Cảm giác thường gặp sau khi làm răng sứ là vấn đề khiến nhiều khách hàng không khỏi lo lắng, đặc biệt trong những ngày đầu sau khi hoàn tất bọc sứ. Một số người cảm thấy ê buốt nhẹ, cộm vướng hoặc chưa quen khi ăn nhai, trong khi số khác lại hoang mang không biết đó là phản ứng bình thường hay dấu hiệu của biến chứng răng miệng. Vậy đâu là những cảm giác có thể chấp nhận được và đâu là biểu hiện cần thăm khám ngay? Trong bài viết này, bác sĩ tại Blossom – Nha khoa công nghệ cao Hàn Quốc sẽ giúp bạn phân biệt rõ cảm giác thường gặp sau khi làm răng sứ để yên tâm chăm sóc và bảo vệ răng sứ đúng cách.
1. Cảm giác thường gặp sau khi làm răng sứ trong giai đoạn đầu
Trong 3–7 ngày đầu sau khi làm răng sứ, răng và nướu cần thời gian để thích nghi với mão sứ mới, vì vậy việc xuất hiện một số cảm giác khó chịu nhẹ là hoàn toàn bình thường và thường sẽ giảm dần nếu răng sứ được thực hiện đúng kỹ thuật.
- Ê buốt hoặc đau nhẹ khi ăn đồ nóng, lạnh do răng vừa trải qua quá trình mài
- Ngứa hoặc hơi tức nướu do mô nướu đang làm quen với vật liệu sứ mới
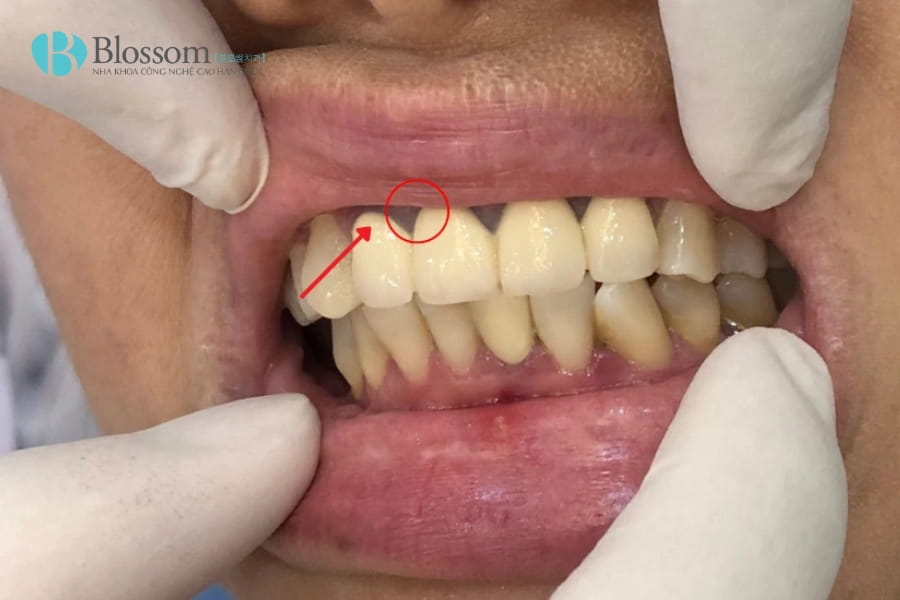
- Cảm giác lạ lẫm hoặc cộm cấn nhẹ khi ăn nhai vì răng sứ có hình dáng và độ dày khác răng cũ
- Viền nướu có thể hơi đổi màu hoặc bầm nhẹ trong thời gian đầu

Cảm giác lạ lẫm hoặc cộm cấn nhẹ khi ăn nhai
2. Những biến chứng bất thường có thể gặp sau khi làm răng sứ
Bên cạnh các phản ứng sinh lý bình thường, nếu quá trình làm răng sứ không đảm bảo kỹ thuật hoặc vật liệu không đạt chất lượng, một số dấu hiệu bất thường có thể xuất hiện và cần được bác sĩ kiểm tra sớm để tránh ảnh hưởng lâu dài đến răng miệng.
- Đau nhức hoặc ê buốt kéo dài không giảm sau vài ngày đến một tuần
- Nướu sưng đỏ, chảy máu nhiều, có mủ hoặc viêm kéo dài
- Cảm giác cộm cấn rõ rệt gây khó chịu và ảnh hưởng đến ăn nhai
- Hôi miệng kéo dài do vi khuẩn tích tụ quanh viền răng sứ
- Răng sứ có dấu hiệu nứt, vỡ hoặc lỏng lẻo khi sử dụng
Việc theo dõi sát các biểu hiện sau khi làm răng sứ và tái khám kịp thời khi có dấu hiệu bất thường sẽ giúp đảm bảo răng sứ ổn định, bền đẹp và an toàn lâu dài.

Nướu sưng đỏ, chảy máu nhiều, có mủ hoặc viêm kéo dài
3. Nguyên nhân gây ra cảm giác khó chịu sau khi làm răng sứ
3.1. Kỹ thuật và tay nghề bác sĩ
Những sai sót trong quá trình mài răng và phục hình có thể ảnh hưởng trực tiếp đến cảm giác sau khi làm răng sứ, đặc biệt là trong giai đoạn đầu.
- Mài răng quá nhiều làm lộ ngà răng gây ê buốt và nhạy cảm kéo dài
- Mài răng không đều khiến răng sứ không ôm khít cùi răng, dễ cộm cấn khi ăn nhai
- Phạm vào nướu trong quá trình mài gây tổn thương, sưng đau và viêm nướu
- Thiết kế răng sứ không chuẩn xác làm khớp cắn bị lệch, tạo cảm giác cấn hoặc mỏi hàm
- Răng sứ không sát viền khiến thức ăn mắc kẹt, vi khuẩn phát triển và gây hôi miệng
3.2. Tình trạng răng và nướu
Tình trạng sức khỏe răng miệng trước khi bọc sứ đóng vai trò quan trọng trong việc quyết định mức độ dễ chịu sau phục hình.
- Nướu cần thời gian để thích nghi với mão răng mới nên có thể gây cảm giác tức hoặc ngứa nhẹ
- Tủy răng chưa được điều trị triệt để hoặc bị kích ứng do mài răng quá sâu gây đau âm ỉ
- Các bệnh lý răng miệng như sâu răng, viêm nha chu, viêm nướu chưa được xử lý dứt điểm trước khi bọc sứ
3.3. Chất liệu và chăm sóc:
Chất lượng răng sứ và thói quen sinh hoạt sau khi làm răng cũng ảnh hưởng trực tiếp đến cảm giác sử dụng.
- Chất liệu sứ kém chất lượng dễ gây kích ứng nướu, dẫn nhiệt mạnh gây ê buốt khi ăn nóng lạnh
- Vệ sinh răng miệng không kỹ tạo mảng bám và vi khuẩn, gây viêm nhiễm và mùi hôi
- Thói quen nghiến răng hoặc ăn đồ quá cứng, quá nóng hay quá lạnh làm tăng áp lực lên răng sứ
Nếu cảm giác khó chịu kéo dài hoặc ngày càng nghiêm trọng, việc tái khám sớm để bác sĩ kiểm tra và điều chỉnh là cần thiết nhằm đảm bảo răng sứ ổn định, an toàn và sử dụng lâu dài.

Răng sứ không sát viền khiến thức ăn mắc kẹt, vi khuẩn phát triển và gây hôi miệng
4. Cách giảm và xử lý cảm giác thường gặp sau khi làm răng sứ
Sau khi làm răng sứ, việc xuất hiện cảm giác ê buốt, nhức nhẹ hoặc nhạy cảm khi ăn đồ nóng, lạnh là hiện tượng khá phổ biến và thường sẽ giảm dần khi răng và nướu thích nghi. Tuy nhiên, bạn cần áp dụng đúng cách chăm sóc và theo dõi sát các biểu hiện để hạn chế khó chịu và kịp thời xử lý khi có dấu hiệu bất thường.
- Súc miệng nước muối ấm mỗi ngày để sát khuẩn, giảm viêm và làm dịu cảm giác ê buốt
- Chườm đá lạnh bên ngoài má khoảng 15–20 phút mỗi lần giúp giảm sưng và tê tạm thời các dây thần kinh cảm giác
- Sử dụng thuốc giảm đau như Paracetamol hoặc Ibuprofen theo đúng chỉ định của bác sĩ
- Ưu tiên ăn thức ăn mềm, lỏng và hạn chế cắn nhai mạnh lên răng mới bọc
- Tránh thực phẩm quá cứng, quá dai cũng như đồ ăn quá nóng hoặc quá lạnh để hạn chế kích thích răng
- Vệ sinh răng miệng nhẹ nhàng bằng bàn chải lông mềm, chải chậm và kỹ quanh vùng răng sứ
- Sử dụng hàm bảo vệ nếu có thói quen nghiến răng nhằm giảm áp lực lên răng sứ
- Hạn chế nhai bên răng đang đau khi có cảm giác cộm, cấn và theo dõi tình trạng ăn nhai
Bên cạnh các biện pháp tại nhà, bạn cần đến nha khoa ngay nếu xuất hiện các dấu hiệu như đau nhức kéo dài hơn 2–3 ngày không thuyên giảm, nướu sưng đỏ hoặc có mủ, răng sứ cộm cấn rõ rệt, lung lay, rơi ra, hơi thở có mùi hôi bất thường hoặc viền nướu bị thâm đen. Ngoài ra, để ngăn ngừa biến chứng lâu dài, bạn nên lựa chọn nha khoa uy tín ngay từ đầu, tuân thủ đầy đủ hướng dẫn chăm sóc sau điều trị và tái khám định kỳ khoảng 6 tháng một lần để bác sĩ theo dõi và đảm bảo răng sứ luôn ổn định, bền đẹp.

Chườm đá lạnh bên ngoài má khoảng 15–20 phút mỗi lần giúp giảm sưng và tê
5. Làm gì để hạn chế cảm giác khó chịu và biến chứng khi làm răng sứ
Để răng sứ nhanh chóng ổn định, hạn chế cảm giác khó chịu và phòng tránh các biến chứng về lâu dài, bạn cần kết hợp chăm sóc răng miệng đúng cách, chế độ ăn uống hợp lý, điều chỉnh thói quen sinh hoạt và tái khám định kỳ tại nha khoa uy tín. Những yếu tố này không chỉ giúp răng sứ bền đẹp mà còn bảo vệ sức khỏe răng miệng tổng thể.
- Đánh răng đều đặn 2 lần mỗi ngày bằng bàn chải lông mềm, chải nhẹ nhàng và ưu tiên kem đánh răng dành cho răng nhạy cảm
- Làm sạch kẽ răng bằng chỉ nha khoa hoặc tăm nước, tránh sử dụng tăm nhọn gây tổn thương nướu
- Súc miệng nước muối ấm hoặc nước súc miệng không cồn để giảm vi khuẩn và hạn chế viêm nướu
- Ưu tiên các loại thực phẩm mềm, dễ nhai, đầy đủ dinh dưỡng và bổ sung canxi cho răng chắc khỏe
- Hạn chế đồ ăn quá cứng, dai, dính, thực phẩm có màu đậm như cà phê, trà và tránh thay đổi nhiệt độ nóng lạnh đột ngột
- Nhai đều hai bên hàm để phân tán lực, tránh dồn lực nhai vào răng sứ
- Tránh các thói quen xấu như nghiến răng, hút thuốc hoặc sử dụng các sản phẩm tẩy trắng răng mạnh
- Sử dụng máng bảo vệ răng nếu có thói quen nghiến răng hoặc khi chơi thể thao dễ va chạm
- Tái khám định kỳ khoảng 6 tháng một lần để bác sĩ theo dõi tình trạng răng sứ và xử lý sớm các vấn đề phát sinh
- Lựa chọn nha khoa uy tín ngay từ đầu với bác sĩ chuyên môn cao và kỹ thuật tốt để đảm bảo chất lượng răng sứ lâu dài
Trong trường hợp xuất hiện các dấu hiệu như đau nhức kéo dài, sưng tấy, chảy máu nướu hoặc cảm giác bất thường khi ăn nhai, bạn nên đến nha khoa ngay để được kiểm tra và can thiệp kịp thời, tránh biến chứng nghiêm trọng. Bên cạnh đó, bạn cũng nên ưu tiên lựa chọn các công nghệ làm răng sứ hiện đại, ít hoặc không xâm lấn như dán sứ không mài Lamifilm.
Bởi phương pháp này là kỹ thuật phục hình bảo tồn men răng, giúp hạn chế mài răng tối đa, không ê buốt, bảo vệ mô răng thật và mang lại cảm giác nhẹ nhàng, thoải mái hơn trong và sau quá trình điều trị. Giải pháp này không chỉ nâng cao tính an toàn mà còn giúp răng bền đẹp lâu dài, phù hợp với xu hướng thẩm mỹ nha khoa hiện nay.

Tái khám định kỳ khoảng 6 tháng một lần để bác sĩ theo dõi tình trạng răng
Cảm giác thường gặp sau khi làm răng sứ đa phần là phản ứng sinh lý bình thường của răng và nướu trong giai đoạn thích nghi ban đầu. Vì vậy, nếu bạn cần tư vấn hoặc muốn tìm hiểu thêm các dịch vụ tại Nha khoa Blossom, hãy liên hệ ngay qua số HOTLINE 028.2210.3280 để được hỗ trợ tận tình và nhanh chóng!
Bài viết liên quan
Răng sứ không mài đang trở thành xu hướng thẩm mỹ được nhiều khách hàng quan tâm nhờ ưu điểm bảo tồn răng thật tối đa. Không cần mài nhỏ thân răng như phương pháp bọc sứ truyền thống, kỹ thuật này hướng đến phục hình ít xâm lấn nhưng vẫn cải thiện màu sắc, […]
Ngày: 09/03/2026 Viêm tủy răng là tình trạng tủy răng bị viêm nhiễm do vi khuẩn tấn công, không chỉ gây đau nhức dữ dội mà còn ảnh hưởng trực tiếp đến chất lượng cuộc sống của người bệnh và tiềm ẩn nhiều biến chứng nguy hiểm. Do đó, qua bài viết này Nha Khoa Blossom sẽ […]
Ngày: 07/03/2025 Cười hở lợi có tốt không là câu hỏi mà nhiều người băn khoăn. Trên thực tế, đây là tình trạng răng miệng thường gặp ở rất nhiều người. Việc sở hữu nụ cười này hoàn toàn không ảnh hưởng gì đến sức khỏe của bạn. Tuy nhiên nó lại làm giảm tính thẩm mỹ […]
Ngày: 07/03/2025 Trong xu hướng nha khoa thẩm mỹ hiện đại, các phương pháp phục hình bảo tồn răng thật ngày càng được ưu tiên. Nổi bật trong số đó là công nghệ Lamifilm với nhiều ưu điểm của dán sứ không mài Lamifilm vượt trội so với kỹ thuật truyền thống. Không cần mài răng, hạn […]
Ngày: 03/02/2026