Hô hàm và hô răng là hai dạng sai lệch phổ biến ảnh hưởng không chỉ đến thẩm mỹ khuôn mặt mà còn gây khó khăn trong ăn nhai và phát âm. Tuy nhiên, nhiều người vẫn dễ nhầm lẫn giữa hô do răng và hô do xương hàm, dẫn đến lựa chọn sai phương pháp điều trị. Bài viết dưới đây của Blossom – Nha khoa công nghệ cao Hàn Quốc sẽ giúp bạn phân biệt rõ hô hàm và hô răng, đồng thời gợi ý các giải pháp điều trị an toàn, hiệu quả và triệt để, giúp bạn lấy lại nụ cười tự tin và gương mặt cân đối.
1. Cách phân biệt hô hàm và hô răng
1.1. Cách nhận biết hô do xương hàm (hô hàm)
Hô hàm là tình trạng phần xương hàm trên, hàm dưới hoặc cả hai phát triển quá mức, khiến khuôn miệng bị đưa ra trước nhiều hơn bình thường. Người bị hô hàm thường có biểu hiện cười hở lợi, răng cửa nhô rõ và khó khép kín môi dù đã thả lỏng cơ mặt. Khi nhìn nghiêng, khuôn miệng bị đẩy ra phía trước, tạo cảm giác mất cân đối giữa trán, mũi và cằm. Trong những trường hợp hô hàm nặng, khớp cắn có thể bị sai lệch, ảnh hưởng đến cả thẩm mỹ và chức năng ăn nhai.
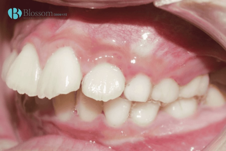
1.2. Cách nhận biết hô do răng (hô răng)
Hô răng là tình trạng các răng, đặc biệt là răng cửa, mọc lệch hướng hoặc chìa ra ngoài so với phương thẳng đứng, khiến khuôn miệng có cảm giác nhô ra. Khi quan sát, có thể thấy hàm trên vẫn bình thường, không bị đẩy ra trước, nhưng các răng lại mọc chếch, đôi khi chồng chéo lên nhau. Nhìn nghiêng, khuôn mặt vẫn giữ được cấu trúc hài hòa, chỉ phần răng bị vẩu.
1.3. Hô do cả răng và hàm kết hợp
Hô do cả răng và hàm là dạng hô phức tạp nhất, khi cả cấu trúc xương hàm và hướng mọc của răng đều sai lệch. Người mắc phải tình trạng này thường có môi trên không che phủ được răng, khuôn mặt nhô ra toàn bộ và dễ nhận thấy sự mất cân đối khi nhìn nghiêng. Khi cười, phần lợi và răng thường lộ rõ, gây ảnh hưởng lớn đến thẩm mỹ.

Cách phân biệt hô hàm và hô răng
2. Nguyên nhân dẫn đến tình trạng hô hàm và hô răng
Tình trạng hô răng và hô hàm có thể xuất phát từ nhiều nguyên nhân khác nhau, bao gồm yếu tố bẩm sinh, thói quen sinh hoạt hoặc dinh dưỡng không hợp lý. Việc hiểu rõ nguyên nhân giúp lựa chọn phương pháp điều trị phù hợp, mang lại hiệu quả lâu dài và đảm bảo tính thẩm mỹ cho khuôn mặt.
2.1. Yếu tố di truyền
Di truyền là nguyên nhân phổ biến nhất gây ra tình trạng hô hàm và hô răng. Cấu trúc xương mặt, hình dạng hàm và răng đều có tính di truyền cao. Nếu trong gia đình, cha mẹ hoặc ông bà có hàm hoặc răng hô, thì con cháu có nguy cơ gặp phải tình trạng tương tự với tỷ lệ khá cao. Đặc biệt, sự sai lệch về khớp cắn hoặc sự phát triển không cân đối của xương hàm thường được di truyền qua nhiều thế hệ.
2.2. Thói quen xấu từ nhỏ
Những thói quen tưởng chừng vô hại trong thời thơ ấu như mút ngón tay, ngậm ti giả lâu, đẩy lưỡi, cắn môi dưới hay thở bằng miệng đều có thể ảnh hưởng đến quá trình phát triển của xương hàm và răng. Nếu những thói quen này kéo dài trong giai đoạn răng và xương hàm đang hình thành, sẽ khiến răng cửa bị đẩy ra ngoài hoặc hàm trên phát triển quá mức, dẫn đến tình trạng hô. Đặc biệt, thở miệng lâu dài còn có thể làm hẹp hàm trên, khiến khớp cắn lệch và khuôn mặt mất cân đối.
2.3. Chế độ dinh dưỡng thiếu hụt
Dinh dưỡng đóng vai trò quan trọng trong sự phát triển của xương và răng, đặc biệt trong giai đoạn trẻ đang thay răng. Nếu cơ thể thiếu hụt canxi, vitamin D, cùng các khoáng chất thiết yếu khác, xương hàm có thể phát triển yếu hoặc không cân đối, dẫn đến răng mọc lệch, chen chúc và hô vẩu. Một chế độ ăn uống nghèo nàn dinh dưỡng trong thời gian dài không chỉ ảnh hưởng đến cấu trúc răng hàm mà còn tác động tiêu cực đến hình dạng khuôn mặt.
2.4. Tác động ngoại lực và thói quen xấu ở người lớn
Ngoài các nguyên nhân trên, những thói quen xấu như nghiến răng, chống cằm, cắn vật cứng (kẹo, đá, nắp chai, bút…) hoặc chấn thương vùng hàm mặt do tai nạn cũng có thể gây ra hoặc làm nặng thêm tình trạng hô. Những tác động này ảnh hưởng đến vị trí của răng và cấu trúc xương, khiến hàm bị lệch hoặc răng bị đẩy ra phía trước theo thời gian.

Nguyên nhân dẫn đến tình trạng hô hàm và hô răng
3. Hệ quả của hô hàm và hô răng và cách điều trị sớm để tránh biến chứng
Tình trạng hô hàm, hô răng không chỉ ảnh hưởng đến thẩm mỹ khuôn mặt mà còn gây ra nhiều vấn đề sức khỏe răng miệng. Người bị hô thường cảm thấy tự ti khi giao tiếp, gương mặt mất cân đối. Ngoài ra, việc khớp cắn sai có thể gây khó khăn khi nhai, ảnh hưởng đến hệ tiêu hóa, làm đau khớp thái dương hàm và mòn răng không đều theo thời gian.
Để tránh các biến chứng về sau, người bị hô nên điều trị sớm ngay khi phát hiện dấu hiệu bất thường. Với trường hợp hô do răng, niềng răng hoặc bọc sứ là lựa chọn phổ biến giúp điều chỉnh vị trí răng hiệu quả. Nếu nguyên nhân là do xương hàm, bác sĩ có thể chỉ định phẫu thuật chỉnh hàm hoặc kết hợp niềng răng để đạt kết quả tối ưu. Việc thăm khám và điều trị sớm tại cơ sở nha khoa uy tín sẽ giúp cải thiện thẩm mỹ, đảm bảo chức năng nhai và tránh được các vấn đề sức khỏe răng miệng lâu dài.

Hô hàm, hô răng ảnh hưởng đến thẩm mỹ khuôn mặt và sức khỏe răng miệng
4. Các giải pháp điều trị hàm hô và răng hô
4.1. Niềng răng – Giải pháp cho hô do răng
Niềng răng là phương pháp chỉnh nha phổ biến giúp di chuyển răng hô về đúng vị trí, cải thiện khớp cắn và mang lại hàm răng đều đẹp tự nhiên. Bác sĩ sẽ sử dụng mắc cài hoặc khay niềng trong suốt để điều chỉnh răng dần dần theo thời gian. Đây là giải pháp an toàn, hiệu quả lâu dài, phù hợp cho trường hợp hô do răng mọc chìa ra ngoài hoặc sai lệch nhẹ đến trung bình.
4.2. Phẫu thuật hàm – Giải pháp cho hô do xương hàm
Phẫu thuật chỉnh hàm được chỉ định khi nguyên nhân gây hô xuất phát từ cấu trúc xương hàm trên hoặc hàm dưới phát triển quá mức. Bác sĩ sẽ tiến hành cắt và điều chỉnh lại phần xương hàm để đưa hàm về vị trí cân đối, giúp gương mặt hài hòa và khớp cắn chuẩn xác. Dù là phương pháp phức tạp, phẫu thuật hàm mang lại hiệu quả triệt để, đặc biệt trong các trường hợp hô nặng.
4.3. Điều trị kết hợp cho trường hợp hô cả răng và hàm
Với những người bị hô do cả răng và xương hàm, bác sĩ thường chỉ định điều trị kết hợp: niềng răng để sắp xếp lại vị trí răng, sau đó phẫu thuật chỉnh hàm để cân chỉnh xương. Sự kết hợp này giúp khắc phục toàn diện cả vấn đề thẩm mỹ lẫn chức năng nhai, mang lại nụ cười tự nhiên và khuôn mặt cân đối.

Các giải pháp điều trị hàm hô và răng hô
5. Câu hỏi thường gặp về phân biệt hàm hô và răng hô
5.1. Hô hàm có niềng răng được không?
Hô hàm chủ yếu do xương hàm phát triển quá mức, vì vậy niềng răng thường chỉ cải thiện một phần nhỏ. Tuy nhiên, trong trường hợp hô nhẹ hoặc kết hợp cả răng và hàm, bác sĩ có thể chỉ định niềng răng để hỗ trợ cân chỉnh khớp cắn. Để xác định chính xác có thể niềng được hay không, bạn nên thăm khám trực tiếp để được bác sĩ chẩn đoán và tư vấn phương pháp phù hợp.
5.2. Thời điểm tốt nhất để điều trị hô hàm và răng hô là khi nào?
Thời điểm vàng để điều trị hô là giai đoạn 6 – 12 tuổi, khi xương hàm và răng đang phát triển. Việc can thiệp sớm giúp quá trình chỉnh nha diễn ra dễ dàng, rút ngắn thời gian điều trị và mang lại kết quả tối ưu. Tuy nhiên, người trưởng thành vẫn có thể niềng răng hoặc phẫu thuật để cải thiện tình trạng hô hiệu quả.
5.3. Thời gian niềng răng hoặc phẫu thuật hô hàm mất bao lâu?
Thời gian niềng răng trung bình kéo dài 18 – 36 tháng, tùy theo mức độ sai lệch và phương pháp niềng. Trong khi đó, phẫu thuật chỉnh hàm chỉ diễn ra trong khoảng 3 – 4 giờ, nhưng cần thêm vài tuần đến vài tháng để hồi phục và đạt kết quả ổn định. Bác sĩ sẽ đưa ra phác đồ cụ thể dựa trên tình trạng từng người.
5.4. Chi phí điều trị hô răng và hô hàm là bao nhiêu?
Chi phí điều trị phụ thuộc vào mức độ hô, phương pháp áp dụng và loại khí cụ sử dụng. Trung bình, niềng răng dao động từ 30 – 120 triệu đồng, còn phẫu thuật chỉnh hàm có thể từ 80 – 150 triệu đồng. Để biết chi phí chính xác và lộ trình điều trị phù hợp, bạn nên đến nha khoa uy tín để được thăm khám và tư vấn cụ thể.

Thời điểm vàng để điều trị hô là giai đoạn 6 – 12 tuổi
Như vậy, việc phân biệt hô hàm và hô răng đóng vai trò rất quan trọng trong quá trình chẩn đoán và lựa chọn phương pháp điều trị phù hợp. Nếu bạn cần tư vấn hoặc muốn tìm hiểu thêm về các dịch vụ tại Nha khoa Blossom, hãy liên hệ ngay qua số HOTLINE 028.2210.3280 để được hỗ trợ tận tình và nhanh chóng!
Bài viết liên quan
Răng bị xỉn đen có thể xuất phát từ nhiều lý do. Tình trạng này không chỉ khiến khuôn miệng mất đi nét duyên dáng, xinh đẹp, tạo sự e ngại trong giao tiếp. Đây còn là dấu hiệu cảnh báo của một số bệnh lý nha khoa nguy hiểm, nếu không xử lý kịp […]
                                          Ngày: 07/03/2025                                    Niềng răng 1 hàm có được không? Đây là câu hỏi được rất nhiều khách hàng quan tâm khi gặp các vấn đề răng lệch lạc nhẹ, mong muốn tiết kiệm chi phí nhưng vẫn đảm bảo hiệu quả thẩm mỹ. Trên thực tế, không phải ai cũng phù hợp để chỉnh nha 1 hàm. […]
                                          Ngày: 08/08/2025                                    Mất răng là vấn đề phổ biến ở người cao tuổi, ảnh hưởng đến khả năng ăn nhai, thẩm mỹ và sức khỏe tổng thể. Hiện nay, các cơ sở nha khoa đã có nhiều phương pháp trồng răng cho người lớn tuổi, giúp lấy lại nụ cười tự tin và tận hưởng cuộc sống […]
                                          Ngày: 07/03/2025                                    Nụ cười tự tin và rạng rỡ không chỉ đến từ dáng răng hài hòa mà còn nhờ màu sắc phù hợp. Trong phục hình thẩm mỹ, bảng màu răng sứ là công cụ quan trọng giúp bác sĩ và khách hàng lựa chọn được màu răng tự nhiên, đồng đều và đẹp nhất. Việc […]
                                          Ngày: 02/10/2025