanh răng sứ và hôi miệng
4. Cách khắc phục tình trạng bọc sứ bị chảy máu chân răng hiệu quả
4.1. Điều trị triệt để các bệnh lý nướu – nha chu
- Cạo vôi răng, làm sạch mảng bám và vi khuẩn tích tụ quanh viền nướu, giúp nướu phục hồi và khỏe mạnh hơn.
- Điều trị dứt điểm các ổ viêm như viêm nướu, viêm nha chu, sâu răng, viêm tủy hoặc nhiễm trùng tiềm ẩn trước và sau khi bọc sứ.
- Can thiệp phẫu thuật khi cần thiết trong trường hợp viêm nặng, tụt lợi nhiều hoặc răng thật không còn khả năng bảo tồn.
4.2. Điều chỉnh hoặc thay mão sứ phục hình sai kỹ thuật
- Tháo bỏ mão sứ cũ nếu mão quá dài, không khít sát, gây chèn ép hoặc kích ứng nướu.
- Bọc lại răng sứ mới với chất liệu đạt chuẩn, tương thích sinh học và ôm sát viền nướu tự nhiên.
- Thực hiện mài răng đúng kỹ thuật, đảm bảo bảo tồn mô răng và khoảng sinh học của nướu.
4.3. Xây dựng chế độ chăm sóc răng miệng đúng chuẩn nha khoa
- Súc miệng nước muối ấm hoặc dung dịch chuyên dụng để sát khuẩn, giảm viêm và sưng nướu.
- Đánh răng nhẹ nhàng bằng bàn chải lông mềm, chải theo chiều dọc hoặc xoay tròn, tối thiểu 2 lần mỗi ngày.
- Sử dụng chỉ nha khoa hoặc tăm nước để loại bỏ thức ăn thừa quanh viền nướu và răng sứ.
- Bổ sung vitamin C và duy trì chế độ ăn uống lành mạnh để tăng sức đề kháng cho mô nướu.
4.4. Tái khám và theo dõi định kỳ theo chỉ định bác sĩ
- Thăm khám nha khoa định kỳ 6 tháng một lần để kiểm tra tình trạng nướu và răng sứ.
- Tuân thủ hướng dẫn của bác sĩ, không tự ý dùng thuốc và tránh tác động mạnh lên răng sứ để hạn chế tái viêm.

Cách khắc phục tình trạng bọc sứ bị chảy máu chân răng hiệu quả
5. Tiêu chí chọn nha khoa uy tín để tránh bọc sứ bị chảy máu chân răng
Để hạn chế tối đa nguy cơ chảy máu chân răng và các biến chứng sau khi bọc sứ, việc lựa chọn nha khoa uy tín là yếu tố then chốt. Một cơ sở nha khoa đáng tin cậy cần đáp ứng các tiêu chí sau:
- Bác sĩ có chuyên môn sâu về phục hình răng sứ, giàu kinh nghiệm lâm sàng và nắm vững kỹ thuật mài răng bảo tồn cũng như xử lý mô nướu.
- Thăm khám và điều trị triệt để các bệnh lý răng miệng như viêm nướu, viêm nha chu, sâu răng trước khi tiến hành bọc sứ.
- Ứng dụng công nghệ và trang thiết bị hiện đại, đảm bảo lấy dấu chính xác và chế tác mão sứ có độ khít sát cao.
- Sử dụng vật liệu răng sứ chất lượng, rõ nguồn gốc, tương thích sinh học tốt và an toàn cho mô nướu.
- Quy trình bọc sứ chuẩn nha khoa, tuân thủ nguyên tắc bảo tồn mô răng và không xâm phạm khoảng sinh học của nướu.
- Có chính sách theo dõi và tái khám định kỳ sau điều trị, kịp thời phát hiện và xử lý các vấn đề phát sinh.

Có chính sách theo dõi và tái khám định kỳ sau điều trị
Tình trạng bọc sứ bị chảy máu chân răng không nên chủ quan, bởi nếu kéo dài có thể ảnh hưởng đến nướu, xương hàm và tuổi thọ của răng sứ. Nếu bạn cần tư vấn hoặc muốn tìm hiểu thêm các dịch vụ tại Nha khoa Blossom, hãy liên hệ ngay qua số HOTLINE 028.2210.3280 để được hỗ trợ tận tình và nhanh chóng!
Bài viết liên quan
Răng thưa là một trong những khuyết điểm răng miệng phổ biến, khiến khuôn mặt trông thiếu cân đối và kém duyên. Hiện nay, dán răng thưa là phương pháp thẩm mỹ nha khoa được nhiều người lựa chọn để khắc phục tình trạng này một cách hiệu quả và nhanh chóng. Trong nội dung […]
Ngày: 07/03/2025 Răng hàm đóng vai trò quan trọng trong hệ thống ăn nhai, giúp nghiền nát thức ăn và hỗ trợ tiêu hóa. Việc thiếu đi những chiếc răng hàm do mất răng lâu năm sẽ dẫn đến nhiều hệ lụy nghiêm trọng, ảnh hưởng đến sức khỏe và chất lượng cuộc sống. Bài viết này […]
Ngày: 07/03/2025 Niềng răng trong suốt là gì? Giá niềng răng mắc cài trong suốt bao nhiêu? Niềng răng trong suốt là một trong những phương pháp niềng răng tiên tiến nhất hiện nay. Được thiết kế với khay trong suốt, phương pháp niềng răng này đảm bảo tính thẩm thẩm mỹ cao. Vậy niềng răng trong […]
Ngày: 17/10/2021 Cấy ghép trụ Implant là kỹ thuật tiên tiến giúp phục hồi răng đã mất và cải thiện vẻ đẹp thẩm mỹ cho răng miệng. Tuy nhiên, hiện nay có nhiều loại trụ Implant đến từ đa dạng thương hiệu với giá thành khác nhau. Vậy loại implant nào là tốt nhất và nên ưu tiên […]
Ngày: 07/03/2025