Không chỉ đơn thuần là làm trắng hay đều răng, dán sứ thay đổi khuôn mặt là chủ đề được nhiều người quan tâm khi tìm hiểu về nha khoa thẩm mỹ hiện đại. Sự thay đổi về hình dáng, tỷ lệ và đường cười có thể tác động trực tiếp đến tổng thể gương mặt, giúp gương mặt trở nên hài hòa và trẻ trung hơn. Trong bài viết này, Blossom – Nha khoa công nghệ cao Hàn Quốc sẽ phân tích rõ dán sứ thay đổi khuôn mặt như thế nào dưới góc nhìn chuyên môn, giúp bạn hiểu đúng và có lựa chọn thẩm mỹ phù hợp.
1. Dán sứ là gì? Vì sao dán sứ có thể tác động đến khuôn mặt?
Dán sứ là phương pháp thẩm mỹ nha khoa sử dụng các mặt dán sứ siêu mỏng (khoảng 0.3 – 0.5mm), gắn cố định lên mặt ngoài răng thật bằng vật liệu kết dính chuyên dụng. Kỹ thuật này chỉ can thiệp rất ít vào mô răng, giúp bảo tồn răng thật tối đa, hạn chế ê buốt và duy trì sức khỏe răng lâu dài.
Dán sứ được chỉ định trong các trường hợp răng xỉn màu, nhiễm màu, mòn cạnh, nứt mẻ nhẹ, răng thưa hoặc lệch lạc mức độ nhẹ – những khuyết điểm ảnh hưởng trực tiếp đến thẩm mỹ nụ cười. Lý do dán sứ có thể tác động đến khuôn mặt là vì hàm răng giữ vai trò trung tâm trong cấu trúc thẩm mỹ vùng mặt dưới. Khi hình dáng, màu sắc và tỷ lệ răng được cải thiện, nụ cười thay đổi, từ đó kéo theo sự thay đổi về biểu cảm, thần thái và cảm nhận tổng thể khuôn mặt.

Dán sứ là phương pháp thẩm mỹ nha khoa sử dụng các mặt dán sứ siêu mỏng
2. Dán sứ thay đổi khuôn mặt ra sao theo cơ chế nha khoa thẩm mỹ?
Theo cơ chế nha khoa thẩm mỹ, dán sứ tác động đến khuôn mặt thông qua việc điều chỉnh tỷ lệ răng – môi – hàm, chứ không làm thay đổi cấu trúc xương.
- Điều chỉnh hình dáng và chiều dài răng: Khi răng được thiết kế hài hòa về độ dài, độ rộng và trục răng, khuôn miệng trở nên cân đối hơn, giúp khuôn mặt trông gọn gàng và thanh thoát.
- Cải thiện sự nâng đỡ môi và cơ quanh miệng: Răng đều và đúng tỷ lệ giúp môi được nâng đỡ tốt hơn, giảm cảm giác hõm, móm nhẹ hoặc mệt mỏi ở vùng miệng.
- Tối ưu đường cười (smile line): Đường cười cong mềm mại, đồng bộ với môi dưới tạo cảm giác trẻ trung, tươi tắn và tự nhiên hơn khi giao tiếp.
Tăng độ sáng tổng thể khuôn mặt: Màu răng trắng trong, tự nhiên giúp khuôn mặt trông sáng sủa, rạng rỡ và có sức sống hơn.

Dán sứ thay đổi khuôn mặt thông qua việc điều chỉnh tỷ lệ răng – môi – hàm
3. Những thay đổi tích cực về gương mặt sau khi dán sứ đúng kỹ thuật
Khi dán sứ được thực hiện đúng chỉ định và đúng kỹ thuật, sự thay đổi không chỉ nằm ở hàm răng mà còn thể hiện rõ trên tổng thể gương mặt:
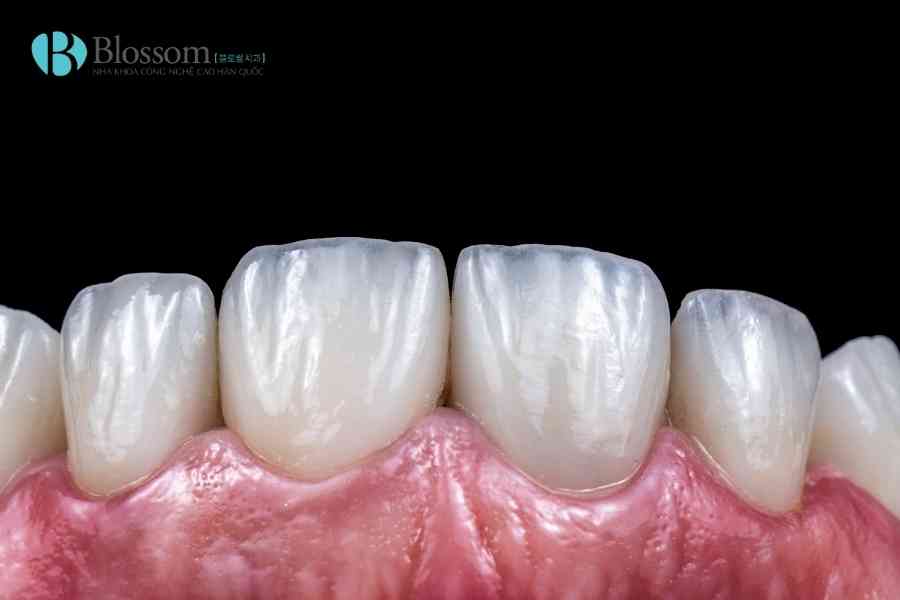
- Nụ cười tự nhiên, hài hòa: Mặt dán sứ mỏng, trong, có độ phản quang tương tự men răng thật, ôm sát viền nướu giúp nụ cười mềm mại, không giả, không “đơ”.
- Khuôn mặt cân đối, đầy đặn hơn: Việc cải thiện hình thể và tỷ lệ răng giúp nâng đỡ môi và vùng quanh miệng, hỗ trợ khắc phục cảm giác hóp, móm nhẹ do răng ngắn hoặc mòn.
- Màu sắc răng tươi sáng: Loại bỏ tình trạng răng xỉn màu, ố vàng hoặc nhiễm màu nặng, giúp gương mặt trông sáng sủa và rạng rỡ hơn.
- Tăng sự tự tin khi giao tiếp: Hàm răng đều, đẹp giúp cải thiện góc nghiêng, biểu cảm gương mặt và thần thái tổng thể.

Dán sứ thay đổi khuôn mặt giúp tổng thể khuôn mặt trở nên hài hòa hơn
4. Dán sứ có thay thế chỉnh nha không? Trường hợp nào nên – không nên?
Dán sứ không thể thay thế chỉnh nha (niềng răng) trong các trường hợp sai lệch răng – khớp cắn nặng. Đây là phương pháp phục hình thẩm mỹ bên ngoài, không can thiệp vào cấu trúc xương hàm.
Trường hợp NÊN dán sứ:
- Răng nhiễm màu, xỉn vàng không đáp ứng với tẩy trắng
- Răng thưa, hở kẽ nhỏ
- Răng sứt mẻ, mòn cạnh nhẹ
- Hình thể răng nhỏ, ngắn, không đều
Trường hợp KHÔNG NÊN dán sứ (nên chỉnh nha):
- Răng chen chúc, khấp khểnh mức độ nặng
- Sai lệch khớp cắn rõ rệt (hô, móm do xương)

Dán sứ không thể thay thế chỉnh nha trong các trường hợp sai lệch răng – khớp cắn nặng
5. Làm thế nào để dán sứ giúp gương mặt đẹp tự nhiên, hài hòa?
Để dán sứ mang lại hiệu quả thẩm mỹ cao, tự nhiên và bền vững theo thời gian, quá trình điều trị cần được thực hiện dựa trên các nguyên tắc khắt khe về chuyên môn, công nghệ và triết lý bảo tồn răng thật.
Tại Nha khoa Blossom, với hơn 13 năm kinh nghiệm trong lĩnh vực thẩm mỹ nha khoa và vị thế là thương hiệu nha khoa uy tín hàng đầu tại Seoul, Hàn Quốc, mỗi ca dán sứ đều được trực tiếp thăm khám và thực hiện bởi đội ngũ bác sĩ giàu kinh nghiệm tại Hàn Quốc và Việt Nam, đảm bảo độ chính xác trong từng bước từ đánh giá khớp cắn, xử lý bề mặt răng đến gắn sứ.

Blossom ứng dụng công nghệ dán sứ không mài độc quyền Lamifilm
Blossom ứng dụng công nghệ dán sứ không mài độc quyền Lamifilm, giúp bảo tồn tối đa răng gốc, hạn chế ê buốt và duy trì sức khỏe răng miệng lâu dài, đồng thời mang lại màu sắc răng tự nhiên theo tiêu chuẩn thẩm mỹ Hàn Quốc. Quy trình còn được cá nhân hóa nhờ công nghệ Smile Preview, cho phép khách hàng xem trước nụ cười sau dán sứ trực tiếp trên răng thật, từ đó lựa chọn hình dáng và màu sắc phù hợp nhất với khuôn mặt, độ tuổi và phong cách cá nhân. .
Mặt dán sứ được chế tác thủ công bởi nghệ nhân người Hàn, đảm bảo độ tinh xảo, độ trong và khả năng phản quang như men răng thật. Sau điều trị, khách hàng được hướng dẫn chăm sóc chi tiết và tái khám định kỳ, giúp duy trì độ bền, tính thẩm mỹ và sự hài hòa của nụ cười theo thời gian.

Mặt dán sứ đảm bảo độ tinh xảo, độ trong và khả năng phản quang như men răng thật
Thực tế, dán sứ thay đổi khuôn mặt theo hướng tích cực khi được thực hiện đúng chỉ định, đúng kỹ thuật và có thiết kế nụ cười cá nhân hóa. Nếu bạn cần tư vấn hoặc muốn tìm hiểu thêm các dịch vụ tại Nha khoa Blossom, hãy liên hệ ngay qua số HOTLINE 028.2210.3280 để được hỗ trợ tận tình và nhanh chóng!
Bài viết liên quan
Hô hàm và hô răng đều là những tình trạng bất thường về nha khoa gây ảnh hưởng lớn đến sự hài hòa trên khuôn mặt. Không chỉ vậy, chúng còn là nguyên nhân trực tiếp dẫn đến các vấn đề về ăn nhai, ảnh hưởng tới tiêu hóa, viêm khớp thái dương hàm,…Để điều […]
Ngày: 07/03/2025 Blossom & Luka Wedding – Kim Couture ký kết hợp tác chiến lược Sự hợp tác giữa Blossom và Luka Wedding, Kim Couture sẽ mang đến cho khách hàng thêm thật nhiều quyền lợi hấp dẫn, cùng những trải nghiệm tuyệt vời. Đại diện 2 bên ký kết hợp tác chiến lược Với mong muốn […]
Ngày: 13/12/2022 Trong cuộc sống, việc mất răng không chỉ ảnh hưởng đến thẩm mỹ mà còn gây ra nhiều vấn đề về chức năng ăn nhai và sức khỏe răng miệng. Vì thế, phương pháp trồng răng giả trở thành giải pháp cứu cánh giúp bạn lấy lại nụ cười tự tin và chức năng nhai […]
Ngày: 04/06/2025 Mất răng hàm không chỉ ảnh hưởng đến khả năng ăn nhai mà còn gây ra nhiều vấn đề về thẩm mỹ và sức khỏe răng miệng. Trồng răng hàm là giải pháp tối ưu giúp phục hồi chức năng ăn nhai và cải thiện diện mạo cho bạn. Bài viết này sẽ cung cấp […]
Ngày: 07/03/2025