Tình trạng bọc răng sứ bị rớt ra có thể khiến nhiều người hoang mang, đặc biệt khi răng sứ vốn được xem là giải pháp phục hình bền chắc và thẩm mỹ cao. Việc răng sứ bong, rớt không chỉ ảnh hưởng đến ăn nhai mà còn gây mất tự tin trong giao tiếp hằng ngày. Trên thực tế, bọc răng sứ bị rớt ra thường xuất phát từ những nguyên nhân cụ thể liên quan đến kỹ thuật, vật liệu hoặc thói quen sử dụng. Trong bài viết này, Blossom – Nha khoa công nghệ cao Hàn Quốc sẽ giúp bạn hiểu rõ nguyên nhân, cách xử lý đúng và biện pháp phòng tránh hiệu quả.
1. Bọc răng sứ bị rớt ra có xảy ra không? Có nguy hiểm không?
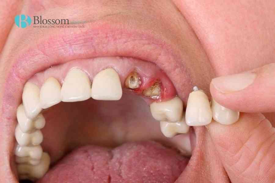
Răng sứ hoàn toàn có thể bị rớt sau một thời gian sử dụng, thường do keo dán suy yếu, kỹ thuật mài – gắn không chuẩn, ăn nhai lực mạnh hoặc răng sứ đã hết tuổi thọ. Tình trạng này không nên xem nhẹ vì có thể gây hôi miệng, ê buốt, sâu cùi răng thật, viêm tủy, viêm nha chu và thậm chí mất răng nếu không xử lý kịp thời.
Khi răng sứ rớt ra, người bệnh cần giữ lại mão sứ, vệ sinh miệng nhẹ nhàng và đến nha khoa sớm nhất, tuyệt đối không tự dán lại tại nhà bằng các loại keo thông thường. Tùy tình trạng, bác sĩ sẽ gắn lại răng sứ nếu còn đảm bảo, hoặc chỉ định làm răng sứ mới để bảo vệ răng thật an toàn lâu dài.

Răng sứ hoàn toàn có thể bị rớt sau một thời gian sử dụng
2. Nguyên nhân khiến bọc răng sứ bị rớt ra thường gặp nhất
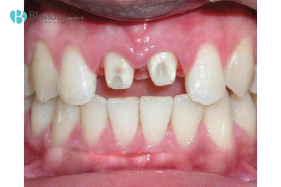
Răng sứ bị rớt chủ yếu do liên kết giữa mão sứ và cùi răng thật bị suy yếu theo thời gian hoặc chịu tác động bất lợi. Nguyên nhân thường gặp gồm:
- Ăn nhai đồ quá cứng, dai hoặc nghiến răng làm lực nhai vượt ngưỡng chịu đựng.
- Kỹ thuật bác sĩ không đảm bảo như mài cùi sai tỷ lệ, gắn không khít hoặc dùng keo dán kém chất lượng.
- Răng sứ đã hết tuổi thọ khiến keo dán lão hóa; vệ sinh răng miệng sai cách gây tụt lợi, hở chân răng.
- Các bệnh lý răng miệng như sâu cùi răng, viêm nha chu, tiêu xương làm nền răng yếu đi.
Khi răng sứ rớt ra, bạn cần giữ lại mão sứ, vệ sinh nhẹ nhàng và đến nha khoa uy tín sớm nhất, tuyệt đối không tự dán lại tại nhà.

Răng sứ bị rớt chủ yếu do liên kết giữa mão sứ và cùi răng thật bị suy yếu
3. Bọc răng sứ bị rớt ra phải làm sao? Cách xử lý đúng ngay tại thời điểm xảy ra
3.1. Răng sứ bị rơi ra có gắn lại được không?
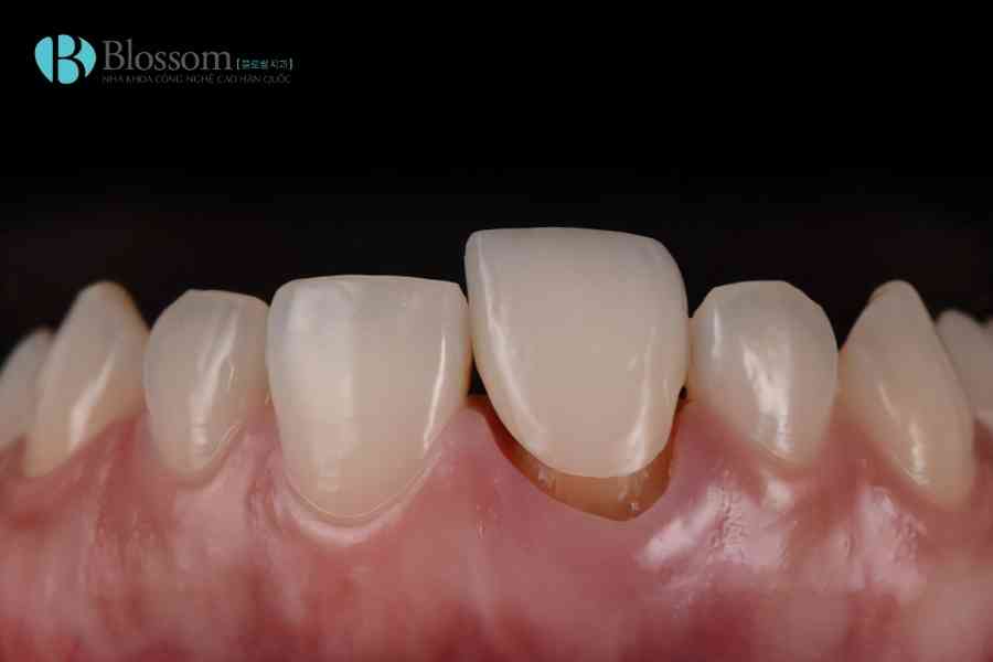
Răng sứ bị rơi ra hoàn toàn có thể gắn lại trong nhiều trường hợp. Việc gắn lại giúp tiết kiệm chi phí và thời gian so với làm mới, tuy nhiên chỉ được thực hiện khi cả mão sứ và cùi răng thật vẫn còn đảm bảo điều kiện an toàn và chức năng.
3.2. Trường hợp có thể gắn lại răng sứ
Răng sứ có thể được gắn lại nếu mão sứ còn nguyên vẹn, không nứt, mẻ hay biến dạng; cùi răng thật bên trong vẫn chắc khỏe, không sâu răng, không viêm nhiễm; hoặc răng sứ mới bọc nhưng bị rớt sớm do lỗi kỹ thuật gắn hoặc do ăn nhai lực mạnh. Trong các trường hợp này, bác sĩ sẽ vệ sinh, xử lý lại bề mặt và gắn cố định mão sứ bằng vật liệu chuyên dụng.
3.3. Trường hợp bắt buộc phải làm lại răng sứ mới
Răng sứ cần được làm lại mới khi mão sứ đã bị nứt, vỡ, gãy hoặc không còn khít với cùi răng; khi cùi răng thật bị sâu, viêm tủy, viêm nha chu hoặc tổn thương nặng cần điều trị lại; hoặc khi răng sứ đã sử dụng quá lâu, hết tuổi thọ, không còn đảm bảo chức năng ăn nhai và thẩm mỹ. Ngoài ra, các trường hợp bọc răng trước đó sai kỹ thuật, mài cùi quá nhiều hoặc không đúng chuẩn cũng thường buộc phải làm lại răng sứ mới để đảm bảo an toàn lâu dài.

Răng sứ bị rơi ra hoàn toàn có thể gắn lại trong nhiều trường hợp
4. Giải pháp khắc phục triệt để tình trạng bọc răng sứ bị rớt ra
4.1. Điều chỉnh lại cùi răng và khớp cắn
Bác sĩ sẽ mài chỉnh lại cùi răng nếu trước đó cùi bị mài sai tỷ lệ, quá ngắn hoặc không đủ độ lưu giữ cho mão sứ. Đồng thời, khớp cắn được kiểm tra và điều chỉnh nhằm loại bỏ các điểm cộm, phân bố lực nhai đều, tránh tình trạng răng sứ chịu lực quá mức dẫn đến lỏng hoặc rớt.
4.2. Thay răng sứ mới phù hợp hơn
Trong trường hợp mão sứ cũ bị nứt, vỡ, không khít sát hoặc đã hết tuổi thọ, bác sĩ sẽ chỉ định làm răng sứ mới. Mão sứ được thiết kế chính xác theo cùi răng, kết hợp keo dán nha khoa chuyên dụng chất lượng cao để đảm bảo độ bám dính chắc chắn và độ bền lâu dài.
4.3. Điều trị dứt điểm các bệnh lý răng miệng đi kèm
Nếu nguyên nhân rớt răng sứ xuất phát từ sâu răng, viêm tủy, viêm nha chu hay viêm nướu, các bệnh lý này cần được điều trị triệt để trước khi gắn lại hoặc bọc mới. Bác sĩ cũng sẽ làm sạch mảng bám, keo cũ và vi khuẩn quanh cùi răng để hạn chế viêm nhiễm, hôi miệng và biến chứng về sau.

Giải pháp khắc phục triệt để tình trạng bọc răng sứ bị rớt ra
5. Cách phòng tránh bọc răng sứ bị rớt ra lâu dài
- Để hạn chế tối đa tình trạng răng sứ bị rớt, cần lựa chọn nha khoa uy tín với bác sĩ có tay nghề cao, đảm bảo mài răng đúng kỹ thuật và sử dụng keo dán chất lượng.
- Sau khi bọc sứ, nên chăm sóc răng miệng đúng cách bằng cách chải răng nhẹ nhàng với bàn chải lông mềm, dùng chỉ nha khoa thay cho tăm xỉa răng, hạn chế ăn nhai thực phẩm quá cứng, quá dai hoặc quá nóng – lạnh.
- Đồng thời, thăm khám nha khoa định kỳ 6 tháng/lần để phát hiện sớm tình trạng lỏng, hở mão sứ và xử lý kịp thời.

Cách phòng tránh bọc răng sứ bị rớt ra lâu dài
6. Câu hỏi thường gặp về tình trạng bọc răng sứ bị rớt ra
6.1. Răng sứ bị rớt ra để lâu có sao không?
Có. Nếu để lâu, cùi răng thật sẽ bị lộ, dễ bị vi khuẩn tấn công gây sâu răng, viêm tủy, hôi miệng và tụt nướu. Vì vậy cần đến nha khoa xử lý càng sớm càng tốt.
6.2. Chi phí gắn lại hoặc làm lại răng sứ là bao nhiêu?
Nếu mão sứ còn nguyên vẹn, chi phí gắn lại thường thấp, chủ yếu là vệ sinh và keo dán. Trường hợp phải làm lại răng sứ mới do mão hỏng hoặc cùi răng tổn thương, chi phí sẽ tương đương bọc răng sứ mới và phụ thuộc vào loại sứ được chọn.
6.3. Răng sứ rớt ra nhiều lần có nên tiếp tục bọc sứ không?
Nếu răng sứ rớt nhiều lần, khả năng cao do kỹ thuật bọc trước đó không chuẩn hoặc cùi răng đã yếu. Người bệnh nên đến nha khoa uy tín để kiểm tra lại toàn diện. Tùy tình trạng răng thật, bác sĩ sẽ chỉ định bọc sứ lại đúng kỹ thuật hoặc tư vấn giải pháp khác phù hợp hơn.

Răng sứ bị rớt ra để để lâu, cùi răng thật sẽ bị lộ, dễ bị vi khuẩn tấn công gây viêm nhiễm
Dù không phổ biến, nhưng bọc răng sứ bị rớt ra là vấn đề cần được xử lý kịp thời để tránh ảnh hưởng đến răng thật và nướu. Nếu bạn cần tư vấn hoặc muốn tìm hiểu thêm các dịch vụ tại Nha khoa Blossom, hãy liên hệ ngay qua số HOTLINE 028.2210.3280 để được hỗ trợ tận tình và nhanh chóng!
Bài viết liên quan
Trám răng ngày càng được ưa chuộng không chỉ bởi khả năng khôi phục cấu trúc răng tổn thương mà còn giúp cải thiện đáng kể về thẩm mỹ. Trám răng là gì? Trám răng là kỹ thuật phục hình được ứng dụng trong các trường hợp răng bị sâu, mẻ, nứt hoặc mất mô […]
Ngày: 23/04/2025 Súc miệng bằng muối là một phương pháp chăm sóc răng miệng đơn giản nhưng mang lại hiệu quả bất ngờ. Nhờ khả năng sát khuẩn và cân bằng độ pH trong khoang miệng, việc súc miệng bằng muối giúp ngăn ngừa sâu răng, viêm nướu, hôi miệng và hỗ trợ làm dịu các vết […]
Ngày: 27/10/2025 Trong quá trình niềng răng trong suốt, việc chăm sóc và vệ sinh khay niềng đúng cách đóng vai trò rất quan trọng để duy trì hiệu quả chỉnh nha cũng như bảo vệ sức khỏe răng miệng. Tuy nhiên, không phải ai cũng biết cách vệ sinh khay niềng đúng chuẩn để giữ khay […]
Ngày: 21/05/2026 Răng nhạy cảm, hay còn gọi là ê buốt răng, là tình trạng phổ biến gây ra nhiều khó chịu trong sinh hoạt ăn uống. Nếu không được điều trị kịp thời, tình trạng này có thể dẫn đến những tổn thương nghiêm trọng cho răng miệng. Bài viết này Nha Khoa Blossom sẽ cung […]
Ngày: 07/03/2025