Mẻ răng cửa là tình trạng nhiều người gặp phải do va chạm, tai nạn hoặc thói quen ăn nhai không đúng cách. Dù chỉ là một mảnh răng nhỏ bị vỡ, nhưng mẻ răng cửa có thể ảnh hưởng đáng kể đến thẩm mỹ khuôn mặt, khiến nụ cười trở nên kém tự nhiên. Không ít người băn khoăn mẻ răng cửa có sao không và liệu có cần điều trị sớm hay không. Trong bài viết này, Blossom – Nha khoa công nghệ cao Hàn Quốc sẽ giúp bạn hiểu rõ nguyên nhân, mức độ ảnh hưởng và các giải pháp khắc phục mẻ răng cửa hiệu quả hiện nay.
1. Mẻ răng cửa có sao không? Nguyên nhân khiến răng cửa bị mẻ
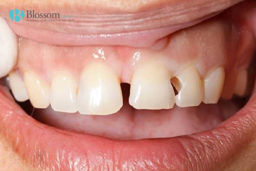
Mẻ răng cửa là tình trạng không nên chủ quan, bởi răng cửa nằm ở vị trí trung tâm của hàm răng, ảnh hưởng trực tiếp đến thẩm mỹ khuôn mặt và chức năng ăn nhai. Khi răng cửa bị mẻ, nụ cười trở nên kém hài hòa, khiến nhiều người mất tự tin trong giao tiếp.
Không chỉ dừng lại ở yếu tố thẩm mỹ, vết mẻ còn làm lộ lớp ngà răng hoặc tủy răng, gây cảm giác ê buốt, đau nhức khi ăn uống đồ nóng, lạnh, chua hoặc ngọt. Nếu không được xử lý kịp thời, vi khuẩn dễ xâm nhập qua vùng tổn thương, làm tăng nguy cơ sâu răng, viêm tủy, viêm nha chu, áp xe răng, thậm chí dẫn đến mất răng vĩnh viễn. Ngoài ra, cạnh răng bị mẻ thường sắc nhọn, có thể gây trầy xước môi, má hoặc lưỡi, ảnh hưởng đến sinh hoạt hằng ngày.

Mẻ răng cửa có thể gây sâu răng, viêm tủy, viêm nha chu, áp xe răng
2. Mẻ răng cửa phải làm sao? Các phương pháp điều trị hiệu quả
2.1 Trám răng cửa bị mẻ
Trám răng cửa bị mẻ (hàn răng) là phương pháp sử dụng vật liệu Composite có màu sắc tương đồng với răng thật để phục hồi phần răng bị sứt mẻ. Phương pháp này thường được áp dụng cho các trường hợp răng mẻ nhỏ, vỡ nhẹ, chưa ảnh hưởng đến tủy răng. Ưu điểm của trám răng là thời gian thực hiện nhanh, chỉ khoảng 20–30 phút, không cần mài răng và chi phí tương đối thấp. Tuy nhiên, vật liệu trám có độ bền không cao, dễ bong tróc hoặc đổi màu sau 3–5 năm sử dụng, đặc biệt nếu thường xuyên ăn nhai đồ cứng.
2.2 Bọc răng sứ
Bọc răng sứ là phương pháp phục hình được chỉ định khi răng cửa bị mẻ lớn, vỡ trên 1/3 thân răng, răng đã chữa tủy hoặc cấu trúc răng yếu. Bác sĩ sẽ mài một phần răng thật để tạo cùi, sau đó chụp mão răng sứ lên trên nhằm bảo vệ răng và khôi phục hình dáng ban đầu. Ưu điểm của bọc răng sứ là độ bền cao (10–20 năm), khả năng chịu lực tốt và mang lại thẩm mỹ gần như tuyệt đối. Tuy nhiên, phương pháp này bắt buộc phải mài răng thật và không thể phục hồi nguyên trạng ban đầu.
3.3 Dán sứ không mài
Dán sứ không mài Lamifilm là giải pháp phục hình thẩm mỹ hiện đại, phù hợp với các trường hợp răng cửa bị mẻ ở mức độ nhẹ đến trung bình và mong muốn bảo tồn răng thật tối đa. Bác sĩ sẽ dán một lớp sứ siêu mỏng chỉ 0.01mm lên bề mặt trước của răng để che vết mẻ và cải thiện màu sắc, hình dáng răng. Ưu điểm nổi bật của phương pháp này là không cần mài răng, tính thẩm mỹ cao và màu sắc tự nhiên.

Dán sứ không mài Lamifilm là giải pháp phục hình thẩm mỹ hiện đại
3. So sánh các phương pháp trám – bọc sứ – dán sứ
Khi so sánh các phương pháp điều trị mẻ răng cửa, có thể thấy mỗi giải pháp đều có giá trị nhất định, tuy nhiên dán sứ Lamifilm đang được đánh giá là công nghệ vượt trội, đặc biệt với những khách hàng ưu tiên bảo tồn răng thật và thẩm mỹ tự nhiên lâu dài.
Trám răng Composite là phương pháp đơn giản và tiết kiệm chi phí, phù hợp với vết mẻ nhỏ. Tuy nhiên, độ bền thấp, dễ bong tróc và đổi màu sau vài năm khiến trám răng chỉ mang tính giải pháp tạm thời, khó đáp ứng nhu cầu thẩm mỹ cao ở vùng răng cửa.
Bọc răng sứ mang lại độ bền và khả năng chịu lực tốt, phù hợp với răng mẻ lớn hoặc răng đã điều trị tủy. Dù vậy, phương pháp này đòi hỏi mài răng thật khá nhiều (0,5–1,5mm), mang tính xâm lấn và không thể phục hồi lại cấu trúc răng ban đầu. Với những người sợ mài răng hoặc mong muốn bảo tồn răng gốc, đây là một hạn chế lớn.
Trong khi đó, dán sứ không mài Lamifilm được xem là bước tiến mới trong phục hình thẩm mỹ răng cửa. Lamifilm là công nghệ dán sứ tiên tiến từ Hàn Quốc, nổi bật với mặt sứ siêu mỏng chỉ khoảng 0,1 mm, cho phép dán trực tiếp lên răng mà không cần mài hoặc chỉ mài tối thiểu. Nhờ đó, men răng và tủy răng được bảo tồn gần như nguyên vẹn, hạn chế tối đa cảm giác đau hay ê buốt trong và sau điều trị.

Dán sứ không mài Lamifilm nổi bật với mặt sứ siêu mỏng chỉ khoảng 0,1 mm
Không chỉ vượt trội về mức độ bảo tồn răng thật, Lamifilm còn mang lại tính thẩm mỹ rất cao. Mặt sứ có độ trong và khả năng phản quang tự nhiên, giúp răng trông giống răng thật, không bị trắng đục hay “giả”. Màu sắc và hình thể răng được cá nhân hóa theo từng khuôn mặt, mang lại nụ cười hài hòa và tinh tế.
Về hiệu quả phục hình, dán sứ Lamifilm có khả năng khắc phục tốt các khuyết điểm thường gặp ở răng cửa như mẻ nhỏ, mòn men, răng thưa nhẹ, răng ố vàng, nhiễm màu hoặc hình thể răng không cân đối – những trường hợp mà trám răng khó bền và bọc sứ lại quá xâm lấn.
Quy trình dán sứ Lamifilm cũng là một ưu điểm lớn khi chỉ cần khoảng 2 lần hẹn, không phẫu thuật, không gây tê, giúp khách hàng tiết kiệm thời gian nhưng vẫn đạt hiệu quả thẩm mỹ cao. Đồng thời, vật liệu sứ cao cấp giúp Lamifilm có độ bền và khả năng chịu lực tốt, duy trì màu sắc ổn định trong nhiều năm nếu được chăm sóc đúng cách.

Dán sứ không mài Lamifilm nổi bật với có khắc phục tốt các khuyết điểm
4. Chăm sóc và phòng tránh mẻ răng cửa tái phát
Sau khi điều trị mẻ răng cửa, việc chăm sóc đúng cách đóng vai trò quan trọng trong việc duy trì độ bền và thẩm mỹ lâu dài. Người bệnh nên hạn chế tối đa việc ăn nhai các loại thực phẩm quá cứng như đá viên, xương, kẹo cứng hoặc sử dụng răng để cắn mở nắp chai, xé bao bì. Vệ sinh răng miệng cần được thực hiện nhẹ nhàng nhưng kỹ lưỡng, ưu tiên bàn chải lông mềm, kết hợp chỉ nha khoa và nước súc miệng để giữ răng và bề mặt sứ luôn sạch, sáng bóng.
Với những người có thói quen nghiến răng khi ngủ, việc đeo máng chống nghiến là giải pháp cần thiết để bảo vệ răng thật và phục hình sứ khỏi lực nhai quá mức. Ngoài ra, nên thăm khám nha khoa định kỳ 6 tháng/lần để bác sĩ kiểm tra tình trạng răng, độ khít sát của miếng dán hoặc mão sứ và kịp thời xử lý nếu có dấu hiệu bất thường, giúp ngăn ngừa mẻ răng tái phát.

Chăm sóc và phòng tránh mẻ răng cửa tái phát
5. Các câu hỏi thường gặp
5.1 Vì sao nên chọn dán sứ cho răng cửa bị mẻ?
Dán sứ Lamifilm được đánh giá là giải pháp tối ưu cho răng cửa bị mẻ nhẹ đến trung bình nhờ khả năng phục hồi thẩm mỹ vượt trội mà vẫn bảo tồn tối đa răng thật. Mặt sứ Lamifilm siêu mỏng (khoảng 0.1 mm) có độ trong và phản quang tương tự men răng tự nhiên, giúp che phủ hoàn toàn vết mẻ mà không tạo cảm giác “giả” hay trắng đục. Khác với bọc răng sứ truyền thống phải mài nhiều mô răng, Lamifilm hoàn toàn không mài, nhờ đó bảo vệ men răng và tủy răng gốc, không gây ê buốt sau điều trị. Đây là lựa chọn đặc biệt phù hợp cho những khách hàng chú trọng thẩm mỹ, sợ mài răng và mong muốn giải pháp nhẹ nhàng nhưng hiệu quả lâu dài.
5.2 Dán sứ không mài khi bị mẻ răng cửa có bền không?
Trên thực tế, dán sứ Lamifilm có độ bền cao nếu được thực hiện đúng kỹ thuật và chăm sóc đúng cách. Lamifilm sử dụng vật liệu sứ cao cấp kết hợp keo dán nha khoa chuyên dụng, cho khả năng bám dính chắc chắn trên bề mặt răng thật, chịu được lực ăn nhai sinh lý hằng ngày. Tuổi thọ của mặt dán sứ Lamifilm có thể kéo dài từ 15 – 20 năm, thậm chí lâu hơn nếu người bệnh duy trì thói quen ăn uống lành mạnh và tái khám định kỳ. Yếu tố quan trọng quyết định độ bền chính là tay nghề bác sĩ và quy trình dán sứ chuẩn, đảm bảo mặt sứ ôm khít, không bong tróc và không gây ê buốt.
5.3 Nên chọn loại nào cho răng cửa bị mẻ?
Việc lựa chọn phương pháp phục hình phụ thuộc vào mức độ mẻ răng và nhu cầu thẩm mỹ của từng người. Với các trường hợp răng cửa bị mẻ nhỏ, sứt cạnh, thưa nhẹ hoặc xỉn màu, dán sứ Lamifilm là lựa chọn ưu tiên nhờ tính thẩm mỹ cao, không xâm lấn và bảo tồn răng gốc tối đa. Trong khi đó, bọc răng sứ thường chỉ được chỉ định khi răng mẻ quá lớn, vỡ sâu sát tủy hoặc cấu trúc răng yếu cần bao phủ toàn diện để bảo vệ. Do đó, để đảm bảo hiệu quả và an toàn lâu dài, khách hàng nên thăm khám tại nha khoa uy tín để được bác sĩ đánh giá chính xác tình trạng răng và tư vấn giải pháp phù hợp, trong đó Lamifilm là hướng đi lý tưởng nếu mục tiêu là đẹp tự nhiên – không mài răng – bền vững lâu dài.

Việc lựa chọn phương pháp phục hình phụ thuộc vào mức độ mẻ răng và nhu cầu thẩm mỹ
Tình trạng mẻ răng cửa không nên xem nhẹ, bởi nếu không được xử lý kịp thời có thể dẫn đến ê buốt, sâu răng hoặc viêm tủy về sau. Nếu bạn cần tư vấn hoặc muốn tìm hiểu thêm các dịch vụ tại Nha khoa Blossom, hãy liên hệ ngay qua số HOTLINE 028.2210.3280 để được hỗ trợ tận tình và nhanh chóng!
Bài viết liên quan
Trong quá trình niềng răng trong suốt, việc chăm sóc và vệ sinh khay niềng đúng cách đóng vai trò rất quan trọng để duy trì hiệu quả chỉnh nha cũng như bảo vệ sức khỏe răng miệng. Tuy nhiên, không phải ai cũng biết cách vệ sinh khay niềng đúng chuẩn để giữ khay […]
Ngày: 21/05/2026 Tình trạng mẻ răng cửa thường xảy ra bất ngờ bởi tác động ngoại lực cực mạnh vào hàm răng. Vậy, khi bị mẻ răng cửa phải làm sao? Bạn nên xử lý như thế nào để hạn chế tối đa thương tổn cho các răng còn lại? Những lời khuyên từ bác sĩ nha […]
Ngày: 07/03/2025 Làm răng sứ không mài là kỹ thuật nha khoa hiện đại giúp giảm tối thiểu các xâm lấn đến răng thật, độ che phủ tốt và độ tự nhiên đạt gần như hoàn hảo. Vậy thực tế làm răng sứ không mài có thực sự tốt không? Hãy cùng Nha Khoa Blossom tìm hiểu […]
Ngày: 07/03/2025 Mặc dù không trực tiếp gây ra cảm giác đau đớn cho răng miệng. Tuy nhiên, bệnh mòn cổ chân răng lại là nguyên nhân chính làm mất đi tính thẩm mỹ của hàm răng. Về lâu dài, bệnh lý này có thể gây ra tình trạng răng lung lay, làm gãy răng, thậm chí […]
Ngày: 07/03/2025