Nhiều khách hàng khi gặp tình trạng răng xỉn, ố vàng hay nhiễm màu kháng sinh thường băn khoăn răng nhiễm màu có dán sứ không mài được không. Với mong muốn cải thiện màu sắc mà vẫn giữ nguyên cấu trúc răng thật, giải pháp dán sứ không mài đang trở thành xu hướng thẩm mỹ hiện đại. Tuy nhiên, không phải trường hợp nhiễm màu nào cũng phù hợp với kỹ thuật này. Trong bài viết, Blossom – Nha khoa công nghệ cao Hàn Quốc sẽ giúp bạn hiểu rõ răng nhiễm màu có dán sứ không mài được không và các tiêu chí đánh giá chính xác nhất.
1. Răng nhiễm màu có dán sứ không mài được không? Đánh giá theo mức độ nhiễm màu
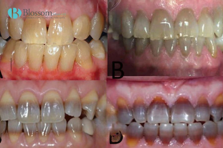
Răng nhiễm màu hoàn toàn có thể dán sứ không mài, tuy nhiên mức độ phù hợp còn tùy thuộc vào mức độ sậm màu và độ trong của men răng thật.
- Nhiễm màu nhẹ: Những trường hợp ố vàng nhẹ, xỉn màu do cà phê, thuốc lá hoặc nhiễm Tetracycline mức độ thấp rất lý tưởng để dán sứ không mài. Mặt sứ Lamifilm siêu mỏng chỉ 0.1mm vẫn đủ khả năng che màu và giữ nguyên gần như toàn bộ cấu trúc răng thật.
- Nhiễm màu trung bình đến nặng: Vẫn có thể áp dụng dán sứ không mài, nhưng ở những vùng răng có sắc tố quá đậm, bác sĩ có thể cần mài chỉnh cực nhẹ để tăng khả năng che phủ, đảm bảo màu răng lên đẹp và đồng đều.

Răng nhiễm màu có thể dán sứ không mài tùy thuộc chủ yếu vào mức độ nhiễm màu
2. Các trường hợp răng nhiễm màu có dán sứ không mài được không?
Không phải răng nhiễm màu nào cũng có thể dán sứ không mài. Một số yếu tố như nguyên nhân nhiễm màu và hình thể răng ảnh hưởng trực tiếp đến việc chọn phương pháp phù hợp.
2.1. Nhiễm Tetracycline
Với trường hợp răng nhiễm Tetracycline, bạn hoàn toàn có thể lựa chọn dán sứ không mài. Nhờ khả năng che phủ ưu việt, miếng sứ giúp kiểm soát độ trong – đục và hạn chế tối đa việc ánh màu xám ra bên ngoài.
Tuy nhiên, để đạt hiệu quả thẩm mỹ cao nhất, bạn cần thực hiện tại đơn vị uy tín với bác sĩ có kinh nghiệm chuyên sâu trong xử lý ca nhiễm màu nặng. Kỹ thuật thiết kế màu, độ dày và layer sứ là yếu tố quyết định kết quả cuối cùng
2.2. Hình thể răng xấu?
Trường hợp răng bị nhiễm màu đi kèm với hình thể răng không đều bạn sẽ không thể thực hiện dán sứ không mài:
- Răng hô, móm, vẩu nhiều: Lớp sứ không thể chỉnh được sai lệch nặng, có thể cần chỉnh nha (niềng răng) để xếp đều răng trước khi dán sứ không mài.
- Răng mòn nhiều, sứt mẻ lớn, gãy vỡ: Răng mất nhiều mô cứng sẽ không đủ bền để dán sứ không mài.

Các trường hợp răng nhiễm màu có thể và không thể dán sứ không mài
3. Ưu – nhược điểm khi răng nhiễm màu dán sứ không mài
3.1. Ưu điểm
Dán sứ không mài (Lamifilm) được xem là giải pháp hiện đại giúp răng nhiễm màu sáng đẹp tự nhiên mà vẫn bảo tồn tối đa răng thật.
- Bảo tồn răng thật tối đa vì hoàn toàn không mài răng tự nhiên.
- Thẩm mỹ tự nhiên, cải thiện hiệu quả tình trạng ố vàng và nhiễm màu.
- Không xâm lấn, nhẹ nhàng, không đau và phục hồi nhanh.
- Độ bền cao, chịu lực tốt và sử dụng lâu dài nếu chăm sóc đúng cách.
3.2. Nhược điểm
Tuy nhiên, không phải trường hợp nào cũng có thể áp dụng. Để bạn hiểu rõ hơn trước khi quyết định, dưới đây là những ưu – nhược điểm quan trọng của phương pháp này.
- Không phù hợp với răng hô nặng, vỡ lớn hoặc cấu trúc răng yếu.
- Chi phí cao hơn so với các phương pháp phục hình thông thường.
- Phụ thuộc nhiều vào tay nghề bác sĩ, dễ bong hở nếu thao tác sai.
- Có nguy cơ viêm nướu hoặc đổi màu viền nếu dán không khít sát.

Ưu – nhược điểm khi răng nhiễm màu dán sứ không mài
4. Quy trình thực hiện dán sứ không mài cho răng nhiễm màu
Quy trình dán sứ không mài cho răng nhiễm màu được thiết kế để mang lại thẩm mỹ tối đa mà vẫn bảo tồn gần như trọn vẹn răng thật. Mỗi bước đều thực hiện tỉ mỉ nhằm đảm bảo mặt sứ khít sát, màu tự nhiên và bền lâu.
1. Thăm khám & Tư vấn
Bác sĩ kiểm tra tổng quát răng miệng, chụp phim để đánh giá mức độ nhiễm màu, tình trạng men – nướu – xương. Sau đó tư vấn dáng răng, màu sứ phù hợp và thiết kế nụ cười bằng thông quá bước smile preview – xem trước nụ cười sau dán sứ trực tiếp trên răng thật.
2. Chuẩn bị răng & Lấy dấu
Tiến hành xử lý bề mặt răng để đảm bảo độ bám dán lý tưởng. Tiếp theo là lấy dấu bằng máy scan kỹ thuật số.
3. Chế tác mặt sứ & Gắn thử
Mẫu dấu được gửi về Labo để chế tác thủ công giúp mặt sứ siêu mỏng, có độ dày mỏng theo răng thật của khách hàng điều này đảm bảo dán sứ sẽ không cần phải can thiệp mài răng. Khi hoàn thiện, bác sĩ gắn thử để kiểm tra độ khít sát, màu sắc và hình thể; đồng thời điều chỉnh những điểm chưa phù hợp.
4. Dán cố định mặt sứ
Khi mọi thông số đạt chuẩn, bác sĩ sử dụng keo dán chuyên dụng để gắn cố định mặt sứ lên răng thật. Sau đó kiểm tra khớp cắn, đảm bảo ăn nhai tự nhiên, không cộm hoặc vướng.
5. Tái khám & Kiểm tra sau khi dán
Bạn được hẹn tái khám sau vài ngày để kiểm tra độ ổn định, vệ sinh viền nướu và tinh chỉnh khớp cắn nếu cần, giúp mặt sứ hoạt động bền vững và thoải mái lâu dài.
Quy trình nhẹ nhàng nhưng đòi hỏi bác sĩ có tay nghề cao để đảm bảo mặt sứ khít sát, không hở mép, không gây hôi miệng và giữ nụ cười trắng sáng tự nhiên cho bạn.

Quy trình thực hiện dán sứ không mài cho răng nhiễm màu
5. Câu hỏi thường gặp khi răng nhiễm màu dán sứ không mài
5.1. Răng nhiễm màu dán sứ không mài có bền không?
Có. Mặt dán sứ siêu mỏng có thể bền đến hơn 20 năm nếu được làm đúng kỹ thuật, dùng vật liệu chất lượng và chăm sóc tốt.
5.2. Răng nhiễm màu dán sứ không mài có đau không?
Dán sứ không mài cho răng nhiễm màu thường không đau hoặc rất ít đau/ê buốt vì phương pháp này chỉ tác động bề mặt men răng, không xâm lấn tủy, lại mỏng (chỉ 0.1mm) nên bảo tồn răng thật tối đa, nhưng cần bác sĩ tay nghề cao, trang thiết bị tốt để đảm bảo an toàn, hiệu quả thẩm mỹ và tránh ê buốt kéo dài do kỹ thuật sai.
5.3. Răng nhiễm màu dán sứ không mài có kiêng gì không?
Có. Bạn nên tránh đồ quá cứng, giữ vệ sinh răng miệng kỹ, dùng chỉ nha khoa mỗi ngày và tái khám định kỳ để duy trì độ bền và thẩm mỹ.

Mặt dán sứ siêu mỏng có thể bền đến hơn 20 năm
(Hình ảnh khách hàng dán sứ không mài Lamifilm tại nha khoa Blossom)
Việc xác định răng nhiễm màu có dán sứ không mài được không cần dựa trên mức độ nhiễm màu, cấu trúc răng và mong muốn thẩm mỹ của từng khách hàng. Nếu bạn cần tư vấn hoặc muốn tìm hiểu thêm về các dịch vụ tại Nha khoa Blossom, hãy liên hệ ngay qua số HOTLINE 028.2210.3280 để được hỗ trợ tận tình và nhanh chóng!
Bài viết liên quan
Răng sâu là vấn đề nha khoa phổ biến ảnh hưởng đến mọi lứa tuổi. Khi gặp phải tình trạng này, nhiều người băn khoăn không biết nên nhổ hay trám răng. Bài viết này sẽ cung cấp cho bạn thông tin chi tiết về 4 phương pháp trám răng bị sâu hiệu quả hiện […]
Ngày: 07/03/2025 Bạn đang tìm kiếm một phương pháp chỉnh nha hiệu quả, thẩm mỹ và ít đau? Hãy để Bác sĩ Kim Dong Hyun niềng Invisalign – chuyên gia chỉnh nha hàng đầu tại Blossom – Nha khoa công nghệ cao Hàn Quốc đồng hành cùng bạn. Với hơn 20 năm kinh nghiệm và đạt danh […]
Ngày: 29/07/2025 Tọa lạc tại 119 Võ Văn Tần, Phường Võ Thị Sáu, Quận 3, TP.HCM, Blossom Dental Clinic – Nha khoa công nghệ cao Hàn Quốc là một trong những địa chỉ nha khoa uy tín hàng đầu Việt Nam. Chúng tôi tiên phong trong việc ứng dụng công nghệ hiện đại vào điều trị, mang […]
Ngày: 01/04/2025 Răng thỏ là dáng răng được nhiều bạn trẻ yêu thích bởi nó mang đến vẻ đẹp trẻ trung, đáng yêu và thu hút. Răng thỏ mang ý nghĩa gì? Răng thỏ có đặc điểm nhận biết như thế nào? Cùng Nha Khoa Blossom tìm hiểu chi tiết hơn qua bài viết dưới đây nhé! […]
Ngày: 07/03/2025