Trường hợp nào nên dán sứ không mài là câu hỏi được rất nhiều khách hàng quan tâm khi tìm hiểu về các phương pháp phục hình thẩm mỹ bảo tồn răng thật. Dán sứ không mài được xem là kỹ thuật ít xâm lấn, giữ gần như nguyên vẹn cấu trúc răng, đồng thời cải thiện màu sắc và hình dáng răng hiệu quả. Tuy nhiên, không phải ai cũng phù hợp với phương pháp này. Vậy trường hợp nào nên dán sứ không mài, ai có thể thực hiện và khi nào cần cân nhắc giải pháp khác? Cùng Blossom – Nha khoa công nghệ cao Hàn Quốc phân tích chi tiết trong bài viết dưới đây.
1. Trường hợp nào nên dán sứ không mài theo chỉ định nha khoa?
Dán sứ không mài thường được bác sĩ chỉ định cho các trường hợp răng có khuyết điểm nhẹ về thẩm mỹ nhưng vẫn đảm bảo nền răng khỏe mạnh. Phương pháp này đặc biệt phù hợp với người muốn cải thiện nụ cười mà vẫn bảo tồn tối đa răng thật, hạn chế đau và ê buốt.
Các trường hợp nên thực hiện gồm:
- Răng ố vàng, nhiễm màu nhẹ, khó cải thiện hoàn toàn bằng tẩy trắng.
- Răng thưa, hở kẽ nhỏ với khoảng cách không quá lớn.
- Răng sứt mẻ, mòn cạnh nhẹ hoặc có vết nứt nhỏ, chưa ảnh hưởng nhiều đến cấu trúc thân răng.
- Răng có hình thể chưa hài hòa như quá to, quá nhỏ, ngắn, dài hoặc không đều.
- Sai lệch khớp cắn mức độ nhẹ, chưa cần can thiệp chỉnh nha.
- Người mong muốn cải thiện thẩm mỹ nhưng không muốn mài răng nhiều.

Dán sứ không mài thường được bác sĩ chỉ định cho các trường hợp răng có khuyết điểm nhẹ
2. Những tình trạng răng phù hợp để dán sứ không mài
Để đạt hiệu quả tối ưu và đảm bảo độ bền lâu dài, răng cần đáp ứng một số điều kiện cơ bản trước khi thực hiện.
- Cụ thể, răng thật nên thẳng hàng tương đối, khớp cắn ổn định và không có sai lệch nghiêm trọng.
- Men răng cần còn khỏe, đủ độ dày để mặt sứ bám dính chắc chắn. Đồng thời, răng không mắc các bệnh lý nặng như sâu răng lớn, viêm tủy hoặc viêm nha chu tiến triển.
- Cung răng cũng cần hài hòa, không chen chúc quá mức để đảm bảo mặt dán sát khít và thẩm mỹ tự nhiên.

Men răng cần còn khỏe, đủ độ dày để mặt sứ bám dính chắc chắn
3. Trường hợp không nên dán sứ không mài để tránh rủi ro
Dán sứ không mài không phải là giải pháp phù hợp cho mọi tình trạng răng. Việc áp dụng sai chỉ định có thể làm giảm độ bền hoặc gây biến chứng về sau. Những trường hợp không nên thực hiện gồm:
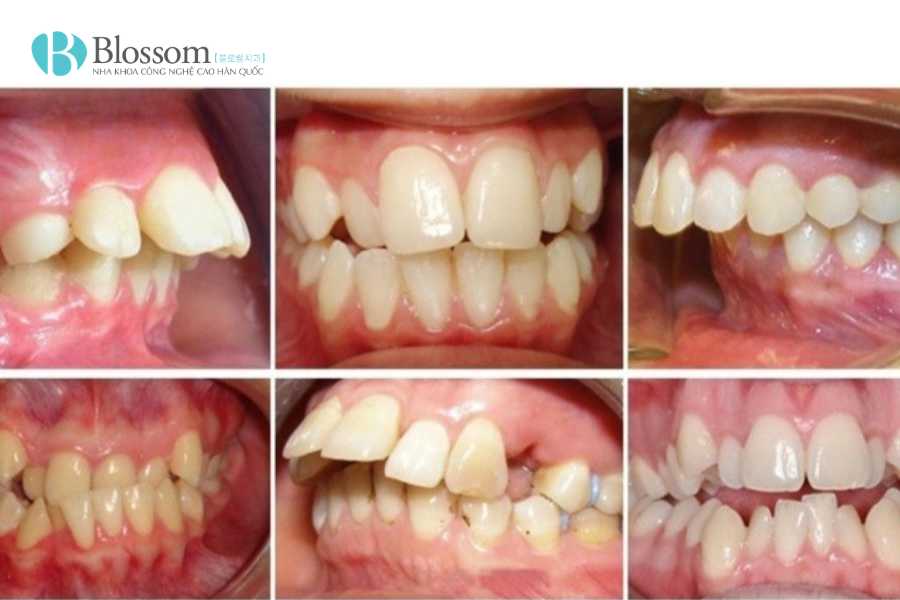
- Răng hô, móm, lệch lạc nặng hoặc chen chúc nhiều.
- Răng đang mắc bệnh lý như viêm nha chu nặng, sâu răng lớn, viêm tủy, răng lung lay.
- Răng nhiễm màu quá đậm mà lớp sứ siêu mỏng không đủ che phủ.
- Người có thói quen nghiến răng mạnh, dễ gây nứt hoặc bong mặt dán.
- Răng mòn men quá nhiều, không đủ điều kiện bám dính.
- Răng mẻ, vỡ lớn cần bọc sứ toàn phần để bảo vệ cấu trúc răng.
Để đảm bảo an toàn và hiệu quả lâu dài, bạn nên thăm khám trực tiếp tại nha khoa uy tín để được đánh giá và tư vấn phương án phù hợp với tình trạng răng cụ thể.

Răng hô, móm, lệch lạc nặng hoặc chen chúc nhiều.
4. Dán sứ không mài có thay thế bọc răng sứ hoặc niềng răng không?
Dán sứ không mài là giải pháp thẩm mỹ bảo tồn răng thật tối đa, nhưng không thể thay thế hoàn toàn bọc răng sứ hoặc niềng răng trong mọi trường hợp. Đối với bọc răng sứ, dán sứ không mài chỉ phù hợp khi răng còn khỏe, thưa nhẹ, ố vàng hoặc khuyết điểm nhỏ về hình thể. Trong khi đó, bọc sứ được chỉ định cho răng đã chết tủy, sâu lớn, gãy vỡ nhiều hoặc cần phục hồi chức năng ăn nhai và bảo vệ cấu trúc răng.
Đối với niềng răng, dán sứ không mài không thể thay thế khi có sai khớp cắn nặng, răng hô, móm hoặc lệch lạc nhiều. Phương pháp này chỉ hỗ trợ cải thiện thẩm mỹ ở mức độ nhẹ như che khe thưa nhỏ hoặc điều chỉnh hình dáng răng. Với các sai lệch nghiêm trọng, chỉnh nha vẫn là giải pháp điều trị nền tảng và bền vững.

Dán sứ không mài là giải pháp thẩm mỹ bảo tồn răng thật tối đa
5. Điều kiện cần trước khi quyết định dán sứ không mài
Để đảm bảo hiệu quả và độ bền lâu dài, răng cần đáp ứng một số điều kiện chuyên môn trước khi thực hiện.
- Thứ nhất, răng nên tương đối đều, thẳng hàng và không có sai khớp cắn nặng.
- Thứ hai, men răng phải còn tốt và đủ dày để tạo liên kết bền vững với vật liệu dán.
- Thứ ba, sức khỏe răng miệng cần ổn định, không có viêm nướu, bệnh nha chu hay sâu răng chưa điều trị.
Ngoài ra, phương pháp này phù hợp hơn với các trường hợp răng thưa nhẹ, kích thước răng không đều hoặc xỉn màu mức độ nhẹ đến trung bình.

Hình ảnh khách hàng dán sứ Lamifilm tại nha khoa Blossom
6. Lưu ý quan trọng để dán sứ không mài đạt hiệu quả thẩm mỹ lâu dài
Để duy trì vẻ đẹp tự nhiên và độ bền của mặt dán sứ, cần chú trọng từ khâu thực hiện đến chăm sóc sau điều trị.
- Lựa chọn nha khoa uy tín, bác sĩ tay nghề cao và công nghệ thiết kế hiện đại để đảm bảo mặt sứ chính xác, sát khít, không cấn cộm.
- Chải răng nhẹ nhàng bằng bàn chải lông mềm, kết hợp chỉ nha khoa hoặc máy tăm nước để làm sạch kẽ răng.
- Tránh dùng răng cắn vật cứng, hạn chế thực phẩm quá cứng hoặc quá dai.
- Hạn chế đồ ăn, thức uống có màu đậm để giữ bề mặt sứ luôn sáng đẹp.
- Tái khám định kỳ khoảng 6 tháng/lần để kiểm tra khớp cắn và độ bền của mặt dán sứ.

Hình ảnh khách hàng dán sứ Lamifilm tại nha khoa Blossom
Hiểu rõ trường hợp nào nên dán sứ không mài sẽ giúp bạn lựa chọn đúng phương pháp thẩm mỹ, tránh làm theo xu hướng mà không phù hợp với tình trạng răng thực tế. Nếu bạn cần tư vấn hoặc muốn tìm hiểu thêm các dịch vụ tại Nha khoa Blossom, hãy liên hệ ngay qua số HOTLINE 028.2210.3280 để được hỗ trợ tận tình và nhanh chóng!
Bài viết liên quan
Bạn đang cân nhắc bọc răng sứ giá rẻ như một giải pháp tiết kiệm cho nụ cười của mình? Tuy nhiên, liệu chi phí thấp có đi kèm với chất lượng an toàn và bền lâu? Hãy cùng Blossom – Nha khoa công nghệ cao Hàn Quốc tìm hiểu những rủi ro tiềm ẩn […]
Ngày: 21/05/2025 Dán răng sứ thẩm mỹ là phương pháp cải thiện tình trạng răng miệng hiệu quả được nhiều khách hàng ưa chuộng. Tuy nhiên, dán răng sứ có đau không luôn là băn khoăn của nhiều người trước khi thực hiện phẫu thuật. Để giúp bạn hiểu rõ hơn về dán răng sứ, cùng Nha […]
Ngày: 07/03/2025 Các bệnh về răng miệng thường gặp được rất nhiều người quan tâm tìm hiểu. Bởi không chỉ gây ra những đau đớn, khó chịu trong ăn uống, giao tiếp. Bệnh lý nha khoa nếu không được điều trị đúng phương pháp, kịp thời sẽ để lại nhiều biến chứng nguy hiểm, ảnh hưởng tới […]
Ngày: 07/03/2025 Ung thư khoang miệng là một trong những bệnh lý ác tính nguy hiểm, có thể xuất hiện ở môi, lưỡi, nướu, má trong hoặc vòm miệng. Bệnh thường tiến triển âm thầm, dễ bị nhầm lẫn với các vấn đề răng miệng thông thường nên nhiều người phát hiện muộn, gây khó khăn trong […]
Ngày: 10/11/2025