Trong lĩnh vực cấy ghép Implant, máng hướng dẫn phẫu thuật 3D đang trở thành công cụ hỗ trợ tiên tiến, giúp bác sĩ xác định chính xác vị trí, góc và chiều sâu của Implant, từ đó nâng cao hiệu quả điều trị và giảm thiểu rủi ro. Công nghệ này không chỉ đảm bảo kết quả thẩm mỹ tối ưu mà còn rút ngắn thời gian phẫu thuật, tăng sự an toàn cho bệnh nhân. Bài viết này, Blossom – Nha khoa công nghệ cao Hàn Quốc sẽ giúp bạn tìm hiểu chi tiết về máng hướng dẫn phẫu thuật 3D, lợi ích và quy trình ứng dụng trong cấy ghép Implant.
1. Máng hướng dẫn phẫu thuật 3D là gì? Khái niệm và vai trò trong cấy ghép Implant
Máng hướng dẫn phẫu thuật 3D là dụng cụ nha khoa tùy chỉnh, được chế tác riêng cho từng bệnh nhân dựa trên phim CT ConeBeam và mẫu hàm 3D. Thường làm từ nhựa trong suốt chất lượng cao bằng công nghệ in 3D, máng giúp định vị chính xác vị trí, góc độ và độ sâu khi cấy ghép Implant.
Vai trò chính của máng gồm:
- Định vị chính xác: Xác định vị trí và hướng Implant tối ưu.
- Tăng độ an toàn: Hạn chế tổn thương dây thần kinh, xoang hàm và mô mềm.
- Tối ưu kế hoạch điều trị: Cho phép phẫu thuật diễn ra đúng kế hoạch, nâng cao hiệu quả và thẩm mỹ.
- Rút ngắn thời gian phẫu thuật: Giúp quá trình cấy Implant nhanh chóng, ít xâm lấn.
Máng hướng dẫn 3D đóng vai trò như “bản đồ” dẫn đường, hỗ trợ bác sĩ thực hiện phẫu thuật chính xác và an toàn, đặc biệt trong các ca Implant phức tạp.

Máng hướng dẫn phẫu thuật 3D được chế tác dựa trên phim CT ConeBeam và mẫu hàm 3D
2. Cấu tạo của máng hướng dẫn phẫu thuật 3D và công nghệ sản xuất
Máng hướng dẫn phẫu thuật 3D gồm ba bộ phận chính: nền máng, ống hướng dẫn và chốt/vít cố định.
- Nền máng trực tiếp tựa lên răng, niêm mạc hoặc xương hàm, giúp giữ máng ổn định trong suốt quá trình phẫu thuật.
- Ống hướng dẫn tạo “đường dẫn” chính xác cho mũi khoan và trụ Implant theo vị trí, góc độ và độ sâu đã lên kế hoạch.
- Chốt hoặc vít cố định được sử dụng khi mất nhiều răng hoặc máng không có đủ điểm tựa, đảm bảo không bị xê dịch trong quá trình thao tác.
Công nghệ sản xuất bao gồm thu thập dữ liệu 3D bằng CT ConeBeam và scan trong miệng, thiết kế trên phần mềm CAD/CAM để lập kế hoạch chi tiết, và in 3D bằng nhựa y sinh hoặc resin quang học, đảm bảo độ chính xác cao và an toàn sinh học. Máng sau khi chế tác được kiểm tra và tiệt trùng trước khi sử dụng, giúp phẫu thuật Implant diễn ra nhanh chóng, chính xác và ít xâm lấn.

Máng hướng dẫn phẫu thuật 3D gồm nền máng, ống hướng dẫn và chốt/vít cố định
3. Lợi ích của máng hướng dẫn phẫu thuật 3D trong phẫu thuật Implant hiện đại
Máng hướng dẫn phẫu thuật 3D mang lại nhiều lợi ích quan trọng trong cấy ghép Implant. Trước hết, nó giúp định vị chính xác vị trí, góc độ và độ sâu đặt trụ Implant với sai số dưới 0,5mm, giảm nguy cơ chạm vào dây thần kinh, xoang hàm hay các răng lân cận. Nhờ thiết kế cá nhân hóa, phẫu thuật trở nên ít xâm lấn, giảm đau, hạn chế sưng nề và rút ngắn thời gian hồi phục.
Ngoài ra, máng 3D rút ngắn thời gian phẫu thuật nhờ định vị trước trên phần mềm, đồng thời tối ưu hóa quá trình phục hình răng, đảm bảo khớp cắn chuẩn và kết quả thẩm mỹ cao. Với các ca phức tạp như All-on-4 hay All-on-6, máng giúp bác sĩ mô phỏng chính xác đường khoan và nâng cao tỷ lệ thành công. Cuối cùng, bệnh nhân được trải nghiệm quy trình an toàn, nhanh chóng, thoải mái, tạo sự hài lòng và niềm tin với kết quả điều trị.

Máng hướng dẫn phẫu thuật 3D giúp định vị chính xác vị trí, góc độ và độ sâu trụ Implant
4. Quy trình thiết kế và ứng dụng máng hướng dẫn phẫu thuật 3D trong lâm sàng
Bước 1: Scan dữ liệu răng hàm
Bác sĩ tiến hành scan toàn bộ cung hàm và chụp CT ConeBeam (CBCT) để thu thập dữ liệu 3D về cấu trúc xương, mô mềm và vị trí dây thần kinh, đảm bảo thông tin chính xác cho khâu thiết kế.
Bước 2: Thiết kế máng trên phần mềm CAD/CAM
Dữ liệu scan được nhập vào phần mềm CAD/CAM để xác định vị trí, góc nghiêng và độ sâu đặt trụ Implant. Phần mềm mô phỏng phẫu thuật, cho phép điều chỉnh kế hoạch để đạt kết quả tối ưu.
Bước 3: In 3D máng hướng dẫn
Máng được in bằng nhựa y sinh hoặc resin quang học, đảm bảo độ khít sát, cứng chắc và an toàn khi đặt trong miệng.
Bước 4: Kiểm tra và hiệu chỉnh máng
Trước khi phẫu thuật, máng được đặt thử trên cung hàm để kiểm tra độ khít và sự chính xác của các ống dẫn hướng. Nếu cần, bác sĩ điều chỉnh nhỏ để đảm bảo trùng khớp với kế hoạch.
Bước 5: Ứng dụng lâm sàng trong phẫu thuật Implant
Trong ca cấy ghép, bác sĩ đặt máng lên cung hàm và sử dụng các ống định vị để dẫn hướng mũi khoan và trụ Implant vào đúng vị trí. Nhờ đó, phẫu thuật diễn ra nhanh chóng, chính xác, ít xâm lấn và đạt kết quả phục hình bền vững.

Quy trình thiết kế và ứng dụng máng hướng dẫn phẫu thuật 3D trong lâm sàng
5. Giải đáp các thắc mắc thường gặp về máng hướng dẫn phẫu thuật 3D
5.1. Máng hướng dẫn phẫu thuật 3D có áp dụng cho mọi trường hợp cấy ghép Implant không?
Máng 3D phù hợp với hầu hết các trường hợp cấy ghép Implant, từ răng đơn lẻ đến phục hình toàn hàm như All-on-4 hoặc All-on-6. Tuy nhiên, với những bệnh nhân có tình trạng xương phức tạp hoặc cần phẫu thuật ghép xương, bác sĩ sẽ đánh giá và quyết định có nên dùng máng hay không để đảm bảo an toàn và hiệu quả.
5.2. Máng hướng dẫn phẫu thuật 3D có giúp tăng độ chính xác và giảm đau khi phẫu thuật không?
Có. Máng 3D giúp định vị chính xác vị trí, góc nghiêng và độ sâu đặt trụ Implant, giảm nguy cơ sai sót và bảo vệ các cấu trúc quan trọng như dây thần kinh, xoang hàm. Nhờ đó, phẫu thuật ít xâm lấn, giảm sưng, đau và rút ngắn thời gian hồi phục cho bệnh nhân.
5.3. Chi phí thực hiện máng hướng dẫn phẫu thuật 3D có cao hơn phương pháp truyền thống không?
Chi phí máng 3D thường cao hơn phương pháp truyền thống do sử dụng công nghệ scan, thiết kế CAD/CAM và in 3D bằng vật liệu y sinh. Tuy nhiên, mức chi phí này đi kèm với độ chính xác cao, rút ngắn thời gian phẫu thuật và giảm biến chứng, giúp tối ưu hóa kết quả lâu dài và mang lại hiệu quả kinh tế tổng thể cao hơn.

Máng 3D phù hợp với hầu hết các trường hợp cấy ghép Implant
6. Nha khoa Blossom ứng dụng máng hướng dẫn phẫu thuật 3D trong cấy ghép Implant
Tại Nha khoa Blossom, cấy ghép Implant được thực hiện với sự hỗ trợ của máng hướng dẫn phẫu thuật 3D, kết hợp hệ thống X-quang 3D-CT để tạo kế hoạch điều trị chi tiết và chính xác. Quy trình gồm ba bước chính:
- Thiết kế kế hoạch phẫu thuật 3D: Bác sĩ sử dụng hệ thống X-quang 3D-CT để quét toàn bộ cung hàm, dựng hình ảnh không gian 3 chiều của xương và răng. Từ dữ liệu này, vị trí, góc nghiêng và độ sâu đặt trụ Implant được tính toán kỹ lưỡng, đảm bảo kế hoạch tối ưu và cá nhân hóa cho từng bệnh nhân.

Máng 3D kết hợp hệ thống X-quang 3D-CT để tạo kế hoạch điều trị chi tiết và chính xác
- Chế tạo máng định hướng: Dựa trên kế hoạch phẫu thuật 3D, máng định hướng được thiết kế riêng, đảm bảo ôm khít cung hàm và dẫn hướng chính xác cho mũi khoan và trụ Implant.
- Thực hiện phẫu thuật: Trong quá trình cấy ghép, máng hướng dẫn giúp bác sĩ đặt trụ Implant đúng vị trí, giảm thiểu sai lệch, hạn chế xâm lấn mô mềm và xương, đồng thời rút ngắn thời gian phẫu thuật và phục hồi.

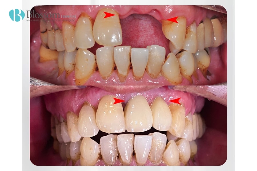
Hình ảnh khách hàng trồng răng Implant tại Nha khoa Blossom
Lợi ích nổi bật khi sử dụng máng hướng dẫn 3D tại Nha khoa Blossom:
- Hạn chế tối đa xâm lấn và tổn thương mô mềm, xương hàm.
- Đảm bảo độ chính xác cao, giảm thiểu sai lệch trong quá trình cấy ghép.
- Rút ngắn thời gian cấy ghép và thời gian hồi phục, giúp trụ Implant tích hợp chắc chắn với xương hàm chỉ sau khoảng 3 tháng.

Hình ảnh khách hàng trồng răng Implant tại Nha khoa Blossom
Mỗi ca điều trị tại Blossom được theo dõi sát sao, đảm bảo an toàn, thẩm mỹ và phục hồi chức năng ăn nhai hoàn chỉnh, mang lại trải nghiệm cá nhân hóa tối ưu cho bệnh nhân.

Hình ảnh khách hàng trồng răng Implant tại Nha khoa Blossom
Sử dụng máng hướng dẫn phẫu thuật 3D trong cấy ghép Implant mang lại nhiều lợi ích vượt trội, từ độ chính xác cao, giảm đau sau phẫu thuật đến tăng tính thẩm mỹ và tuổi thọ Implant. Nếu bạn cần tư vấn hoặc muốn tìm hiểu thêm về dịch vụ cấy ghép Implant tại Nha khoa Blossom, hãy liên hệ ngay qua số HOTLINE 028.2210.3280 để được hỗ trợ tận tình và nhanh chóng!
Bài viết liên quan
Trồng răng Implant được xem là phương pháp phục hình tiên tiến nhất, mang đến giải pháp hoàn hảo cho nụ cười rạng rỡ. Tuy nhiên, trước khi quyết định áp dụng kỹ thuật này, bạn nên tìm hiểu kỹ lưỡng về cả ưu nhược điểm trồng răng implant. Bài viết này Nha Khoa Blossom […]
Ngày: 07/03/2025 Implant giá rẻ ngày càng được nhiều người quan tâm vì chi phí thấp hơn so với mặt bằng chung. Tuy nhiên, đằng sau mức giá hấp dẫn này là những rủi ro tiềm ẩn về chất lượng vật liệu, tay nghề bác sĩ và độ an toàn khi phẫu thuật. Nếu lựa chọn sai […]
Ngày: 21/08/2025 Nhiều người khi bị đau răng dữ dội thường tìm kiếm cách làm chết tủy răng tại nhà để giảm đau nhanh chóng. Tuy nhiên, việc tự can thiệp vào tủy răng không chỉ tiềm ẩn nhiều rủi ro nghiêm trọng mà còn có thể dẫn đến nhiễm trùng, mất răng hoặc biến chứng nguy […]
Ngày: 08/12/2025 Ngứa chân răng là tình trạng thường gặp nhưng lại ít được quan tâm đúng mức. Nhiều người chỉ nghĩ đây là biểu hiện nhẹ, tuy nhiên ngứa chân răng có thể xuất phát từ các vấn đề răng miệng như viêm nướu, mảng bám, dị ứng hay thậm chí là bệnh lý nha chu. […]
Ngày: 03/10/2025