Dán sứ 1 răng là giải pháp được nhiều người quan tâm khi răng gặp khuyết điểm nhẹ nhưng vẫn muốn bảo tồn răng thật tối đa. Tuy nhiên, dán sứ 1 răng có được không, có phù hợp và bền lâu hay không vẫn là băn khoăn khiến không ít khách hàng do dự trước khi quyết định. Hiểu đúng về phương pháp này sẽ giúp bạn tránh những can thiệp không cần thiết và lựa chọn giải pháp thẩm mỹ an toàn. Trong bài viết dưới đây, bác sĩ tại Blossom – Nha khoa công nghệ cao Hàn Quốc sẽ giúp bạn làm rõ khi nào nên dán sứ 1 răng, ưu điểm nổi bật và những lưu ý quan trọng để sở hữu nụ cười đẹp tự nhiên và bền vững.
1. Dán sứ 1 răng là gì? Trường hợp nào nên dán sứ 1 răng?
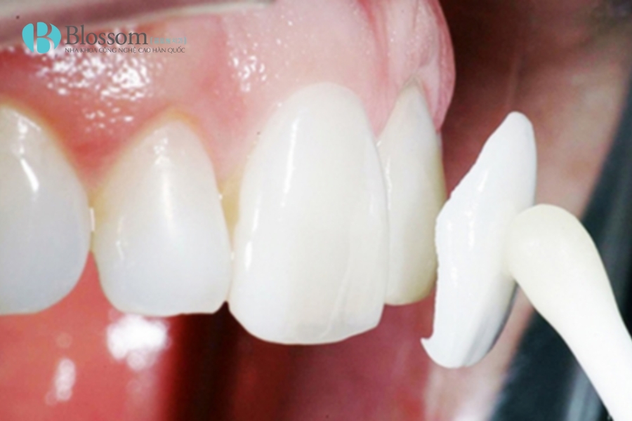
Dán sứ 1 răng là phương pháp thẩm mỹ nha khoa sử dụng một lớp sứ mỏng có độ dày khoảng 0.1 mm gắn cố định lên mặt ngoài của răng thật, thường áp dụng cho răng cửa. Mặt dán sứ có màu sắc và độ trong tự nhiên như men răng thật, chỉ cần mài rất ít hoặc thậm chí không mài men răng, giúp bảo tồn tối đa cấu trúc răng và tủy răng. Nhờ đó, răng sau khi dán sứ vẫn đảm bảo độ bền chắc, cảm giác ăn nhai tự nhiên và hạn chế tối đa tình trạng ê buốt.
Dán sứ 1 răng phù hợp với những trường hợp răng có khuyết điểm thẩm mỹ nhẹ như:
- Răng ố vàng, xỉn màu lâu năm không cải thiện bằng tẩy trắng.
- Răng sứt mẻ hoặc nứt nhỏ ở cạnh răng; răng thưa với khe hở nhẹ.
- Răng bị mòn men mức độ nhẹ hoặc răng có hình dáng chưa cân đối, hơi lệch nhẹ.
Phương pháp này giúp cải thiện thẩm mỹ nhanh chóng mà vẫn giữ được răng thật một cách tối ưu.

Dán sứ 1 răng là sử dụng một lớp sứ mỏng gắn cố định lên mặt ngoài của răng thật
2. Dán sứ 1 răng có tốt không? Một số lưu ý cần biết trước khi dán sứ 1 răng
Dán sứ 1 răng là phương pháp an toàn và hiệu quả cho những trường hợp răng có khuyết điểm nhẹ nhưng răng gốc vẫn khỏe mạnh. Tuy nhiên, để đạt hiệu quả lâu dài, cần lưu ý một số vấn đề trước và sau khi dán sứ 1 răng.
Trước tiên, răng miệng phải được kiểm tra kỹ lưỡng và điều trị dứt điểm các bệnh lý như sâu răng, viêm nướu hay viêm nha chu. Dán sứ chỉ phù hợp với các khuyết điểm nhẹ, không thay thế được niềng răng trong trường hợp răng hô, móm hoặc khấp khểnh nhiều. Việc lựa chọn nha khoa uy tín, bác sĩ giàu kinh nghiệm và công nghệ hiện đại là yếu tố then chốt để tránh các rủi ro như bong tróc, ê buốt hay viêm nướu.
Sau khi dán sứ, cần chú ý chăm sóc răng miệng đúng cách: hạn chế ăn đồ quá cứng hoặc dai, tránh thực phẩm và đồ uống sẫm màu, không dùng răng để cạy mở vật cứng. Đồng thời, duy trì thói quen vệ sinh răng miệng khoa học và tái khám định kỳ 3–6 tháng/lần sẽ giúp kéo dài tuổi thọ mặt dán sứ và giữ nụ cười luôn bền đẹp.

Dán sứ 1 răng là phương pháp an toàn và hiệu quả
3. Quy trình dán sứ 1 răng
Quy trình dán sứ 1 răng không mài Lamifilm được thực hiện theo các bước khoa học, tập trung vào việc cải thiện thẩm mỹ cho từng răng riêng lẻ đồng thời bảo tồn tối đa răng thật. Mỗi bước trong quy trình đều được cá nhân hóa để đảm bảo răng sau khi dán sứ chiếc răng đó sẽ hài hòa với toàn bộ hàm răng.
Bác sĩ kiểm tra tổng thể sức khỏe răng miệng và đánh giá tình trạng răng cần dán sứ 1 răng có đủ điều kiện thực hiện hay không. Đồng thời, khách hàng được tư vấn chi tiết về màu sắc, hình dáng răng phù hợp để răng sau khi dán sứ không bị lệch tông hay mất tự nhiên.

Công nghệ Smile Preview cho phép khách hàng xem trước kết quả dự kiến
Trước khi tiến hành dán sứ 1 răng, công nghệ Smile Preview được ứng dụng để mô phỏng kết quả trực tiếp trên răng thật. Nhờ đó, khách hàng có thể xem trước hình dáng và màu sắc của chiếc răng sau khi dán sứ và điều chỉnh theo mong muốn. Dựa trên thiết kế đã thống nhất, mặt dán sứ Lamifilm siêu mỏng khoảng 0.1mm được chế tác thủ công tỉ mỉ cho 1 răng được dán sứ, đảm bảo độ ôm sát, tự nhiên và đồng đều với các răng kế cận.

Mặt dán sứ Lamifilm siêu mỏng được chế tác tỉ mỉ nhằm đảm bảo độ ôm sát và tự nhiên
Cuối cùng, mặt dán sứ được gắn cố định lên răng bằng keo nha khoa chuyên dụng và đèn chiếu chuyên biệt để đảm bảo độ bền chắc. Sau khi hoàn thiện, bác sĩ kiểm tra lại khớp cắn, độ khít sát và hướng dẫn chăm sóc răng miệng. Nhờ quy trình dán sứ 1 răng được thực hiện chuẩn xác, nhẹ nhàng và ít xâm lấn, khách hàng có thể cải thiện nhanh chóng các khuyết điểm như răng ố màu, sứt mẻ hoặc lệch nhẹ mà vẫn giữ nguyên cấu trúc răng gốc, cho kết quả thẩm mỹ tự nhiên và ổn định lâu dài.

Kết quả giống với thiết kế mô phỏn đến 99%
4. Dán sứ 1 răng giá bao nhiêu? Nên dán sứ ở đâu
Chi phí dán sứ 1 răng sẽ khác nhau tùy vào loại sứ, công nghệ áp dụng và tay nghề bác sĩ. Thay vì chỉ quan tâm đến mức giá, bạn nên ưu tiên lựa chọn nha khoa uy tín để đảm bảo tính thẩm mỹ, độ bền và an toàn cho răng thật, đặc biệt với các phương pháp dán sứ không mài yêu cầu kỹ thuật cao.
Nha khoa Blossom là địa chỉ dán sứ 1 răng được nhiều khách hàng tin tưởng với hơn 13 năm kinh nghiệm trong thẩm mỹ nha khoa, là thương hiệu uy tín hàng đầu tại Seoul, Hàn Quốc. Blossom sở hữu đội ngũ bác sĩ chuyên môn cao tại Hàn Quốc và Việt Nam, hệ thống điều trị an toàn, cùng công nghệ dán sứ không mài độc quyền Lamifilm. Mặt dán sứ được chế tác thủ công bởi nghệ nhân Hàn Quốc, màu sắc tự nhiên, thẩm mỹ chuẩn Hàn và cá nhân hóa theo từng khách hàng. Đặc biệt, công nghệ Smile Preview giúp khách hàng xem trước nụ cười sau khi dán sứ trực tiếp trên răng thật, mang lại sự an tâm tuyệt đối trước khi thực hiện.

Viện trưởng Kim – Là người Châu Á đầu tiên trở thành thành viên chính thức của Oral Design (Thụy Sĩ), Tổ chức về Nha khoa Thẩm mỹ hàng đầu thế giới
5. Câu hỏi thường gặp khi dán sứ 1 răng
5.1. Dán sứ 1 răng không mài có đau không và có bền không?
Dán sứ không mài hầu như không gây đau hay ê buốt do không xâm lấn hoặc chỉ xử lý rất nhẹ bề mặt men răng. Quá trình thực hiện diễn ra nhẹ nhàng, không ảnh hưởng đến tủy răng. Về độ bền, nếu được thực hiện đúng kỹ thuật, sử dụng vật liệu sứ chất lượng cao và chăm sóc răng miệng tốt, mặt dán sứ không mài có thể duy trì từ 15–20 năm, thậm chí lâu hơn.
5.2. Dán sứ 1 răng có phải mài răng không?
Dán sứ 1 răng có phải mài răng không cần mài răng hoặc chỉ mài rất ít (ở mức micromet) để tạo độ bám cho mặt sứ. Điều này giúp bảo tồn tối đa men răng và cấu trúc răng thật.
5.3. Dán sứ 1 răng không mài có bị hôi miệng không?
Dán sứ không mài không gây hôi miệng nếu được thực hiện đúng kỹ thuật và đảm bảo độ khít sát giữa mặt sứ và răng thật. Ngược lại, nếu làm sai kỹ thuật hoặc vệ sinh răng miệng không đúng cách, mảng bám có thể tích tụ và gây mùi. Vì vậy, việc lựa chọn nha khoa uy tín và duy trì thói quen vệ sinh răng miệng, tái khám định kỳ là yếu tố quan trọng để tránh tình trạng này.

Hình ảnh khách hàng dán sứ không mài Lamifilm tại nha khoa Blossom
Như vậy, dán sứ 1 răng hoàn toàn có thể thực hiện và mang lại hiệu quả cao khi răng gốc khỏe mạnh và khuyết điểm ở mức độ nhẹ. Nếu bạn cần tư vấn hoặc muốn tìm hiểu thêm các dịch vụ tại Nha khoa Blossom, hãy liên hệ ngay qua số HOTLINE 028.2210.3280 để được hỗ trợ tận tình và nhanh chóng!
Bài viết liên quan
Lịch sử thẩm mỹ răng sứ là một hành trình dài, phản ánh sự tiến bộ của y học và nghệ thuật nha khoa qua các thời kỳ. Từ những kỹ thuật sơ khai trong thời cổ đại đến các phương pháp hiện đại với vật liệu sứ tinh xảo, thẩm mỹ răng sứ đã […]
Ngày: 17/11/2025 Dán răng sứ là phương pháp thẩm mỹ nha khoa được nhiều người ưa chuộng bởi hiệu quả nhanh chóng, đẹp tự nhiên. Tuy vậy, dán răng sứ được bao lâu luôn là mối quan tâm hàng đầu của khách hàng. Nội dung sau đây sẽ giải đáp thắc mắc này và chia sẻ bí […]
Ngày: 07/03/2025 Răng cửa là vị trị khá quan trọng, giữ chức năng ăn nhai và quyết định tính thẩm mỹ của nụ cười. Cùng Nha Khoa Blossom tìm hiểu chi tiết về cắm Implant răng cửa bao nhiêu tiền và địa chỉ nào cấy ghép Implant uy tín hiện nay. 1. Chi phí trồng răng cửa […]
Ngày: 07/03/2025 Nhiều khách hàng quan tâm khi lựa chọn phục hình thẩm mỹ bằng dán sứ, đặc biệt là dán sứ không mài. Đây là kỹ thuật hiện đại, giúp bảo tồn tối đa men răng, mang lại nụ cười tự nhiên và sáng bóng. Tuy chi phí có phần cao hơn so với một số […]
Ngày: 22/12/2025