Răng mọc lộn xộn có dán sứ không mài được không là câu hỏi phổ biến của những ai mong muốn sở hữu nụ cười đều đẹp nhưng e ngại niềng răng kéo dài. Với sự phát triển của công nghệ nha khoa hiện đại, dán sứ không mài đang trở thành lựa chọn được quan tâm nhờ khả năng cải thiện thẩm mỹ nhanh chóng và hạn chế xâm lấn. Vậy răng mọc lộn xộn có dán sứ không mài được không? Cùng Blossom – Nha khoa công nghệ cao Hàn Quốc tìm hiểu trong bài viết dưới đây nhé!
1. Răng mọc lộn xộn không đều là gì? Nguyên nhân và hậu quả của răng mọc lộn xộn
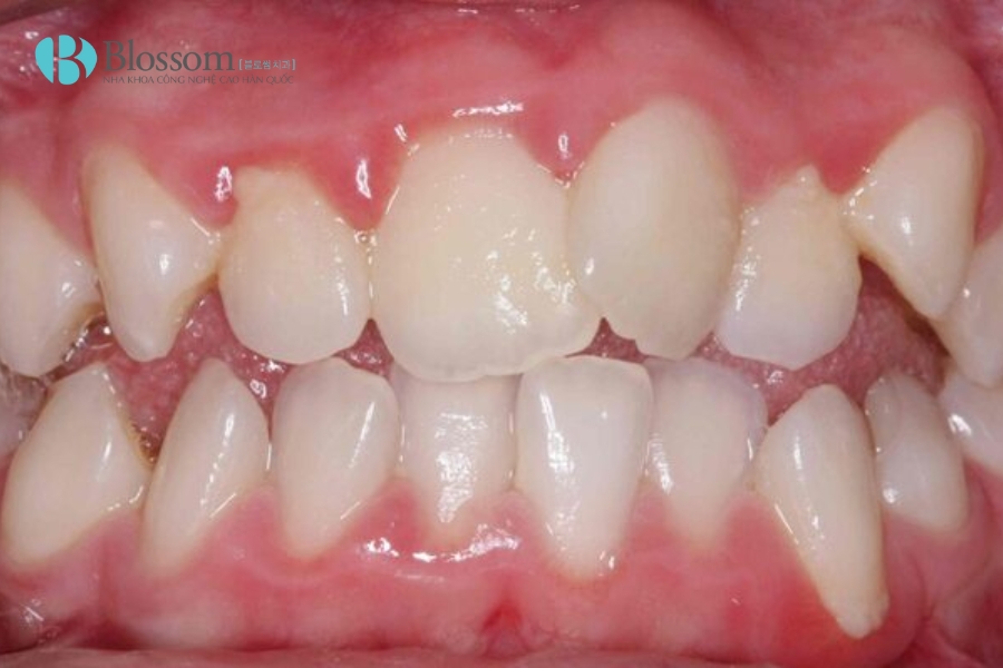
Răng mọc lộn xộn không đều là tình trạng các răng trên cung hàm không sắp xếp thẳng hàng và đúng vị trí như bình thường. Nguyên nhân chủ yếu là do cung hàm quá hẹp, không đủ khoảng trống để các răng mọc đều. Khi đó, răng có thể bị chen chúc, nghiêng lệch, xoay nhiều hướng, mọc thụt vào trong hoặc chìa ra ngoài. Trường hợp nghiêm trọng hơn, răng còn có thể mọc ngầm trong xương hàm, gây sai lệch khớp cắn, ảnh hưởng đến chức năng ăn nhai cũng như thẩm mỹ khuôn mặt.

Răng mọc lộn xộn không đều là tình trạng răng không thẳng hàng như bình thường
2. Nên dán sứ không mài, bọc sứ hay niềng răng cho răng mọc lộn xộn?
Đối với răng mọc lộn xộn, việc lựa chọn phương pháp điều trị cần dựa vào mức độ lệch lạc của răng.
- Niềng răng là giải pháp hiệu quả và toàn diện nhất, giúp sắp xếp răng về đúng vị trí, khắc phục sai khớp cắn và bảo tồn răng thật, đặc biệt phù hợp khi răng lệch nhiều.
- Bọc răng sứ chỉ phù hợp với các trường hợp răng lộn xộn mức độ nhẹ, kèm theo những khuyết điểm về thẩm mỹ như răng xỉn màu, ố vàng hoặc sứt mẻ. Tuy nhiên, phương pháp này chủ yếu có tác dụng che phủ bề mặt răng, không giúp nắn chỉnh hay sắp xếp lại vị trí răng trên cung hàm. Nhược điểm lớn của bọc răng sứ là phải mài răng gốc khá nhiều, có thể lên đến khoảng 50–60% mô răng, dễ gây ê buốt, ảnh hưởng đến độ bền răng thật về lâu dài và tiềm ẩn nguy cơ phải điều trị tủy nếu thực hiện không đúng kỹ thuật.
- Răng mọc lộn xộn có thể dán sứ không mài được, tuy nhiên phương pháp này chỉ phù hợp với những trường hợp lệch lạc nhẹ, răng chen chúc ít, răng thưa nhẹ hoặc hình dáng răng chưa hài hòa. Khi đó, dán sứ không mài giúp cải thiện nhanh thẩm mỹ, bảo tồn tối đa men răng và không cần can thiệp chỉnh nha phức tạp.
Ngược lại, với răng lệch nhiều, chen chúc nặng hoặc sai khớp cắn rõ rệt, dán sứ không mài không phải giải pháp phù hợp vì không thể xử lý được nguyên nhân gốc rễ. Trong những trường hợp này, niềng răng vẫn là phương pháp tối ưu để sắp xếp răng về đúng vị trí và chuẩn khớp cắn, sau đó mới có thể cân nhắc dán sứ không mài để hoàn thiện thẩm mỹ. Một số người lựa chọn bọc sứ mài răng để tiết kiệm thời gian, tuy nhiên phương pháp này xâm lấn nhiều mô răng thật và cần được cân nhắc kỹ lưỡng dưới sự tư vấn của bác sĩ chuyên môn.

Nên dán sứ không mài, bọc sứ hay niềng răng
3. Răng mọc lộn xộn dán sứ không mài Lamifilm có bền không?
Dán sứ không mài Lamifilm là giải pháp thẩm mỹ hiện đại, mang lại hiệu quả cao cho những trường hợp răng mọc lộn xộn mức độ nhẹ. Với chất liệu sứ cao cấp châu Âu siêu mỏng nhưng bền chắc, Lamifilm có thể đạt tuổi thọ trung bình lên đến 20 năm, thậm chí lâu hơn nếu được chăm sóc đúng cách.
Khi được thực hiện bởi bác sĩ tay nghề cao và áp dụng đúng chỉ định, Lamifilm giúp cải thiện nhanh chóng hình dáng, màu sắc răng mà vẫn bảo tồn tối đa răng thật. Đặc biệt, trong trường hợp răng lệch ít, khớp cắn ổn định và vệ sinh răng miệng khoa học, lực ăn nhai được phân bố đều sẽ giúp mặt dán duy trì độ bền lâu dài, mang lại nụ cười tự nhiên và hài hòa.

Dán sứ không mài Lamifilm có thể đạt tuổi thọ lên đến 20 năm
4. Quy trình và kết quả dán sứ không mài Lamifilm răng mọc lộn xộn
Quy trình dán sứ không mài Lamifilm tại Nha khoa Blossom được xây dựng theo tiêu chuẩn thẩm mỹ nha khoa Hàn Quốc, tập trung tối đa vào việc bảo tồn răng gốc và mang lại hiệu quả thẩm mỹ tự nhiên trong thời gian ngắn. Phương pháp này hầu như không cần mài răng hoặc chỉ xử lý bề mặt rất mỏng, giúp hạn chế xâm lấn và bảo vệ men răng tối đa.
Bước 1: Thăm khám & tư vấn chuyên sâu
Bác sĩ chuyên môn trực tiếp kiểm tra tình trạng răng miệng, đánh giá mức độ phù hợp với dán sứ không mài Lamifilm và tư vấn phương án điều trị tối ưu. Khách hàng được giải thích rõ về ưu điểm của phương pháp như không đau, không ê buốt và giữ nguyên cấu trúc răng thật.
Bước 2: Thiết kế nụ cười với công nghệ Smile Preview
Ứng dụng công nghệ Smile Preview, bác sĩ mô phỏng trước kết quả nụ cười mới ngay trên răng thật. Khách hàng có thể xem trước hình dáng, màu sắc răng sau khi dán sứ và điều chỉnh theo mong muốn trước khi tiến hành.

Thăm khám, tư vấn chuyên sâu và thiết kế nụ cười với công nghệ Smile Preview
Bước 3: Chế tác sứ Lamifilm siêu mỏng thủ công
Dựa trên thiết kế đã thống nhất, miếng sứ Lamifilm siêu mỏng chỉ khoảng 0.1mm được chế tác thủ công tại labo. Độ dày của sứ được cá nhân hóa theo từng vùng răng nhằm đảm bảo độ ôm sát, tự nhiên và hài hòa với toàn hàm.

Răng được vệ sinh kỹ lưỡng, xử lý bề mặt rất mỏng hoặc không cần mài
Bước 4: Gắn sứ Lamifilm & hoàn thiện
Mặt dán sứ sau khi hoàn thiện được gắn trực tiếp lên bề mặt răng bằng keo nha khoa chuyên dụng và đèn chiếu chuyên biệt. Bác sĩ kiểm tra lại khớp cắn, màu sắc và tính thẩm mỹ tổng thể, đồng thời hướng dẫn chăm sóc và hẹn lịch tái khám khi cần thiết.
Nhờ quy trình bài bản, nhẹ nhàng và cá nhân hóa, dán sứ không mài Lamifilm tại Nha khoa Blossom giúp cải thiện nụ cười nhanh chóng, tự nhiên mà vẫn đảm bảo an toàn và độ bền lâu dài cho răng thật.

Mặt dán sứ Lamifilm siêu mỏng chỉ 0.1mm
Sau khi hoàn tất, răng trở nên đều đẹp, trắng sáng tự nhiên, khắc phục hiệu quả tình trạng răng lộn xộn nhẹ, ố màu, sứt mẻ hay răng thưa. Phương pháp này giúp bảo tồn tối đa răng thật, hầu như không gây đau hay ê buốt, mang lại cảm giác ăn nhai tự nhiên như răng thật. Toàn bộ quá trình diễn ra nhanh chóng, chỉ sau 2–3 lần hẹn, là giải pháp thẩm mỹ hiện đại cho những ai mong muốn cải thiện nụ cười mà không cần trải qua chỉnh nha phức tạp.
Vậy bạn đã có câu trả lời cho thắc mắc răng mọc lộn xộn có dán sứ không mài được không? Nếu bạn cần tư vấn hoặc muốn tìm hiểu thêm các dịch vụ tại Nha khoa Blossom, hãy liên hệ ngay qua số HOTLINE 028.2210.3280 để được hỗ trợ tận tình và nhanh chóng!
Bài viết liên quan
Nhiều khách hàng hiện nay quan tâm đến giải pháp thẩm mỹ răng hiện đại và đặt câu hỏi: review dán sứ không mài Lamifilm có thật sự bền và hiệu quả như lời đồn hay không? Dán sứ không mài là phương pháp phục hình răng thẩm mỹ siêu mỏng 0.1mm, bảo tồn tối […]
Ngày: 08/12/2025 Mặc dù không trực tiếp gây ra cảm giác đau đớn cho răng miệng. Tuy nhiên, bệnh mòn cổ chân răng lại là nguyên nhân chính làm mất đi tính thẩm mỹ của hàm răng. Về lâu dài, bệnh lý này có thể gây ra tình trạng răng lung lay, làm gãy răng, thậm chí […]
Ngày: 07/03/2025 Bạn đang tìm kiếm một phương pháp chỉnh nha hiệu quả, thẩm mỹ và ít đau? Hãy để Bác sĩ Kim Dong Hyun niềng Invisalign – chuyên gia chỉnh nha hàng đầu tại Blossom – Nha khoa công nghệ cao Hàn Quốc đồng hành cùng bạn. Với hơn 20 năm kinh nghiệm và đạt danh […]
Ngày: 29/07/2025 Răng bị mòn mặt nhai là tình trạng khá phổ biến nhưng thường bị bỏ qua, dẫn đến nhiều ảnh hưởng nghiêm trọng về thẩm mỹ và sức khỏe răng miệng. Trong bài viết dưới đây, Blossom – Nha khoa công nghệ cao Hàn Quốc sẽ giúp bạn hiểu rõ nguyên nhân, tác hại của […]
Ngày: 01/07/2025